2023年10月-12月
我们将在各高校举行
《品牌进校园,为科研献礼》
线下巡展,欢迎到现场交流
(首站—2023年10月10日,南京师范大学)
全自动WB孵育系统可全自动完成转膜后的WB孵育实验过程,包括封闭蛋白膜、清洗、一抗孵育、清洗、二抗孵育、清洗等转膜后的所有孵育步骤。
人工操作孵育实验过程时,需要的手动步骤有10个以上,且耗费很长的等待时间。用全自动WB孵育系统,仅需15-30分钟的准备试剂和设置程序时间。
在最终显色检测前完全无需其他手动操作!

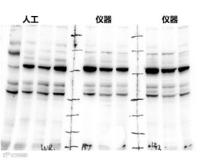
通过全自动WB孵育系统做出的条带更清晰,背景更干净!
不同批次的HNF4A polyclonal antibody一抗HRP标记的抗兔二抗,一抗孵育3小时,30S曝光结果对比。
8通道:16张小膜/8张大膜,检测蛋白数量:8种
3-5ml(小膜),8-10ml(大膜)
4-24小时
封闭液、一抗、二抗分开,所有加样tip头为一次性使用产品,避免不同试剂交叉混合,保证实验结果的准确性
自动回收一抗,二抗,封闭液。回收率高达95%以上
可以有效抑制仪器内细菌滋生
回收的一抗,二抗,封闭液,帕尔贴控温2-8摄氏度
仪器自带制冷/制热:4℃ / 37℃
敬请关注更多抗体的自动化生产与检测相关仪器⤵
2023年10月-12月,我们将在各高校举行《品牌进校园,为科研献礼》线下巡展,欢迎到现场交流
(首站—2023年10月10日,南京师范大学)
集赞58个
到现场即可获得瑞幸咖啡券一张!
限量50张 先到先得哦!!
还可申请免费使用仪器2周哦
使用后提供反馈报告的
还可在以下礼品里二选一!
活动最终解释权归南京巴傲得生物科技有限公司
400-660-9091

