搜索
首页
大数快讯
大数活动
服务超市
文章专题
出海平台
流量密码
出海蓝图
产业赛道
物流仓储
跨境支付
选品策略
实操手册
报告
跨企查
百科
导航
知识体系
工具箱
更多
找货源
跨境招聘
DeepSeek
首页
>
我的石蜡切片又「团灭」了!没关系,专业技术人员与您并肩推塔!
>
0
0
我的石蜡切片又「团灭」了!没关系,专业技术人员与您并肩推塔!
巴傲得科研顾问
2018-05-17
1
导读:最近,接到前线战报,上海生科院 320 大院的马同学正在使用 CST 的 PD-L2 抗体(#82723)在
前期准备
实验步骤
脱蜡与水化
抗原修复
去除内源性过氧化物酶
封闭与一抗孵育
CST技术人员正在配置和滴加抗体
二抗孵育与显色
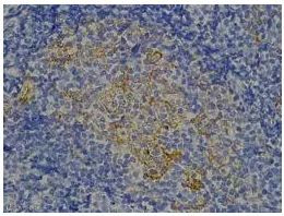
测试结果
编后记
热销产品
●
现货质粒
●
内参
●
重组蛋白/细胞因子
●
WB试剂
联系方式
地址:
南京
市栖霞区纬地路9号江苏生命科技创新园
电话:025-68037686
邮箱
:nanjing@biogot.com
图文转自:丁香园
编辑:巴傲得科研顾问
【声明】内容源于网络
0
0
巴傲得科研顾问
巴傲得是一家专业从事生命科学领域的产品研发、生产和销售的公司。提供生命科学领域的相关资讯,包括最新科技动态、学术讲座信息、实验技巧等内容,同时也会介绍巴傲得生产的蛋白和抗体产品和服务,给研究者提供实用的帮助和支持。
内容
578
粉丝
0
关注
在线咨询
巴傲得科研顾问
巴傲得是一家专业从事生命科学领域的产品研发、生产和销售的公司。提供生命科学领域的相关资讯,包括最新科技动态、学术讲座信息、实验技巧等内容,同时也会介绍巴傲得生产的蛋白和抗体产品和服务,给研究者提供实用的帮助和支持。
总阅读
0
粉丝
0
内容
578
在线咨询
关注