
近日,浙江大学季业伟团队与密歇根大学的团队合作在 Nature Cell Biology在线发表题为“SEL1L-HRD1 endoplasmic reticulumassociated degradation controls STING-mediated innate immunity by limiting the size of the activable STING pool”的研究论文,为更深入了解先天免疫调节机制提供了理论依据。
干扰素基因STING激因子(STING)信号级联在协调先天免疫对抗致病性双链DNA(dsDNA)和自身免疫中发挥着重要作用。病原体来源的胞质dsDNA被环状GMP-AMP合成酶(cGAS)识别,该酶将ATP和GTP转化为环状GMP-AMP(cGAMP)。然后,cGAMP与内质网上被称为STING的四跨跨膜蛋白结合,触发其构象变化和激活。激活的STING易位到反式高尔基网络,和激活下游激酶TANK结合激酶1(TBK1)和转录因子干扰素调节因子3(IRF3)作用,导致诱导关键炎症因子基因如I型干扰素(IFN)参与先天免疫。除了病原体来源的dsDNA外,来自受损的线粒体或不稳定的基因组,也可导致STING激活和各种病理中自身免疫性疾病的发生。因此,需要严格控制STING的活性,以维持免疫内稳态。
最近的研究表明,激活的STING在ER后腔室被蛋白酶体或溶酶体介导的降解负调控。两种E3泛素连接酶——环指蛋白5(RNF5,也称为RMA1)和含三部分基序的蛋白30α(TRIM30α)可能参与活化的STING的降解。此外,活化的STING可以在酸性内溶酶体进行降解。然而,在非激活状态下,STING是如何调节的仍然不清楚。最近的研究表明,STING可能在基础状态下与Ca2+传感器基质相互作用分子1(STIM1)或toll相互作用蛋白相互作用,从而阻止其激活或降解。有趣的是,在后一种情况下,STING的溶酶体降解需要肌醇需要酶1α(IRE1α)的活性,这是内质网应激或未折叠蛋白反应(UPR)的ER驻留传感器,尽管其机制尚不清楚。此外,在成熟的B细胞中,最近的一项研究表明,激活的STING参与SEL1L-HRD1内质网相关降解模式中B细胞受体的降解;然而,SEL1L-HRD1 ERAD在STING生物学中的作用仍未被探索。
1.
髓系细胞特异性SEL1L缺陷小鼠的构建
作者通过杂交的方式构建了髓系细胞特异性Sel1l缺陷小鼠(Sel1LLyz2),WB显示该小鼠HRD1蛋白稳定性下降(图1a)。与Sel1Lf/f同窝小鼠相比,Sel1LLyz2小鼠表现正常(图1b)。脾脏巨噬细胞、CD11b+ Gr1+中性粒细胞、B220+ B细胞、CD4+和CD8+ T细胞的百分比没有明显差异(图1c)。为了证明SEL1L-HRD1ERAD缺失的功能后果,作者接下来评估了ER稳态的状态。与UPR传感器的IRE1α是ERAD底物的观点一致,IRE1α蛋白在Sel1LLyz2巨噬细胞中增加了7倍(图1a)。然而,与基础条件下的Sel1Lf/f巨噬细胞相比,基于磷酸化标记的蛋白印迹未能检测到Sel1LLyz2巨噬细胞中IRE1α的过度磷酸化(图1e中的第6道和第1道)。此外,通过裂解caspase-3(图1f中第1道和第7道)的水平测量,两个队列之间的细胞死亡具有可比性。综上所述,这些数据表明,在基础条件下,体内巨噬细胞可以很好地耐受SEL1L缺陷。
LPS处理并不能增强Sel1Lf/f和Sel1LLyz2巨噬细胞中IRE1α的磷酸化(图1e)。此外,在体外,Sel1Lf/f和Sel1LLyz2巨噬细胞之间的脂多糖STING激的炎症和细胞死亡均无明显差异(图1f、g)。在体内,LPS注射后肿瘤坏死因子α(TNFα)和白细胞介素-6(IL-6)(图1h)水平升高,两组小鼠的死亡率相似(图1i)。因此数据表明,巨噬细胞中的SEL1L-HRD1ERAD在LPS反应中没有作用。
图1 Sel1LLyz2小鼠的正常生长和完整的TLR4先天免疫反应
2.
