
类风湿性关节炎(RA)患者经常报告症状在白天出现波动,表现为早晨加重,随着一天的推移逐渐缓解。这种症状模式受昼夜节律、激素变化和免疫系统激活的复杂相互作用的调节。越来越多的证据表明,饮食节律紊乱,如进餐时间、禁食间隔和营养成分在调节全身炎症方面发挥重要作用,这启发了饮食习惯对 RA 潜在炎症过程的潜在影响。


Ma 等人证明,饮食时间通过诱导肠道微生物群的昼夜振荡来调节RA的炎症节律。具体而言,研究发现副拟杆菌(P. distasonis)利用β-葡萄糖苷酶(β-GC)从饮食中释放甘草黄素(GLY)以响应每日营养提示,从而影响依赖于 sirtuin 5-核因子-κB(SIRT5-NF-κB)轴的 RA 炎症节律。值得注意的是,研究通过昼夜循环中的连续采样验证了RA患者中P. distasonis-β-GC-GLY的每日波动。这些发现强调了饮食时间在RA节律中的关键作用,并为缓解关节炎的新治疗策略提出了潜在的临床意义。
以下是小编为大家整理的该研究的主要发现,感兴趣的小伙伴可以在文章末尾点击“阅读原文”自行查看哦!

RA的炎症节律受饮食时间的影响,并且取决于肠道微生物群

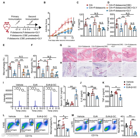
P. distasonis 通过β-GC释放 GLY 来缓解 RA 炎症

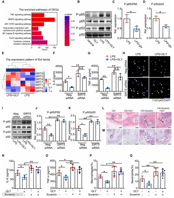
GLY 通过作用于 SIRT5-NF-κB 轴来减轻 RA 炎症

RA患者的P. distasonis-β-GC-GLY 轴表现出昼夜振荡

i 类风湿性关节炎表现出受饮食模式影响的节律性炎症活动;
ii 营养线索通过肠道微生物群显著调节 RA 炎症波动;
iii P. distasonis 利用 β-葡萄糖苷酶释放黄豆黄素来抑制 SIRT5-NF-kB 轴;
iv 连续采样验证了 RA 患者中 P. distasonis-β-GC-GLY 的波动。

i 饮食成分的局限性:研究主要集中在 P. distasonis 在改善节律性炎症及其与膳食糖苷的相互作用中的作用,而没有全面探索其他饮食成分对肠道微生物群和 RA 炎症的潜在影响。
ii 样本量的局限性:研究收集的临床证据基于相对较小的样本量。为了提高我们研究结果的普遍性,未来的研究应努力纳入更大、更多样化的群体。
iii 抗生素的潜在不良影响:此外,研究使用了不可吸收的抗生素来消除肠道微生物群,这表明进食节律以肠道微生物群依赖的方式调节 RA 炎症节律。然而,需要更多的证据来评估抗生素应用对 RA 炎症的具体影响。
iv P. distasonis的安全性与有效性:最后,虽然我们观察到 P. distasonis 作为益生菌对小鼠 RA 炎症的抑制作用,但 P. distasonis 作为临床环境中的治疗干预的安全性和有效性值得进一步评估。

① 发展以饮食干预和针对肠道微生物菌群为核心的新型治疗方案,旨在缓解疾病,并将其延伸至其他类似的疾病,如代谢综合征和炎症性肠病。
② 定时施用益生元或药物以与微生物群的自然节律保持一致,从而最大限度地提高健康益处并减少不良反应,从而实现更有效的治疗效果,量化这种策略对健康益处的影响,并评估其在临床应用中的安全性和有效性。
③ 全面探索其他饮食成分与肠道微生物群在RA炎症中的相互作用机制。通过分子生物学和细胞生物学实验,揭示相关信号通路和调控网络,为新型治疗策略提供科学依据。
④ 设计大规模、跨地域的临床研究,纳入不同人群,以验证饮食与微生物群相互作用的普遍性。
SUMMER HAS ARRIVED
往期推荐
温州医科大学联合浙大最新高分文章!外泌体通过诱导线粒体自噬缓解椎间盘变性
骨关节炎,间歇性禁食,神经肽,中南大学湘雅医院杰青团队三剑合一拿下14+
软骨祖细胞、细胞外囊泡、炎症,上海交大六院开发骨关节炎治疗新策略

