揭示压力转化为焦虑的大脑密码:浙大徐晗组发现底丘脑旁核关键神经环路
在现代快节奏、高压的社会中,焦虑症已成为困扰全球数亿人的精神健康难题。尽管我们知道长期压力是导致焦虑的主要元凶,但大脑究竟如何将外部压力转化成我们内心持续的焦虑和不安,这一过程始终蒙着神秘面纱。
近日,浙江大学徐晗组发表于The Journal of Clinical Investigation的重磅研究,首次精准揭示了一条名为“LPB-PSTh-BNST”的非经典神经通路,阐明了底丘脑旁核(PSTh)作为核心枢纽,将慢性社会压力转化为焦虑状态的精细机制。
焦虑网络的新成员:
底丘脑旁核是多种压力信号的
“警报器”
传统观点认为,焦虑的大脑中枢主要在杏仁核、前额叶皮层等“明星脑区”。然而,浙江大学徐晗组却将目光投向了一个小而关键的结构—底丘脑旁核(PSTh)。
研究人员让小鼠经历社交挫败、电击和身体束缚等急性压力,发现与未受压力的对照组相比,压力组小鼠PSTh内被激活神经元数量显著增加。每当小鼠被攻击、遭受电击或强迫游泳时,PSTh神经元的钙信号都会出现瞬时且剧烈的升高。
结论:PSTh神经元能够被多种厌恶性刺激快速激活,像一个高度敏感的警报器,提示它可能在编码压力信息中扮演关键角色。
从压力到焦虑:
PSTh不仅是感应器,更是
“转换器”
那么,PSTh的激活是否是焦虑产生所必需的呢?研究人员使用了经典的慢性社会挫败压力(CSDS)动物模型,并采用了Plexon公司的在体多通道电生理系统,结合光遗传学“光标签”(opto-tagged)技术,对PSTh神经元进行“监听”。
研究者在PSTh的谷氨酸能神经元中表达光敏感通道蛋白(ChR2),随后将光电极(1根光纤周围环绕8组四电极)精准植入到PSTh区域。电极植入手术一周后,使用Plexon电生理系统对清醒自由活动的小鼠进行5分钟的电信号记录,同时通过Plexon系统施加蓝光刺激(473 nm, 20 Hz, 0.2 mW, 1 ms)。
❤ Spike sorting确认PSTh神经元
通过spike sorting,那些能够被光脉冲精确、短潜伏期(≤3 ms)驱动的神经元,即被鉴定为PSTh谷氨酸能神经元。
❤ CSDS诱导PSTh神经元的长时程过度活跃
在体电生理数据证实,与对照小鼠相比,CSDS小鼠中PSTh谷氨酸能神经元的发放间隔(ISI)显著降低,而放电频率(firing rate)显著升高。这表明CSDS诱导PSTh神经元不仅放电增多,而且放电模式更为密集,兴奋性状态持续增强。
❤ 体外膜片钳揭示CSDS小鼠PSTh神经元过度兴奋的机制
电极植入手术三周后,对CSDS小鼠进行急性脑片膜片钳记录。与对照组相比,CSDS小鼠的自发性兴奋性突触后电流(sEPSCs)的频率和幅度均显著增加。
❤ 抑制其PSTh神经元可以减轻CSDS小鼠的焦虑行为
行为学上,在已经形成焦虑的CSDS小鼠身上,急性抑制其PSTh神经元能立即产生抗焦虑效果,让它们变得“大胆”起来。反之,在从未经历过压力的正常小鼠中,用光遗传学技术(ChR2)人工激活PSTh神经元,就足以让它们表现出明显的焦虑样行为。
绘制焦虑的新通路:
LPB-PSTh-BNST
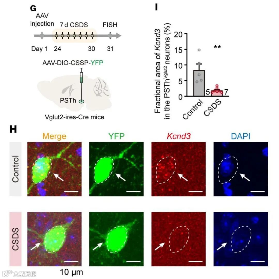
追根溯源:
焦虑的分子开关
—Kv4.3钾通道
研究意义:
从机制到治疗的新希望
产 品 展 示
PLEXON
PLEXON
END
为更好的方便老师们对Plexon软件和PatchMaster软件快速入门,现推出了一系列高质量的教学视频。
”
关注我们
ATTENTION US
联系我们
400-088-1922
http://www.hkplexon.com
info@plexon.com.hk