Sel1L缺失增强了cGAS-STING信号传递
接下来,作者筛选了一些STING的激动剂以确定它们STING激原代巨噬细胞炎症的能力。令人惊讶的是,在这些激动剂中,与Sel1Lf/f巨噬细胞相比,只有cGAMP-STING持续触发Sel1LLyz2中几个炎症因子基因(Tnfa、Il6、Ifnb和Cxcl10)的表达显著升高(图2a)。与这些发现相一致的是,受STING激的Sel1LLyz2巨噬细胞中分泌的IFNβ和TNFα的蛋白水平显著高于Sel1Lf/f巨噬细胞(图2b)。此外,尽管STING下游效应子TBK1和IRF3的蛋白水平相当,但与cGAMP处理后的Sel1Lf/f巨噬细胞相比,Sel1LLyz2巨噬细胞均超磷酸化(图2c)。使用另一种STING激动剂5,6-二甲基黄蒽酮-4-乙酸(DMXAA)获得了类似的观察结果(图2d)。与之形成直接对比的是,RIG-1激动剂双链RNA poly(I:C)处理在Sel1LLyz2和Sel1Lf/f巨噬细胞之间引发了类似的反应,包括IFNβ和TNFα的分泌,以及TBK1和IRF3的磷酸化(图2e,f)。随着RIG-1和STING通路汇聚在TBK1和IRF3上,这些数据表明SEL1L-HRD1 ERAD可能特异性调STING通路的早期事件(或多个早期事件)。
图2 SEL1L的丢失增强了STING信号级联
3.
缺失ERAD情况下STING稳定性增加
与Sel1Lf/f巨噬细胞相比,Sel1LLyz2中的STING蛋白水平增加了近3倍(图3a)。相比之下,其途径中的其他蛋白质,如dsDNA传感器cGAS,STING相互作用因子STIM1,下游效应子TBK和IRF3没有变化(图3a)。此外,其他ER常驻膜蛋白均不受Sel1L缺陷的影响(图3a)。这些数据表明SEL1L-HRD1 ERAD在巨噬细胞中具有STING特异性作用。这种效应在转录后水平上受到调控,因为在Sel1LLyz2巨噬细胞中,STING转录本没有变化(图3b)。为了进一步检测HRD1在STING功能调控中的作用,与SEL1L缺陷的巨噬细胞类似,Hrd1的缺失导致了STING蛋白的近两倍的积累(图3c),并在STING激动剂刺激下增强了STING和TBK1的磷酸化(图3d)。因此,SEL1L-HRD1 ERAD通过STING调控cGAS/STING信号传导。在环己酰亚胺(CHX)处理条件下,Sel1Lf/f巨噬细胞(第1道对第3道)的STING蛋白水平在6小时内下降了30%以上,但在Sel1LLyz2巨噬细胞中稳定下来(第5道对第7道)(图3e)。蛋白酶体抑制剂MG132阻断了Sel1Lf/f巨噬细胞中STING蛋白的衰变(图3e中的第3道和第4道),表明蛋白酶体参与了STING蛋白的周转。此外,STING蛋白在Hrd1−/−小鼠胚胎成纤维细胞(MEFs)中也稳定(图3f),表明SEL1L-HRD1 ERAD对STING的作用并不局限于巨噬细胞。因此,SEL1L-HRD1 ERAD调控STING可能代表了一种普遍的机制。
为了进一步证明SEL1L-HRD1 ERAD在STING生物学中的重要性,作者构建了骨髓特异性的Atg7敲除巨噬缺失(Atg7Lyz2)小鼠。令人惊讶的是,Atg7Lyz2与Atg7f/f巨噬细胞的STING蛋白水平或其信号通路没有差异(图3g),IFNβ的基因表达或分泌没有差异(图3h,i),这表明巨噬在STING激活中的作用是可替代的。然而,与之前的报道一致,巴菲霉素A1(一种抑制溶酶体酸化和降解的化合物)处理增加了DMXAASTING细胞中的STING蛋白水平,而在基础状态下没有影响(图3j)。综上所述,STING基础状态的降解发生在内质网中,并且是由SEL1L-HRD1 ERAD介导的。
图3 在基础状态下没有SEL1L-HRD1 ERAD的STING蛋白的积累
4.
