关键词:螺旋采集 fMRI 7T 动态场检测
本文共1974字
预计阅读时长为6分钟
单激发螺旋轨迹具有较高的k空间采样效率,中心出发、绕行外展的轨迹结构使其在给定的梯度能力下实现更快的空间编码。因此,被广泛认为是实现快速T₂加权功能成像(BOLD fMRI)与动脉自旋标记(ASL)的理想方案。
在3T系统中,基于扩展信号模型的单次激发螺旋成像已展现出良好前景(点此查看详细解析),但7T高场条件下更严重的B₀非均匀性和更快的相位积累速度,使得实现同类方案面临更高挑战。
来自苏黎世联邦理工学院的研究团队以7T MRI为平台,借助Skope动态磁场探头和高精度的图像重建模型,实现了0.8 mm平面分辨率、53 ms长读出的单激发螺旋采集,并探索了螺旋双读出采集在fMRI领域的潜力。
高场螺旋成像的挑战与策略
螺旋序列的主要难点在于其对磁场动态误差和静态B₀偏移的高度敏感。非理想梯度响应、涡流、系统延迟、呼吸引起的磁场波动等,均会导致采样轨迹偏离,进而造成图像模糊、形变与伪影。由于静态B₀偏移引起的相位错误会随着主磁场强度线性放大,在7T条件下,这些干扰效应将更加明显。
为应对这些问题,研究团队采用了一种新的扩展信号模型,将接收线圈敏感度、静态B₀图与由Skope场探头阵列实时记录的动态磁场共同纳入图像重建过程。实验在Philips Achieva 7T系统上进行,采用32通道接收线圈与集成于头部线圈框架中的16个磁场探头阵列。
场探头设置:16个NMR场探头安装于头部线圈外侧,用于采集实时磁场数据
螺旋序列设计与成像方案
研究中共使用三种螺旋采集方式:单激发spiral-out、spiral-in-out与spiral-out-in(半激发)。其中,spiral-out为从k空间中心向外展开的单次激发序列;spiral-in-out与out-in则在一次激发后连续采集两个图像,兼具时间效率与多对比特性。
所有扫描均采用多层面梯度回波序列,切片厚度1~2 mm,TE最短为3 ms,最长为40 ms。
该研究所用单激发双螺旋(in/out)序列的时间结构与波形设计
高精度重建
将物理真实转化为图像保真
图像重建基于包括线圈敏感度、静态Δω₀、动态k空间轨迹在内的完整信号模型。动态磁场变化通过场探头采集,扩展为零阶到二阶球谐项。通过梯度回波序列测得静态Δω₀图与线圈敏感度图并进一步平滑处理。
中心层面的离共振(ΔB₀)分布图。左图为受试者1,右图为受试者2
实验结果
单激发螺旋成像:实现0.8 mm高分辨率
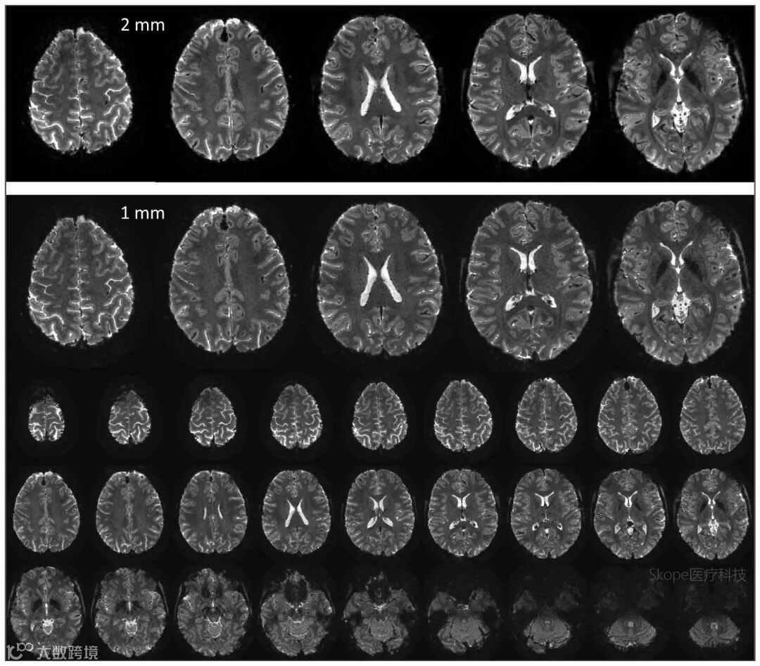
在2 mm厚度切片中,图像结构清晰,灰质/白质及脑-脑脊液边界可见度高,未出现传统螺旋采集中常见的模糊或形变问题。即使在切片厚度缩小至1 mm、SNR下降的条件下,图像仍保持良好细节表现。
高分辨率单激发螺旋图像(平面分辨率0.8 mm,读出时长53 ms)。
上排为5个2 mm层厚的切面,下排为1 mm薄层。图像中灰白质及脑脊液边界清晰,无明显模糊或几何畸变
监测磁场动态的相位展开结果:自上而下为零阶、k空间轨迹(第一阶)、第二阶球谐展开项。
重建模型各参数对图像质量的影响
为评估不同建模因素的影响,研究团队分别排除动态场、静态B₀偏移与线圈敏感度进行重建对比。结果显示:
