关键词:7T MRI 并行发射 pTx 头部线圈 脑成像 TSE FLAIR MP2RAGE
7T超高场磁共振系统提供了更高的信噪比和空间分辨率,但也带来了B1场分布不均、信号塌陷等挑战。解决这些挑战的关键之一,是高接收通道阵列与平行传输(parallel transmission, pTx)技术。
上一篇文章探讨了NeuroCam™ 7T系统通过64通道接收阵列与8/16通道并行发射(pTx)技术,实现了从大脑皮层至颈椎C6的稳定大FOV,点此回顾。
MPRAGE序列,NeuroCam™ 7T可稳定采集至颈椎C6的完整结构,信号均衡,无伪影
NeuroCam™ 7T多序列成像效果
T2 TSE、MP2RAGE、FLAIR等是高场MRI中常用的结构成像序列,它们在神经系统疾病的诊断中扮演着关键角色。为了充分发挥7T超高场的优势,精确呈现脑部精细结构和深部病变,这些序列对图像的信号一致性和组织间对比度有着极高的标准。
通过下列实际成像,直观感受多通道接收与pTx发射所带来的更高的组织边界清晰度、更均匀的信号分布,以及更完整的结构呈现。
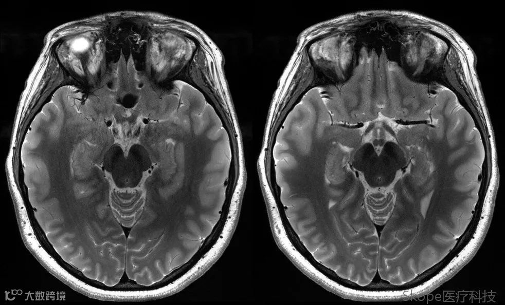
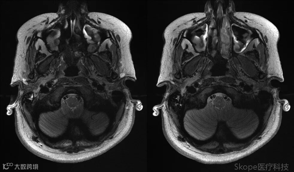
Axial T2 Turbo Spin Echo
左右颞叶信号均匀性良好,且深部脑结构具有良好的信噪比,三叉神经清晰可见。
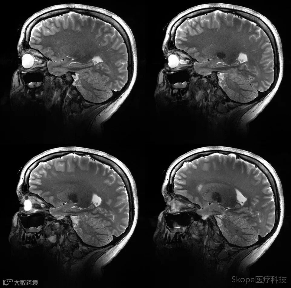
Sagittal T2 TSE
pTx有效改善了小脑区域图像均匀性。
Right brain hemisphere
Left brain hemisphere
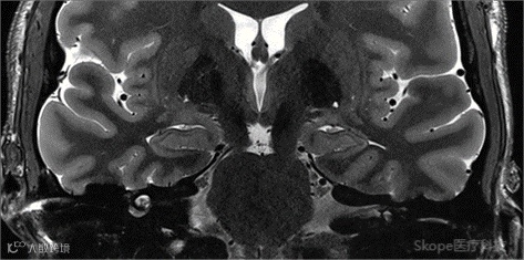
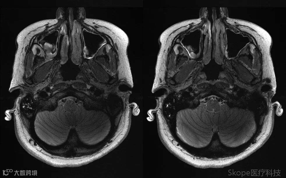
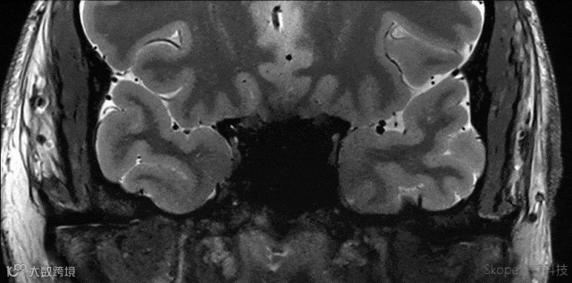
Axial T2 TSE
3D T2 Space FLAIR FS
采用高加速因子的同时,仍保持了高分辨率和高信噪比。
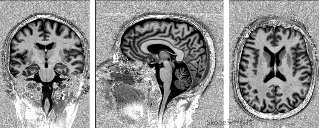
MP2RAGE
不只是图“好看”,而是“每一层都可用”
在脑科学研究和临床辅助诊断中,高质量的图像关系到结构识别、测量精度、病灶边界定位的准确性和可重复性,这对于高场MRI的临床转化至关重要。
NeuroCam™ 7T所实现的高质量成像,得益于发射与接收两侧的协同优化。其中,多通道接收阵列不仅有效拓展了空间覆盖,还为提高信号采集密度和实现并行加速算法提供了必要条件;而pTx技术,在提升B1均匀性的同时,也显著减少了扫描冗余,确保了图像的整体一致性与可靠性。
在下一篇文章中,我们将进一步探讨NeuroCam™ 7T在信噪比与扫描速度方面的具体表现。
若您希望了解更多技术规格或不同配置的适配方案,欢迎点击下方联系我们开启一对一专业咨询。
了解更多Skope产品
长按扫码关注我们
微信公众号|Skope医疗科技
Skope磁共振技术成立于2011年,为磁共振成像(MRI)市场开发传感器技术和信号处理的解决方案。Skope的客户使用这些解决方案可达到MR成像前所未有的精确性和速度。Skope向全世界的患者提供先进的诊断成像。