ERAD对STING的影响与UPR和IRE1α不相关
由于ERAD和UPR是两个紧密相连的通路,作者接下来测试了内质网应激(UPR)和STING之间的相互作用。令人惊讶的是,cGAMP处理激活STING后的野生型巨噬细胞不能诱导常见的UPR标记物的表达,而内质网应激对炎症基因如Sting、Ifnb和Cxcl10的表达没有影响(图4a)。此外,硫酸精蛋白治疗不能噬细胞中IRF3的磷酸化(图4b)。因此,UPR不足以激活巨噬细胞的STING通路,反之亦然。在Sel1LLyz2巨噬细胞中,抑制蛋白处理对STING蛋白水平或其下游信号转导没有额外的影响(图4c),排除了UPR在Sel1L缺陷诱导的高反应性STING中的主要作用。
作者用IRE1α特异性抑制剂4μ8c处理原代巨噬细胞。虽然4μ8c减少了Xbp1信使RNA的剪接(图4d),但4μ8c处理并没有改变DMXAA诱导的Sel1LLyz2和Sel1Lf/f巨噬细胞的差异(图4e,f)。此外,在巨噬细胞中单独存在IRE1α基因缺失,对STING蛋白水平没有影响(图4g),而Hrd1−/−RAW 264.7细胞中IRE1α蛋白水平下降到与野生型细胞相似的水平,并没有逆转STING蛋白的积累(图4h)。综上所述,这些数据表明UPR和IRE1α对STING信号没有影响,SEL1L-HRD1 ERAD对STING通路的影响是UPR和IRE1α独立的。
图4 SEL1L-HRD1 ERAD对STING的影响与UPR和IRE1α不相关
5.
STING是SEL1L-HRD1ERAD的内源性底物
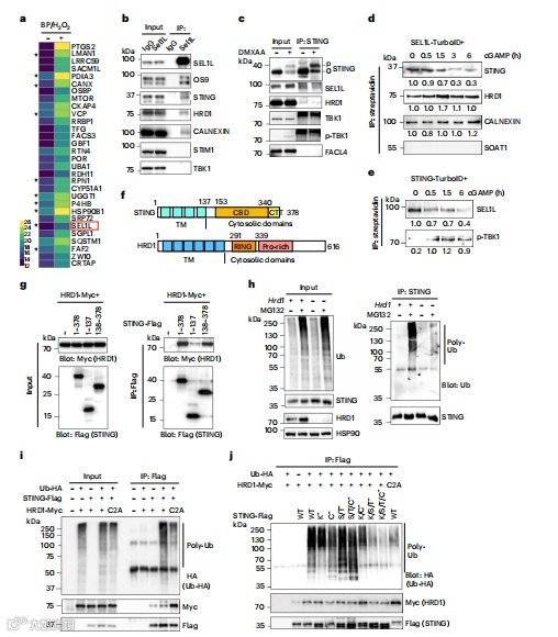
接下来,作者检测了SEL1L-HRD1 ERAD如何调节STING蛋白的稳定性。基于蛋白质组学研究,STING与许多ER伴侣(图5a)相互作用。事实上,在野生型巨噬细胞中,内源性SEL1L与内源性ERAD因子(如HRD1、OS9和CALNEXIN)相互作用,而不是与STIM1或TBK1(图5b)。在DMXAA刺激下,STING与SEL1L-HRD1的相互作用减弱,而与磷酸化TBK1的相互作用没有减弱(图5c)。cGAMP刺激后,SEL1L与STING的相互作用迅速减少,而与HRD1和CALNEXIN的相互作用持续存在(图5d)。同样,STING与SEL1L的相互作用迅速减少,而与磷酸化TBK1的相互作用随着时间的增加而增加(图5e)。
然后,作者检测了STING如何与SEL1L-HRD1 ERAD相互作用并被其泛素化。HRD1和STING都是具有较大胞质结构域的多通道跨膜蛋白(图5f)。对截断的STING或HRD1蛋白的免疫共沉淀显示,它们通过胞质结构域相互作用(图5g)。此外,HRD1稳定泛素化STING(图5h),表明SEL1L-HRD1 ERAD降解了ER中新生STING。HRD1介导的STING泛素化需要RING结构(图5i)。
然后作者探究了STING上可能的泛素化位点。所有8个胞质K残基都突变为精氨酸(R)(即K−)的STING蛋白仍然被HRD1泛素化(图5j)。由于其他氨基酸,如半胱氨酸(C)、丝氨酸(S)和苏氨酸(T),也是特定E3连接酶的潜在泛素化位点,作者接下来用丙氨酸(A)(即C−)取代所有9个胞质C残基),所有33个胞质S/T残基与A(即S/T−),两种STING变体均被HRD1泛素化(图5j)。STING泛素化显著降低到与表达HRD1-C2A变体的细胞相似的水平(图5j)。因此,数据表明,HRD1在基础状态下的STING泛素化可能发生在K、S、T和C等多个氨基酸上。
图5 STING直接与SEL1L-HRD1 ERAD相互作用并被其泛素化
6.
