甲状腺激素(TH)失衡与可逆性痴呆和阿尔茨海默病(AD)的病理生理学有关。目前尚不清楚组织性甲状腺功能减退症是否发生在AD大脑中,以及它如何影响AD病理学。


图:阿尔茨海默病(AD)
图:首尔国立大学(SUN)
2024年3月15日,首尔国立大学医学院研究团队在Science Advances上发表题为Brain hypothyroidism silences the immune response of microglia in Alzheimer’s disease animal model 的研究性论文。该研究发现,在血液中 TH 改变之前,碘甲状腺原氨酸脱碘酶 2 的减少与早期 AD 模型小鼠的海马甲状腺功能减退症相关。

下面一起来看看这篇文章吧!
一、研究设计背景
1.1阿尔茨海默病(AD)
AD是痴呆的最常见原因,占所有痴呆病例的80%。尽管一些早发性病例与遗传性遗传异常有关,但这些异常占所有AD病例的1%或更少。大多数迟发性病例的特征是认知功能在数年内逐渐下降。在大多数研究中,脑部的两个不同病变(淀粉样斑块和神经原纤维缠结)是 AD 神经病理学诊断所必需的。
1.2甲状腺激素(TH)
TH是代谢活动和大脑发育的基本决定因素。大脑中THs的浓度受到稳态机制的严格调节,表明THs对于终生维持大脑功能至关重要。多项研究表明,TH 稳态调节的失败会破坏由TH介导的TH 受体激活调节的基因表达,影响神经细胞迁移和分化、突触发生和髓鞘形成,并导致各种神经系统病变的病因,例如多发性硬化症、创伤性脑损伤和帕金森病。
1.3AD与TH关系
已经对AD患者的TH水平进行了各种流行病学研究,以调查这些激素对 AD 发病率和进展的影响。亚临床甲状腺功能障碍与认知障碍有关,是痴呆的危险因素。其他研究报告称,甲状腺功能正常患者的血清 TSH 水平与血清游离 T 呈正相关4(fT4)水平与脑淀粉样蛋白β(Aβ)负荷呈负相关。这些发现支持了THs的适度失调可以影响AD的发展的观点。鉴于 TH 参与神经表型和 AD 的临床前研究,TH 缺乏可能与 AD 病理有关,包括淀粉样斑块和神经原纤维缠结。然而,TH缺乏导致AD病理变化的机制在分子水平上尚不清楚。
1.4 研究内容概述
在这项研究中,作者发现早期AD模型小鼠大脑中碘甲状腺原氨酸脱碘酶2(DIO2)降低与TH缺乏之间存在相关性,表明早期AD病理学减少了向活性TH的转化,从而在大脑中限制了T3的局部可用性。TH 缺乏导致小胶质细胞的自发激活和先天免疫反应减少,表现为无法正常运作或对大脑中的致病性刺激做出反应——这是 AD 的主要特征之一。最后,作者定义了一种分子机制,其中 TH 介导的小胶质细胞反应性受编码的胞外-5′-核苷酸酶(CD73)调节T3-响应性 Nt5e 基因。本研究揭示了TH对小胶质细胞功能缓解 AD 病理学的需求,并提出了对 AD 患者有效 TH 替代疗法的看法。
二、研究结果分析
2.1DIO2降低与早期AD模型小鼠的海马甲状腺功能减退症有关
数据表明,局部海马甲状腺功能减退症与AD病理学的DIO2表达降低有关。

2.2TH缺乏导致小胶质细胞的先天免疫反应受损
为了确定TH缺乏对大脑的影响,对喂食碘缺乏(ID)饮食10周的AD模型小鼠的海马体进行了单细胞RNA测序(scRNA-seq),这完全耗尽了fT4血液中的水平。以该模型,作者通过其他研究证实TH缺乏诱导小胶质细胞自发激活,导致先天免疫反应受到抑制。

2.3TH缺乏加重淀粉样蛋白病理学
为了确定 TH 缺乏是否会影响海马体的 AD病理,喂食了ADLPAPT同时表现出淀粉样蛋白和 tau 病理学的小鼠 I饮食10周,完全耗尽了 fT4血液中的水平。之后的研究结果表明,TH缺乏会加速淀粉样蛋白病理学和记忆障碍的进展。

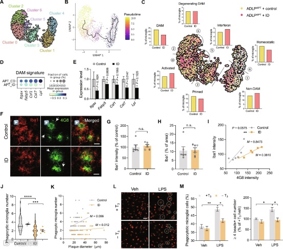
2.4TH缺乏可减少AD模型小鼠的疾病相关小胶质细胞
鉴于 TH 缺乏对大脑中小胶质细胞的影响以及小胶质细胞在淀粉样蛋白清除中的作用,作者接下来研究了TH 缺乏是否会导致 AD 模型小鼠的小胶质细胞变化。结果表明TH缺乏通过减少DAM种群和限制小胶质细胞中的淀粉样蛋白清除来增加淀粉样蛋白病理学。

2.5小胶质细胞中CD73表达的TH依赖性调节
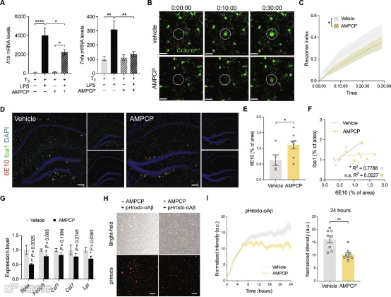
为了确定TH调节的小胶质细胞功能的潜在分子介质,作者对用或不用T3处理的原代小胶质细胞进行了批量RNA-seq处理。结果证明CD73表达以 TH 依赖性方式调节,是小胶质细胞先天免疫反应所必需的。

2.6CD73抑制剂抑制小胶质细胞对炎症刺激和AD病理的先天免疫反应
为了评估 CD73 的抑制是否阻断了小胶质细胞对炎症刺激的免疫反应,作者在 LPS 治疗前用 CD73 抑制剂腺苷 5′-(α,β-亚甲基)二磷酸钠盐 (AMPCP) 预处理了小胶质细胞。结果表明AMPCP降低了LPS治疗后CD73抑制的小胶质细胞中促炎细胞因子基因的表达。后续几项研究证实TH 转录调节的小胶质细胞 CD73,充当抑制性免疫检查点,确保对炎症刺激(包括 AD 中的 Aβ)产生适当的免疫反应。

三、全文总结
AD病理学与甲状腺功能减退症之间具有相互关系,特别是在大脑中。在AD模型小鼠的早期阶段,DIO2水平的降低与海马体中TH通路的下调有关。大脑中的TH缺乏对小胶质细胞有重大影响,导致小胶质细胞的免疫反应降低,AD发病机制加重(如下图)。这表明THs在小胶质细胞和AD发病机制之间的相互联系中起着关键作用。了解AD大脑中TH代谢的改变将启发AD的治疗策略,同时保留小胶质细胞免疫功能。


往期推荐
2023-05-18
2023-05-15
2023-05-22
2023-05-11
2023-05-08
2023-05-05
2023-04-20
2023-04-17
2023-03-27
2023-03-23

