在许多物种中,母性与显著的行为变化有关,例如改变喂养习惯和减少攻击性。这些适应通常归因于与分娩相关的激素变化,这被假设为激活或主要的亲代回路。性经验不足(处女)的女性和母亲之间最显著的区别之一是他们的婴儿导向行为:处女通常避开婴儿或表现出低水平的父母行为,而母亲是高度父母行为。
对大鼠的经典研究发现,在怀孕期间,母体反应增强。与此相对应的是,通过模拟怀孕期间的激素变化,包括雌二醇(E2)和孕酮(P4)水平的急剧上升,也可以诱导未交配的大鼠产生亲代行为。这些观察结果表明,在怀孕期间,激素介导的、预备性的神经适应对婴儿指导的行为。然而,尽管已经发现了与怀孕相关的多种神经可塑性形式,但仍不清楚怀孕激素是如何影响养育回路来调节婴儿定向行为的变化的。
为了探究母性产生的机制,英国弗朗西斯·克里克研究所Johannes Kohl研究团队在Science(IF=56.9)上发表题为Hormone-mediated neural remodeling orchestrates parenting onset during pregnancy的研究性论文。作者发现雌二醇和孕酮对小鼠内侧视前区(MPOA)表达galanin (Gal)的神经元的作用对妊娠诱导的亲代行为至关重要。雌二醇抑制MPOAGal神经元,反而增加它们的兴奋性,而孕激素通过促进树突棘的形成和兴奋性突触输入的补充,永久地重新连接了这个电路节点。MPOAGal特异性的神经重塑体内稀疏的种群活动,并导致持续更强,更具有选择性的母性反应。因此,怀孕荷尔蒙在对未来行为需求的预期中重塑了父母养育的回路。
01
科学问题:
作者探究怀孕期间幼崽之间的互动何时以及如何发生变化
研究途径:
作者在怀孕前、怀孕期间和怀孕后的一段时间内将雌性老鼠定期暴露在幼崽面前,并对它们的行为进行评分
结果1:
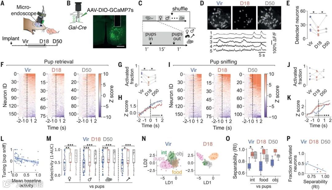
妊娠期幼鼠导向行为的激素依赖的长期变化
亲代行为的大部分方面都受到妊娠的影响,这在妊娠晚期的母鼠中尤为明显。所有D18期的母鼠衔回幼鼠的潜伏期短,蹲伏在幼崽上方时间增加。除了个体方面的养育,怀孕影响了行为序列:怀孕雌性执行取回,蹲伏,筑巢和梳理,处女从事重复的嗅-梳理-进入巢穴事件。怀孕雌性亲代表现的提高可能是激素影响和/或频繁接触幼仔的结果。
在怀孕小鼠组中,母鼠在幼鼠的回巢、蹲伏和巢中的时间不同。相比之下,卵巢切除组在相似的时间点上没有出现这种差异。怀孕期间的激素环境导致小鼠出现特定的育儿行为,而这些行为变化在妊娠后期最为明显。大多数行为变化持续到分娩后至少1个月,此时激素水平已恢复到基线水平。因此,这些适应可能是由于怀孕激素对大脑的长期重塑。
结论1:
怀孕激素对大脑的长期重塑导致母性行为增加
结果2:
激素对MPOAGal神经元的作用对亲子关系的开始至关重要
为了确定MPOA中Esr1或PR的表达是否引起怀孕期间的育儿行为的开始,作者在MPOA局部敲除激素受体。MPOA特异性去除Esr1或PR对未受精鼠的相互作用没有影响,但完全阻断了妊娠诱导的幼鼠衔回、蹲卧。与此相反,对照组的亲代行为在D18时正常上调。
MPOAGal神经元主要表达Esr1和PR,约占MPOA神经元的20%。为了确定该亚群的激素敏感性是否对妊娠诱导的行为适应是必要的,作者在Gal神经元中完全消融Esr1或PR重现了MPOA受体敲除后观察到的效果。这些受体缺失动物的亲代行为甚至在分娩后仍然受损,这表明在怀孕期间缺乏激素介导的行为准备不能被随后的分娩内分泌事件所补偿。
结论2:
