CMEF
大会介绍
第89届中国国际医疗器械博览会将于4月11日至14日在上海国家会展中心隆重举行。展会现场从展区设置、会议活动、展会模式等方面再度全方位创新升级,医学影像、体外诊断、医用电子、医用光学、智慧健康、医院建设、手术室、消毒感控、医用耗材、骨科等覆盖医疗行业全产业链的参展企业,携融合AI、机器人、基因测序、移动互联网、大数据、云平台等前沿技术及诸多新品集中亮相;同期还将围绕行业热点举办近百场主题会议论坛。
作为智能外科多维解决方案的医疗器械供应商,相信纳通智能外科全面的产品布局和多维的解决方案一定能为寻求机会的您带来最优质的选择。
纳通智能外科5.1R27展位期待您的到来!
会议时间:2024年4月11日-4月14日
会议地点:上海国家会展中心
会议地址:上海市青浦区崧泽大道333号
CMEF
纳通智能外科展位
纳通智能外科展位:5.1号馆R27展台
CMEF
产品预览
纳通关节机器人
纳通关节机器人是国内首批进入临床实验的手术机器人系统,利用自主研发创新的自动分割算法,突破机械臂控制和导航定位关键技术,率先填补国内单髁置换空白。通过对患者需移除骨组织的智能化、精准化、可量化、安全化、全方位个性切削,制备出能最佳匹配人工关节假体的骨表面,最大限度保留患者的原生骨组织,增加一次性截骨的成功率。多模块系统集成,三位一体的系统设计理念,本次展会单髁、全膝一体机展出,髋关节置换手术适应证拓展中。赋能术者更快速、更精准、更安全的手术诊疗服务。
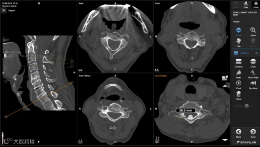
脊柱&创伤导航系统
“脊柱&创伤导航系统”是纳通自主研发设计的骨科手术导航系统,可同时适配脊柱手术椎弓根螺钉植入和创伤空心钉植入两种手术方式。该产品的导航功能可实现患者骨结构与手术工具的虚拟可视化,并且实时显示手术工具与患者骨结构的真实位置关系,从而实现以更小的切口、更少的出血量、更低的术中X线辐射量来完成脊柱和创伤手术。
手术规划系统(Elements)
手术规划系统(Elements),是可供全外科使用的术前手术规划系统,具备影像融合、智能分割、智能画笔、智能视图等功能。临床医生能够使用的功能相对简单,面对复杂病例,需要额外的精力进行协调、准备以及患者沟通。而我们的手术规划产品希望能直接赋能临床医生,能够提供全自动的组织分割与重建,多模态的影像融合,手术路径规划模拟,基于混合现实的手术方案讨论与患者沟通,术中数据整合等多方面功能,直接赋能临床医生,为精准化医疗提供更加全面的支撑。
纳通智能外科手术室系统
纳通智能外科手术室系统,是一款围术期的综合性业务支持系统,覆盖多种业务场景,可以通过医院信息集成技术、物联网技术和5G移动互联网技术,实现院前与院内的高效协作,对专病患者进行全流程的数据监督,以达到提升诊疗和管理水平的目标。
移动式数字化手术室(COR-CART)
移动式数字化手术室(COR-CART),一体化设计,集成了术野摄像头、全景摄像头、系统控制终端、显示屏等核心组件,免施工即插即用,推车型的设计可以在多个手术间共享使用,适用于开放手术、腔镜手术的示教直播。基于我们自主研发的智能手术室操作系统,灵活控制手术直播、手术录制、远程指导,设备可接入院内系统,按需调拨患者临床诊疗信息、3D手术规划、及其他术中影像,通过多视角全方位的信息呈现、实时音视频互动,从而提升医疗教学效果和体验。
便携式数字化手术室(Compact)
便携式数字化手术室(Compact),为一体化触屏设备,操作简单,安装快捷,功能齐全,集成放射学影像、视频源、硬件或软件中手术需要的相关信息,具备影像浏览、视频路由、视频管理、示教、会诊等数字化手术室核心功能,是创造手术室的高效率、高安全性以及提升手术室对外交流平台为目的多个系统的综合运用的便携式平台。
医用呼出气体检测仪
采用电子鼻技术,通过多种探测器组成探测气阵列,以这些特征物质为检测对像,对大量呼出气体进行检测,并对检测结果进行征提取,形成特定的特征模形,然后通过人工智能算法,对病人的呼出气体样本进行判别。用于肺癌的筛查以及为医生对肺癌疾病诊断提供参考。
纳通智能外科介绍
纳通智能外科深耕外科智能领域,坚持自主创新理念,通过持续技术创新提升产品核心竞争力。智能外科推出的智能手术室系统、骨科手术机器人、智能疾病筛查设备等智能器械陆续获批上市,现已形成形成围手术期的智能解决方案及产品布局。纳通智能外科事业部将提供更精准、更微创、更个性化的智能解决方案,为人类生命健康提供服务和保障,助力健康中国战略。
长按二维码点击关注,
实时了解更多品牌资讯