SEL1L-HRD1ERAD控制可激活的STING的量
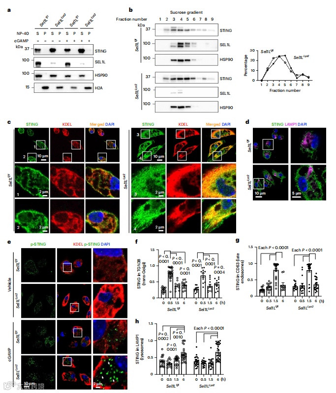
接下来,作者研究了SEL1L-HRD1 ERAD在STING成熟和功能中的重要性。在Sel1LLyz2巨噬细胞中积累的STING蛋白在基础和活性状态仍可溶且无法检测到不溶性颗粒(图6a)。结果表明,STING在基础状态和活性状态下复合物的分布非常相似(图6b)。此外,共聚焦显微镜分析显示,在基础状态下,与Sel1Lf/f巨噬细胞相比,Sel1LLyz2巨噬细胞的ER中明显有更多的STING蛋白(图6c)。在基础状态下的两组溶酶体中,很少检测到(图6d)。然而,在cGAMP激活后,在Sel1LLyz2巨噬细胞的内质网外室中形成了更多的p-STING(图6e箭头)。这些数据表明,在没有SEL1L-HRD1 ERAD的情况下,可激活的STING蛋白量增加了。
图6 SEL1L-HRD1 ERAD控制巨噬细胞中可激活的STING池的大小
7.
SEL1L-HRD1ERAD限制了STING介导的先天免疫
接下来,作者探讨了SEL1L-HRD1 ERAD在先天免疫中的病理生理意义。Sel1Lf/f和Sel1LLyz2巨噬细胞的激活动力学非常相似,在~1.5 h达到峰值(图7a,定量见图7b)。然而,Sel1LLyz2巨噬细胞比Sel1Lf/f巨噬细胞表现出更强大的p-STING反应(图7c)。因此,SEL1L-HRD1ERAD缺失增加了可激活的刺池的大小,从而导致刺信号增强。
同时,作者在肿瘤模型中检测了SEL1L-HRD1 ERAD的功能。在肿瘤植入后的第二周,将来自体外激活的巨噬细胞的分泌组两次注射到携带肿瘤的野生型小鼠中(图7f)。接受DMXAA处理的Sel1LLyz2巨噬细胞分泌组的小鼠比接受DMXAA处理的Sel1Lf/f巨噬细胞分泌组的小鼠肿瘤明显更小(图7g,h)。分泌组的活性成分具有蛋白质性质,因为注射前的热失活消除了保护作用(图7g,h)。最后,来自DMXAA处理的巨噬细胞的分泌组的保护作用需要T细胞的参与。综上所述,这些数据表明,髓系特异性SEL1L-HRD1 ERAD限制了针对DNA病毒和肿瘤生长的STING信号。
图7 髓系特异性SEL1L-HRD1 ERAD限制了体内外STING介导的先天免疫
内质网外室的配体结合可通过多种机制调控,但新生STING蛋白在内质网中是如何调控的尚不清楚。在这里作者发现内质网相关降解途径组分SEL1L-HRD1能够组成蛋白复合物降解内质网中未激活的STING蛋白,以限制STING的激活并发挥抑制先天免疫的作用。
虽然仍有更多的因素有待发现,但本研究显示了靶向SEL1L-HRD1 ERAD在各种STING相关疾病中的潜在治疗价值。

往期推荐
Nature Communications|ITF2通过NF-κB预防结肠癌
从单细胞转录组测序看在儿童期发病的结肠炎中的先天性和适应性淋巴细胞
结肠癌患者免疫治疗的新方向——乳酸化驱动的METTL3介导的RNA m6A修饰
Science Advances|新冠靶点!芳烃受体是SARS-CoV-2病毒宿主因子和候选治疗靶点

