胃肠功能障碍是全球范围内广泛存在的临床问题,其中功能性消化不良(Functional Dyspepsia, FD)影响了超过7%的人口。这种疾病以胃部不适、饱胀、疼痛等症状为特征,病程长且难以治愈。传统药物治疗效果有限,而电针疗法作为一种替代疗法,因其良好的临床疗效而备受关注。然而,电针的疗效受刺激参数(如强度和深度)的影响较大,且其具体作用机制尚未完全阐明。这不仅限制了电针疗法的推广,也阻碍了其在临床中的精准应用。
近期,复旦大学脑科学研究院柳申滨研究员和复旦大学华山医院王念宏教授团队在《神经元》(Neuron)杂志上发表了一项重要研究成果,揭示了电针调节胃功能的神经解剖学机制,并提出了电针疗法的强度和深度依赖性特征。这些发现为优化电针治疗方案提供了理论依据,并推动了针灸治疗从传统经验模式向现代精准医学的转变。
-01-
研究背景与意义功能性消化不良(FD)是一种常见的功能性胃肠疾病,其特征是胃部出现不适感、饱胀、疼痛等症状,且没有明显的器质性病变。电针疗法通过刺激体表特定穴位(如足三里穴),能够调节内脏功能,改善胃蠕动。然而,电针疗法的效果受刺激参数的影响显著,尤其是刺激强度和针刺深度。阐明电针调控胃功能的具体神经机制,对于优化治疗方案、提高临床疗效具有重要意义。
-02-
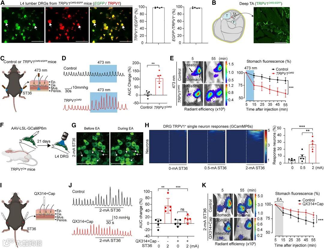
研究发现,只有高强度(2 mA)的电针刺激足三里穴能够显著促进小鼠胃蠕动。通过在体双光子钙成像技术,研究人员观察到2 mA电针刺激能够激活胃部的胆碱能肠神经元(ChAT+神经元),而低强度(0.5 mA)或无刺激(0 mA)则无此效果。进一步的实验表明,这种胃蠕动的增强依赖于迷走神经通路的完整性,表明电针作用于迷走神经反射通路。
为了进一步提高我校教师的专业素养,充分发展示教师的示范引领作用,教学组特开展次此学科教研活动。
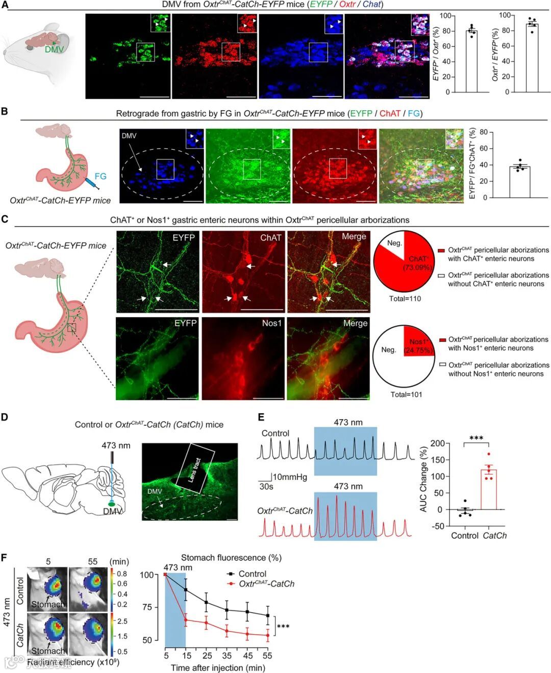
研究团队通过单细胞测序和基因编辑技术,揭示了电针刺激足三里穴激活的神经环路机制。TRPV1+感觉神经纤维将信号传递至迷走神经背核(DMV),并特异性地激活表达催产素受体(Oxtr+)的神经元。这些Oxtr+神经元进一步投射至胃部,调节胃蠕动。
研究团队进一步验证了电针疗法在人类中的疗效。在一项随机对照临床试验中,研究人员发现,与浅层刺激或低、中强度刺激相比,深层组织的高强度电针刺激能够更有效地促进健康受试者和FD患者的胃蠕动,并显著改善患者的症状和生活质量。
-03-
电针的胃蠕动调节作用具有强度依赖性,只有高强度(2 mA)刺激才能有效激活迷走神经反射通路。
电针的效果依赖于对穴位深层组织的刺激,浅层刺激无效。
电针通过激活深层组织中的TRPV1+感觉神经纤维,将信号传递至迷走神经背核中的Oxtr+神经元,进而调节胃蠕动。
高强度电针刺激能够显著改善FD患者的胃蠕动功能和生活质量。
-03-
这项研究不仅阐明了电针调节胃功能的神经解剖学机制,还为优化电针治疗方案提供了科学依据。通过精准控制电针的刺激强度和深度,可以更有效地激活迷走神经反射通路,为功能性消化不良等胃功能障碍患者提供更精准的治疗选择。这一成果标志着针灸治疗正从传统经验模式向现代精准医学模式转变,为全球胃肠功能障碍患者带来了新的希望。
【科研喵】专注科研效率提升,集成文献阅读、AI润色改写、语法纠错、PDF智能阅读等功能于一体的高效科研工具。
SUMMER HAS ARRIVED
往期推荐

