导言:
随着肿瘤生物学的发展,人们发现代谢重编程是恶性肿瘤的重要标志。除了“Warburg效应”,氨基酸代谢也与多种癌症进展密切相关。本文证明当谷氨酰胺被剥夺时,支链氨基酸(BCAAs)分解代谢是维持肝细胞癌(HCC)恶性增殖所必需的,而这一“适应性”代谢重组通过O-GlcNAc-PPM1K-pBCKDHA 信号轴介导,提示BCKDHA及PPM1K有望成为HCC的潜在治疗靶点及预后生物标志物。
背景:
与正常细胞相比,癌细胞的代谢活动发生变化,这种现象被称为代谢重编程,对肿瘤的生存和增殖至关重要。最近的研究表明,除葡萄糖和谷氨酰胺外,其他为细胞提供能量的营养物质也在癌细胞代谢重编程发挥着潜在作用,其中就包括支链氨基酸(BCAAs)。BCAAs为细胞中仅次于谷氨酰胺的第二大氮源,在肌肉蛋白必需氨基酸中占比35%,食物中占比50%。BCAAs分解代谢起始步骤为BCAT1/BCAT2转氨酶催化的转胺反应,生成支链酮酸,然后在BCKA脱氢酶(BCKDH)复合体的催化下进行不可逆氧化脱羧反应,其产物是酰基辅酶,最后发生类似于脂肪酸氧化的反应,最终产物进入三羧酸循环供能。
多项研究表明支链氨基酸与癌症进展密切相关,然而,相关的分子机制尚未研究清楚并存在争议。除了致癌基因突变及组织异质性之外,肿瘤周围的营养微环境也可能影响支链氨基酸分解代谢发挥致癌或抑癌作用。因此,明确肿瘤发生发展过程中BCAA分解代谢的具体作用机制至关重要。
为了解决这一科学问题,本文作者探究了BCAAs分解代谢在维持肝癌进展中的作用及分子机制。
结果:
1
在谷氨酰胺剥夺条件下,BCAAs分解代谢对维持HCC细胞存活至关重要
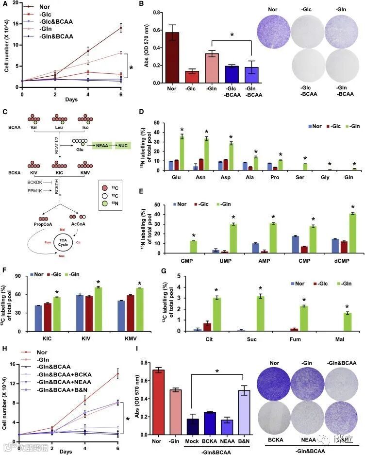
通过观察不同营养条件下Hep3B、SK-Hep-1和SNU-475细胞的增殖情况,作者发现剥夺谷氨酰胺只能部分抑制细胞增殖,而同时剥夺谷氨酰胺和BCAAs可以完全抑制(图1A、1B),这表明BCAAs对谷氨酰胺饥饿条件下肝癌细胞的生存至关重要。双同位素标记实验结果证明在谷氨酰胺饥饿条件下,BCAAs分解代谢途径被激活,代谢产物显著增多(图1D-1G)。挽救实验结果证明,同时补充BCAAs分解代谢两种主要代谢产物BCKAs 和 NEAAs可促进肝癌细胞增殖。

