关键词:NeuroCam™ 7T 磁共振成像 场探测器 图像采集
在7T下,NeuroCam™具有64个独立接收元件和16个场探测器的MR头线圈,用于并行传输,可实现图像高质量和稳定性。
面临的挑战
-
系统和生理源头的磁通波动明显地降低了超高场强度下的图像质量。
-
在硬件的技术极限下运行的高性能扫描仪不可避免地会表现出一些系统的非线性,影响图像质量。 -
非笛卡尔编码方案对于高级神经成像具有吸引力,但需要对编码场有非常精确的了解。 -
高信噪比和空间分辨率都是回答关于人脑一些最基本问题所需的。
磁共振成像(MRI)通过无创且详细地深入了解大脑结构和功能,彻底改变了我们对人类大脑的理解。超高场(UHF)MRI扫描仪可在7T及以上的磁场强度上进行操作,为探索大脑的复杂性开辟了新的可能性。然而,除了超高场成像所提供的众多优势之外,必须解决一些挑战和考虑,以确保最佳图像质量和可靠的数据采集。回答关于人类大脑的基本问题需要超高场和磁共振成像中的高信噪比和空间分辨率。实现这些要求的同时出现由于超高场系统中固有的各种权衡和限制而形成的技术挑战。线圈设计、平行成像技术和图像重建方法不断创新发展,以在信噪比和分辨率之间取得平衡,使研究人员可以获得洞察力大脑研究的最高质量数据。减轻磁通波动、校正系统非线性和优化非笛卡尔编码方案对于改善图像质量和确保可靠数据采集至关重要。
磁共振成像
7T的精确神经影像学的头部线圈与集成场监测
NeuroCam™ 7T搭载64个高灵敏度接收元件,为7T神经影像学提供了新的机会。紧密贴合的几何结构确保了最佳的线圈-头部耦合,最大限度地提高了灵敏度,同时最大程度地减少信号损失。此外,它还配备了8或16通道传输线圈,实现并行传输,从而实现均匀的自旋激发。通过提高信噪比并实现更精细的空间分辨率,NeuroCam™ 7T可以捕捉微妙的解剖细节,并促进对复杂脑活动的检测。
*头部线圈与集成场监测(来源:Skope)
简化患者定位
来源:Skope
传输阵列和接收阵列的前部可朝磁体的服务端移动,以便于简便地定位受试者。接收器的顶部两侧有凹槽,便于轻松地将其滑过受试者。
增强患者舒适度
来源:Skope
可拆卸的前视镜可以放置在传输线圈顶部,让受试者可以看到磁共振室在磁体孔道的病人一侧。线圈上的位置可以通过滑动机制进行调整。
优越的信噪比
这个紧密安装的接收器阵列,包括64个独立元素,为神经影像应用提供高信噪比。
*接收器阵列 (来源:Skope)
同质激发
NeuroCam™ 7T的8个或16个独立发射元件可以通过并行传输来使发射场同质化。
来源:Skope
大视野
*后视镜 视景仿真(来源:Skope)
可将可拆卸的后视镜安装在接收器阵列的外壳上,用于视景仿真。
无障碍后视
接收器阵列的围护结构设计为最大程度地不妨碍视野。
* 围护结构设计 (来源:Skope)
轻松操作
线圈组件的紧凑设计和轻量化(14公斤)有利于操作人员轻松搬运线圈。
*紧凑设计的线圈组件 (来源:Skope)
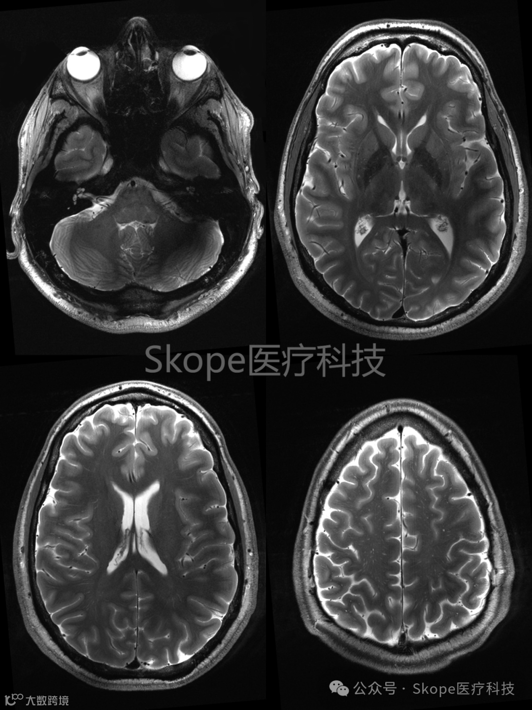
图像数据
敏感性加权成像
来源:Skope
采集参数
视野:220×179 毫米
层厚:72
平面分辨率:0.1×0.1 毫米
层厚度:1.5 毫米
加速因子 PE:3
采集时间:7:29
CP模式
海马T2加权成像
来源:Skope
采集参数
视野:80 x 162 毫米
层厚:42 层
平面分辨率:0.2 x 0.2 毫米
层厚:1.5 毫米
PE加速因子:2
采集时间:6:12
CP模式
T2 Turbo Spin Echo 成像
来源:Skope
采集参数
视场:230 x 173 毫米
层厚:39
平面分辨率:0.2 x 0.2 毫米
层厚:3 毫米
加速因子 PE:2
采集时间:3:38
CP模式
T2 FLAIR FS Turbo Spin Echo 成像
来源:Skope
采集参数
扫描范围:220 x 220 毫米
平面分辨率:0.55 x 0.66 毫米
层厚:2 毫米
加速因子 PE:3
采集时间:4:00
pTX模式
影像浏览器
https://www.viewer.skope.swiss/
现场检测
NeuroCam™ 7T 配备了一个完全集成的 16 个氟场探测器阵列,用于同时测量编码场。这些探头位于接收阵列的外壳,并分布在成像体积周围,来为球谐波基场的空间扩展提供最佳条件。用于场探测器阵列的前端电子设备的外壳附在线圈的背面,不会遮挡后视镜的视野。