若不考虑动态轨迹,将导致边界模糊与结构扭曲;
若不校正Δω₀,则在皮层区域产生显著模糊与信号堆积;
若忽略SENSE,则无法实现4倍欠采样下的单次激发重建。
左:使用四次螺旋采集的全采样数据,分别在是否考虑静态与动态场信息下重建;右:单激发图像(四倍欠采样),信号模型中包含线圈灵敏度、ΔB₀图及实测轨迹。
PSF分析揭示TE对空间分辨率的影响
研究进一步对螺旋轨迹在不同TE下的点扩散函数(PSF)进行了模拟。结果显示,在灰质/白质中,由于T₂衰减,图像实际分辨率略低于标称分辨率(0.94 mm与0.98 mm),但随着采集时长增加仍持续提升,表明延长螺旋采集时间可有效提升图像质量。
T₂衰减对图像分辨率及点扩散函数(PSF)的影响。红线:单激发螺旋名义分辨率随读出时长变化;蓝线与黄线:在灰质与白质中考虑T₂衰减后的实际分辨率。
半激发(half-shot)螺旋采集展现多图像能力
spiral-in-out与out-in方案可在一次激发后获取两个不同TE下的图像,拓展了多对比采集可能性。实验证明,spiral-in-out在保持整体对比度的同时,能通过后段采集获取更清晰的脑脊液与白质边界;spiral-out-in则提供短TE与长TE图像对比,有助于脂肪抑制及结构保持,两者各具优势。
螺旋in out成像结果。每个切面两幅图像,脑脊液与白质边界更清晰。
螺旋out in成像结果。每个切面两幅图像,短TE图像显示部分脂肪残留,长TE图像几何结构稳定。
本研究在7T高场MRI系统中,首次实现了基于完整物理模型的单次激发螺旋成像,达到了0.8 mm平面分辨率与53 ms采集时长,成像结果无显著模糊或失真。这一方案不仅适用于高分辨BOLD fMRI与ASL成像,也为spiral双读出采集、多回波分析等提供了可行平台。随着模型准确性、动态场测量与快速重建技术的不断提升,Skope磁场检测方案将持续为非笛卡尔高阶采集模式提供基础保障。
如需进一步了解Skope场探头阵列在7T系统中的集成方案,欢迎联系我们。我们将协助您构建更快速、更稳定、更高保真的高场fMRI采集。
了解更多Skope产品
产品介绍|Clip-on Camera “Cranberry” Edition
长按扫码关注我们
微信公众号|Skope医疗科技
Skope磁共振技术成立于2011年,为磁共振成像(MRI)市场开发传感器技术和信号处理的解决方案。Skope的客户使用这些解决方案可达到MR成像前所未有的精确性和速度。Skope向全世界的患者提供先进的诊断成像。
声明 / 论文部分仅供读者参考使用,不代表Skope医疗科技的观点和立场。读者应根据自身实际情况和需求,结合其他相关信息和专业意见,做出独立的判断和决策。我们不对读者因本文章而做出的任何决策或行为承担任何责任。如需转载,请联系我们。
点击“阅读原文”查看Engel, M., Kasper, L., Barmet, C., Schmid, T., Vionnet, L., Wilm, B., & Pruessmann, K. P. (2018). Single-shot spiral imaging at 7 T. Magnetic Resonance in Medicine, 80(5), 1836–1846.https://doi.org/10.1002/mrm.27176