图1 Glu剥夺条件下BCAAs分解代谢对HCC细胞生存至关重要
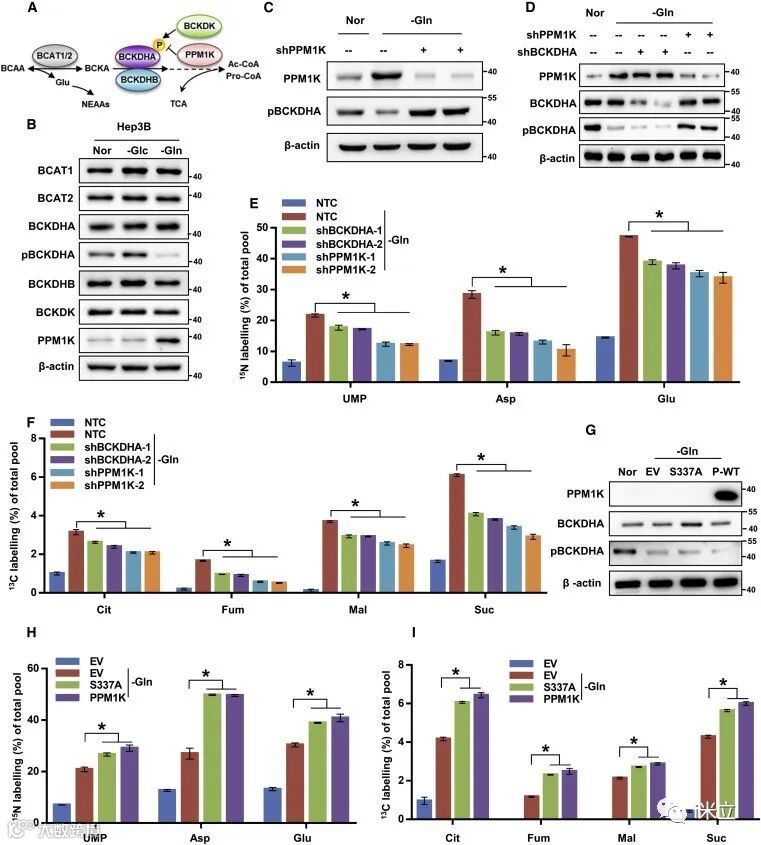
PPM1K-pBCKDHA轴: 谷氨酰胺剥夺诱导的BCAAs分解代谢开关
BCKDH复合体由BCKDHA和BCKDHB两个亚基构成,其磷酸化由激酶BCKDK和磷酸酶PPM1K调节(图1A)。Western blot结果表明,在谷氨酰胺饥饿条件下,pBCKDHA表达水平显著降低,同时PPM1K表达显著增加(图2B和S2A),敲低PPM1K导致BCKDHA磷酸化水平升高(图2C)。使用同位素标记BCAAs进行的代谢示踪实验表明,敲低BCKDHA或PPM1K减少了15N进入谷氨酸、天冬氨酸以及UMP中的数量,也减少了13C进入TCA循环中间产物的数量(图2D-2F)。而过表达BCKDHA-S337A (BCKDHA的活化突变体)或野生型PPM1K产生的效果则相反(图2G-2I)。这些数据表明,pBCKDHA和PPM1K参与了谷氨酰胺饥饿条件下BCAAs分解代谢的激活。
2

图2 PPM1K-pBCKDHA轴为谷氨酰胺剥夺所诱导的BCAAs分解代谢的开关
3
O-GlcNAc糖基化稳定PPM1K,促进BCKDHA去磷酸化
Western blot试验结果表明,Gln剥夺条件下PPM1K表达水平较高,加入蛋白酶抑制剂MG132可以使对照组和Glc饥饿组PPM1K表达水平升高(图3A),这表明Gln剥夺稳定了PPM1K蛋白,保护其不被蛋白酶体降解(图3A)。有研究报道O-GlcNAc糖基化可调节蛋白稳定性,作者发现Gln剥夺条件下,O-GlcNAc糖基化水平升高(图3B)。敲低O-连接N-乙酰氨基葡萄糖转移酶OGT,细胞中O-GlcNAc糖基化水平升高,PPM1K表达水平降低,pBCKDHA表达水平升高,敲低MGEA5则相反,回补PPM1K及添加MG132减弱了敲低OGT造成的影响(图3C-3F)。敲低OGT并加入MG132,使PPM1K泛素化水平增加(图3G)。免疫沉淀实验结果表明,谷氨酰胺剥夺条件下,PPM1K的 O-GlcNAc糖基化水平升高,PPM1K的 O-GlcNAc糖基化位点失活突变后,其表达水平降低,pBCKDHA表达水平升高(图3I)。一系列实验结果从多方面证明O-GlcNAc糖基化稳定PPM1K,从而促进BCKDHA去磷酸化。