细胞内激素受体对MPOAGal神经元的直接作用是妊娠介导的亲代行为增加所必需的
02
科学问题:
作者揭示怀孕如何影响MPOAGal神经元
研究途径:
作者在未怀孕和怀孕雌性的脑切片上进行膜片钳记录
结果3:
妊娠期间MPOAGal神经元的长期激素重塑
MPOAGal神经元在妊娠后期表现出较低的基线放电和静定膜电位,在D18时沉默神经元的比例显著更高。同时,MPOAGal神经元在D18时更加兴奋,出现去极化阻滞的频率较低。MPOAGal沉默不是抑制性突触输入增加的结果,尽管这些神经元在D18收到了更多的自发突触后电流(sPSCs),这是由于兴奋性输入的增加。因此,怀孕降低了MPOAGal神经元的基线活动,同时增加了它们的兴奋性,并促进了兴奋性突触输入的补充。
为了研究生物物理和形态变化是否由激素作用造成,作者记录Esr1或prr缺失的MPOAGal神经元。受体的消融使d18神经元生理学的特异性、非重叠方面恢复到类似处女的状态。
结论3:
妊娠激素永久地改变MPOAGal神经元的电路,从而为妊娠的长期行为效应提供细胞基础
03
科学问题:
作者揭示妊娠对体内MPOAGal神经活动的影响
研究途径:
作者对暴露于幼鼠和社会和非社会刺激下的雌性MPOAGal神经元进行钙成像
结果4:
妊娠期间MPOAGal神经元和神经群体活动的重组
与在切片生理学记录中观察到的沉默一致,在体内D18时可检测到(非沉默)MPOAGal神经元的数量显著减少,这种减少不是由于GCaMP表达的MPOAGal神经元数量随着时间的推移而下降,也不是由于GCaMP水平的升高而增加钙缓冲作用的结果,因为这是可逆的。因此,妊娠诱导的沉默优先发生在MPOAGal神经元中。
在幼崽衔回和梳理过程中被激活的神经元的比例在D18下降。相比之下,在未怀孕的幼犬嗅探过程中和D18时MPOAGal神经元的活性相似,但在D18和D50时,它们的反应出现了更短的潜伏期,这表明在怀孕期间和怀孕后MPOAGal神经元对幼鼠刺激有更高的兴奋性。因此,怀孕会在减少MPOAGal群体的活动,并使这些神经元对幼鼠刺激更容易兴奋。
为了解决妊娠诱导的MPOAGal神经元在如何代表幼鼠刺激方面的差异,作者研究在对幼鼠和其他刺激时的活动模式。MPOAGal神经元对幼鼠刺激的选择性和对幼鼠的反应强度在妊娠后期增加。刺激的可分离性与种群稀疏性呈正相关,从而将改进的幼鼠表征与父母行为的有效编码联系起来。在D50时,自发激活和提取激活的神经元数量已经很大程度上回到了原始水平。相反,幼鼠刺激的选择性和可分离性显示长期的增加。
结论4:
怀孕导致MPOAGal神经元中自发和父母相关活动明显减少,并增加对婴儿刺激的选择性
总结
与实验室小鼠不同的是,大多数野生雌性小鼠表现出杀婴行为。作者的工作提供了激素可能在野生小鼠和其他严重依赖内分泌变化的物种(如大鼠、兔子和绵羊)的亲代回路中起作用的机制。刺激的选择性和可辨别性的增加,这些都是在大脑发育的关键时期发生的变化。因此,作者的研究表明,怀孕激素打开了一个可塑性的窗口,在此期间,神经重塑协调行为适应,以应对未来母亲的挑战。
未来的工作将描述Esr1和PR靶向的细胞通路的特性和功能作用。
往期回顾
【1】Nature|心脏再生新发现:抑制脂肪酸氧化使成年小鼠心脏再生
【3】Science|老年痴呆元凶:MEG3激活阿尔茨海默病模型中神经元异种移植物的坏死
【4】IF=64.8|Nature|肢体再生?进化的mTOR重构组织再生翻译体
【5】Science|阿尔兹海默症福音!小鼠tau蛋白免疫治疗需要胞质抗体受体TRIM21


