总览
近日,广东某三甲医院胸外科手术团队成功运用瀚依科技AI三维重建服务为患有肺结节的患者进行了切除手术,该患者之前接受过左下肺切除,右肺出现代偿性过度膨胀及形态结构改变,其胸腔内结构已发生显著改变,手术风险大,难度高。在此背景下,急需精准评估和处理。瀚依科技AI可精准三维重建,有效规避潜在手术风险,全方位为患者的外科手术保驾护航。
患者档案
患者:女 69岁
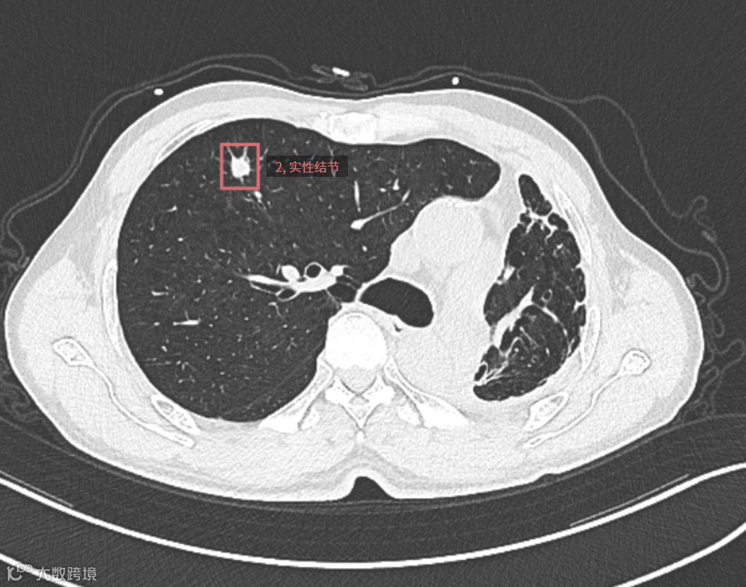
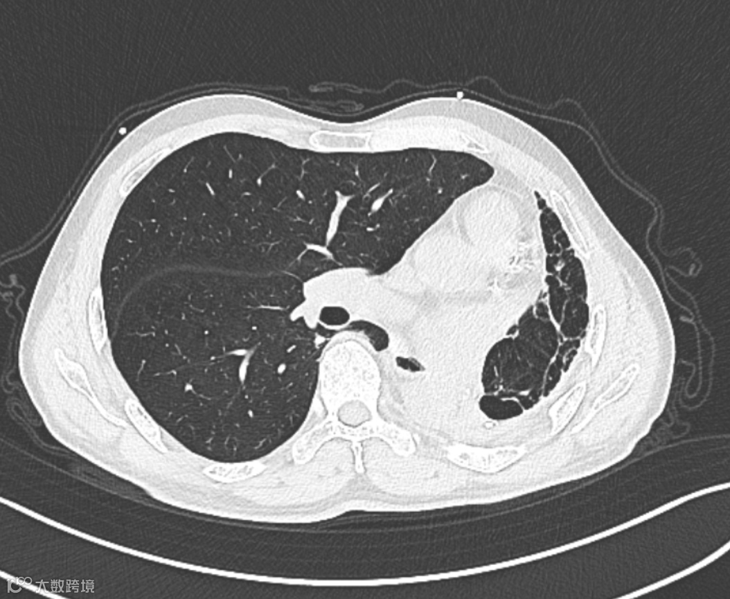
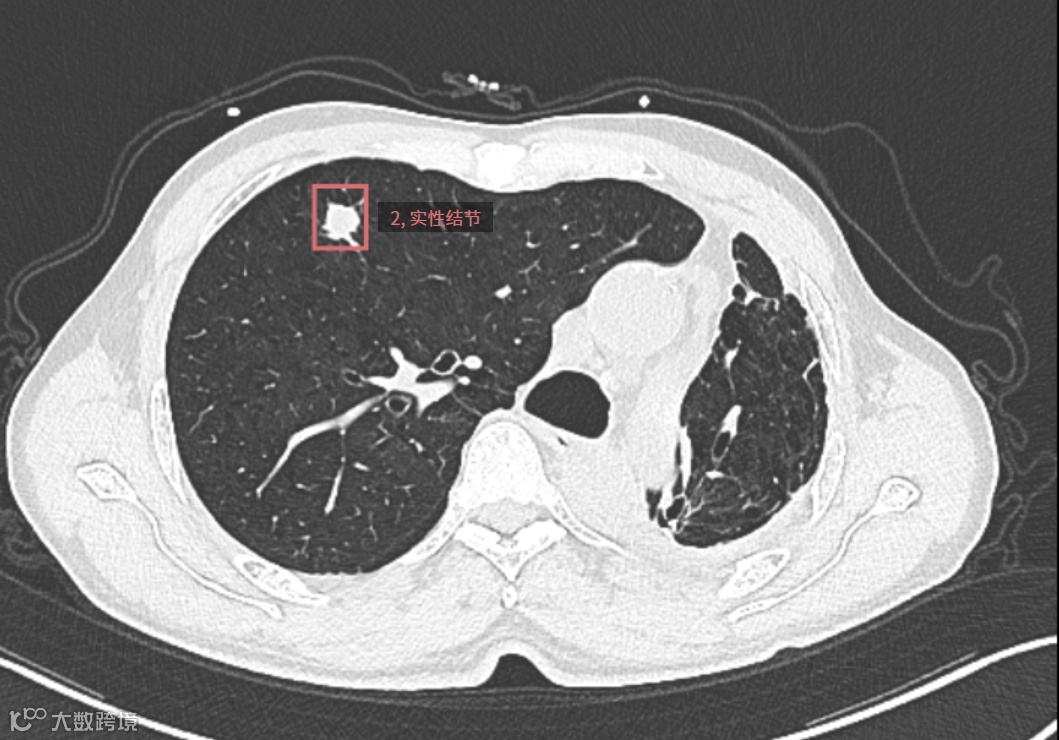
检查所见:患者接受左下肺切除术后,残余肺组织以左肺上叶尖段为主,伴右肺代偿性过度膨胀及形态结构改变。右肺上叶前段可见一实性结节,大小约13.6mm×11.5mm,边界尚清,密度欠均,边缘呈浅分叶状。余右肺散在少许条索影及肺气肿表现。
▲▲▲检测框所指为结节
▲▲▲右肺代偿性过度膨胀
手术过程
▲▲▲三维重建肺叶肺段
▲▲▲三维重建支气管
▲▲▲三维重建血管
该院胸外科手术团队用瀚依科技的AI三维重建服务,真实还原了结节的大小、位置和深度,全方位、多维度地观察了患者结节的空间位置、结节与周遭脏器粘连程度、结节对血管的侵占情况,并对手术需要的重要信息进行精准定量分析。
▲▲▲病变与肺叶之间关系
▲▲▲病变与肺段之间关系
▲▲▲局部细节
▲▲▲局部细节
最终,胸外科手术团队凭借丰富的临床经验和瀚依科技AI三维重建服务为该患者施行了精准的肺结节切除手术,术前的精准规划帮助减少术中失误,缩短手术时间,减少术后并发症的发生。手术最终安全、顺利地完成。
术后小结
-
智能识别术后缺失的左肺肺段 -
对发生形态学代偿的右肺肺段进行精确分割 -
对右肺上叶前段实性结节的准确定位