图3 Glu剥夺条件下,O-GlcNAc糖基化稳定PPM1K并促进BCKDHA去磷酸化
4
谷氨酰胺剥夺,BCAAs分解代谢促进HCC细胞周期进程
EdU细胞增殖实验表明,即使在BCAAs存在的情况下,Glc饥饿也限制了Hep3B细胞的增殖,而在Gln饥饿条件下,Hep3B细胞继续增殖(图4A和4B)。细胞凋亡实验结果表明剥夺BCAAs对剥夺Glc或Gln造成的高凋亡率或低凋亡率无影响(图4C)。基于此,作者进一步对细胞周期进行检测,实验结果显示,剥夺BCAAs、敲低BCKDHA和敲低PPM1K均造成G2/M细胞周期阻滞,PPM1K的 O-GlcNAc糖基化位点失活突变及外源补充BCKAs 和NEAAs可逆转这一作用(图4D-H)。

图4 Glu剥夺条件下,BCAAs分解代谢促进HCC细胞周期进程
5
靶向BCAAs和Gln代谢可抑制肝细胞癌发展
接下来体内实验中,作者使用谷氨酰胺代谢抑制剂(BPTES)模拟谷氨酰胺缺乏的条件,进一步探索pBCKDHA和PPM1K在谷氨酰胺剥夺条件下对癌细胞增殖的影响。结果显示BPTES处理在一定程度上减缓了肿瘤细胞的生长,而敲低BCKDHA或PPM1K联用BPTES处理进一步减缓了Hep3B细胞异种移植瘤的生长(图5A-5C)。通过western blot实验检测肿瘤中相关蛋白水平,实验结果显示肿瘤中BCKDHA或PPM1K均成功敲低(图5D)。对实验小鼠血浆BCAAs水平的测定表明,BPTES处理导致血浆BCAAs水平降低,这可能是由于通过干扰Gln代谢促进了组织中BCAAs的利用(图5E和5J)。BPTES处理并敲低BCKDHA或PPM1K可增加血浆BCAAs水平,表明小鼠体内BCAAs分解代谢减少(图5E)。相比之下,在Hep3B细胞中过表达BCKDHA-S337A或PPM1K减弱了BPTES的抑瘤作用(图5F-5H)。通过western blot分析确定各组细胞的蛋白水平,结果显示BCKDHA-S337A或PPM1K均成功过表达(图5I)。BCKDHA-S337A或PPM1K的过表达导致BPTES治疗下血浆BCAAs水平进一步降低,其原因可能是促进了肿瘤组织中的BCAAs分解代谢(图5J)。

图5 靶向BCAAs和Glu代谢途径抑制体内HCC肿瘤生长
6
pBCKDHA和PPM1K水平异常可预测临床HCC患者的预后情况
最后作者探索了在HCC癌症进展过程中BCAAs分解的潜在临床相关性。作者发现临床患者HCC肿瘤中pBCKDHA的水平显著低于癌旁组织,而PPM1K和O-GlcNAc糖基化的水平显著高于癌旁组织(图6A)。此外,在161例HCC患者队列中,作者通过免疫组织化学(IHC)染色分析了pBCKDHA、PPM1K和O-GlcNAc糖基化水平,结果显示,pBCKDHA在正常肝组织中大量表达,在早期HCC组织中呈中等水平(I和II期),在晚期HCC组织中呈低水平(III和IV期),其表达水平与患者预后不良呈负相关,而PPM1K表达和O-GlcNAc糖基化则呈现相反的趋势(图6B-E)。

图6 pBCKDHA和PPM1K水平异常可预测临床HCC患者的预后情况
结论:
本文作者发现在谷氨酰胺缺乏的条件下,肝癌细胞通过激活BCAAs,促进细胞周期进程,维持细胞存活。机制上,谷氨酰胺剥夺后,O-GlcNAc糖基化增加,通过稳定蛋白磷酸酶1K(PPM1K)来促进BCKDHA的去磷酸化,增加其活性以启动BCAAs的分解。此外,作者发现BCKDHA的去磷酸化和PPM1K的高表达在体内外均促进肿瘤的发生发展,并与HCC患者的不良预后密切相关。这些结果不仅阐明了BCAAs分解代谢影响HCC发展的分子机制,而且提示了pBCKDHA和PPM1K有望成为潜在的治疗靶点和生物标志物。
点击关注我们
Science & Technology