*探测器阵列 (来源:Skope)
生理波动
通过监测场强度,可以实时进行调整以弥补由呼吸或其他因素引起的波动,确保在整个成像过程中获得更稳定和均匀的场强。另外,也可以在图像重建过程中根据测量到的场强进行修正。下图是由呼吸主体在一台7T磁共振扫描仪中引起的频率波动,通过位于扫描仪孔不同位置的四个场探头进行测量(Courtesy of DZNE Bonn, Germany)。
*呼吸频率波动 (来源:Skope)
高阶场项
以下例子是扩散制备对螺旋读数的影响(Courtesy of Sajjad Feizollah and Christine Tardif, McGill University, Montreal, Canada)。数据是在7T扫描仪上使用Clip-on相机采集的。左侧的动画展示了一个未在扩散梯度之前进行现场监测的螺旋轨迹,通过仔细观察,可以发现其与右侧受到扩散梯度影响的轨迹有明显的区别。特别值得注意的是零阶项中观察到的显著差异,它代表了全局磁场的波动。通过放大观察,可以看到零阶项以外的明显高阶场的增幅。这些被放大的高阶场归功于扩散梯度引起的涡流电流。高阶项可能会直接影响图像质量和几何一致性,因此对其进行表征非常重要。
同时,测量实际编码场的能力为选择更具挑战性但高效的读数方案提供了机会。为说明这一点,下图展示了使用两种不同读数技术获取的扩散加权数据导出的细胞内体积分数(ICVF)地图:左侧为回声平面成像(EPI),右侧为螺旋成像。采用螺旋读数的方式可以获得更高的信噪比,直接转化为质量更优越的ICVF地图。
来源:Skope
配置
NeuroCam 7T 8TX/64RX 用于全身梯度系统
默认情况下,NeuroCam™ 7T 配备了八个独立的发射元件和64个接收元件。它包括前视镜和后视镜以提高患者舒适度和视觉刺激。
来源:Skope
NeuroCam 7T 16TX/64RX 用于全身梯度系统
NeuroCam™ 7T 还可以配备 16 个独立的发射通道进行并行激发。由于发射元件较小,线圈不包括前视镜,但与 8 通道版本的线圈一样包括用于视觉刺激的后视镜。
来源:Skope
NeuroCam 7T 用于仅头部梯度系统
如果梯度系统足够大以容纳传输线圈,线圈框架可以调整适配到仅头部梯度系统中。
来源:Skope
版本
NeuroCam™ 7T有三个版本,每个版本都经过量身定制,以满足特定的成像需求。从我们的标准版、高级版和卓越版中选择,每个版本都提供独特的功能和能力,为出色的神经影像性能提供支持。
01
标准版:NeuroCam™ 7T的标准版是一个功能强大且多样的选择,具备出色的成像能力。它包括一款配备8或16个发射通道和64个接收通道的最先进的磁共振头线圈。这种配置具有优秀的信号接收能力,并能够对大脑进行精确成像。标准版凭借其先进技术和可靠性能,为各种成像需求提供了全面的解决方案。
02
高级版:高级版在标准版的基础上有了进一步功能改善。它包括与标准版相同的磁共振头线圈,确保高质量图像采集。高级版还具备未来升级到卓越版的潜力,使您能够随着需求的变化扩展系统的功能。凭借其出色的成像能力和升级潜力,高级版提供了可靠且具有未来潜力的解决方案。
03
卓越版:卓越版代表了我们磁共振解决方案产品线的巅峰,旨在提供无懈可击的图像质量和先进功能。除了磁共振头线圈外,卓越版还配备了一款16通道场探测阵列。这种创新性阵列能够实现对场强波动的精确监测和补偿,从而实现高度准确和无伪影的成像。借助卓越版,您可以获得出色的图像质量和稳定性,特别适用于具有挑战性的成像方案。它为前沿研究和高级应用提供了最全面的解决方案。
免责声明
本产品的某些功能尚处于开发阶段,未商业化,恕不保证其未来的可用性。本网页中包含的所有数据和信息在法律上不具有约束力,不会对Skope公司及其独家商业伙伴合康隆医疗科技产生任何担保或责任。注意:试验设备——根据相关法律,仅限于试验使用。请注意,目前尚无集成场探测阵列的版本可供购买,未来可能会推出,敬请期待。
Skope磁共振技术成立于2011年,为磁共振成像(MRI)市场开发传感器技术和信号处理的解决方案。Skope的客户使用这些解决方案可达到MR成像前所未有的精确性和速度。Skope向全世界的患者提供先进的诊断成像。

