高血压是全球范围内的重大健康挑战,与中风、心肌梗死、心力衰竭和慢性肾病等严重疾病密切相关。尽管目前有多种抗高血压药物,但仍有10%至15%的患者患有难治性高血压。因此,开发新的抗高血压药物具有重要意义。
研究背景与目标
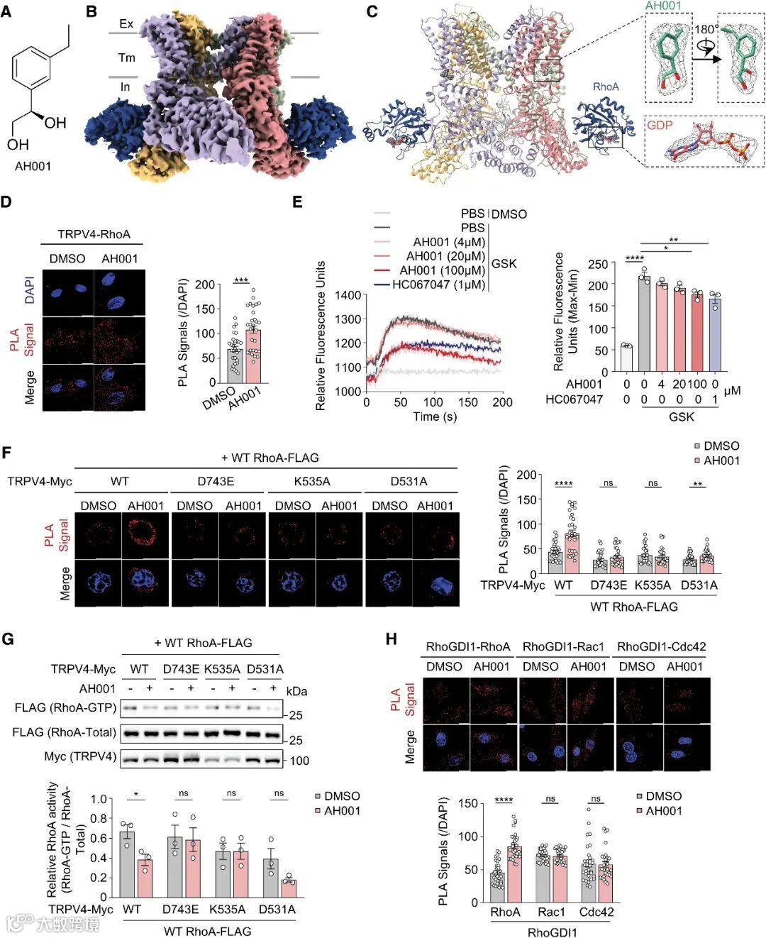
RhoA信号通路在血管平滑肌细胞(VSMCs)功能和血压稳态中起着关键作用。然而,现有的RhoA信号通路抑制剂在高血压治疗中存在疗效不佳、特异性不足和开发挑战等问题。本研究旨在探索通过TRPV4-RhoA-RhoGDI1轴抑制RhoA活性的新模式,为抗高血压药物开发提供新思路。
研究方法
研究团队采用了冷冻电镜(cryo-EM)、邻近连接分析(PLA)和定点突变等技术手段,探讨RhoA活性调节机制。利用VSMC、高血压动物模型、Trpv4-/-小鼠和Arhgdiaf/f Myh11-CREERT2(平滑肌特异性RhoGDI1敲除)小鼠,研究TRPV4-RhoA-RhoGDI1轴在高血压中的作用。
研究发现
研究中发现了AH001((R)-1-(3-ethylphenyl) ethane-1,2-diol),一种新的RhoA信号通路抑制剂。AH001通过靶向TRPV4-RhoA-RhoGDI1轴,有效将失活的RhoA-GDP固定在细胞膜和细胞质中。冷冻电镜结构显示,AH001结合的TRPV4呈现闭合状态,RhoA处于失活的GDP结合状态。功能研究表明,AH001通过增强TRPV4-RhoA结合和促进RhoGDI1-RhoA相互作用,减少了活性RhoA池,显著降低了急性和长期血压,并防止了血管重塑。
实验结果与关键结论
实验结果表明,AH001在Ang II诱导的高血压小鼠模型和自发性高血压大鼠(SHR)模型中均能显著降低血压,减少血管壁厚度,并抑制VSMC收缩和表型转换为肌成纤维细胞。这些抗高血压效果在Trpv4-/-和Arhgdiaf/f Myh11-CREERT2小鼠中被削弱。
连线国自然
【科研喵】专注科研效率提升,集成文献阅读、AI润色改写、语法纠错、PDF智能阅读等功能于一体的高效科研工具。
SUMMER HAS ARRIVED
往期推荐

