
-
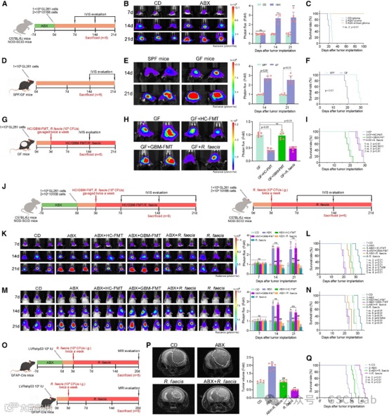
菌群耗竭后,小鼠肿瘤体积增大 2.3 倍,生存期缩短 40%;而补充 R. faecis 或 BA 可显著逆转这一现象,肿瘤生长抑制率达 50% 以上; -
BA 与其他短链脂肪酸(乙酸、丙酸)相比,抑癌效果最显著,且能穿透血脑屏障,在胶质瘤组织中富集; -
粪便微生物移植(FMT)实验证实,健康人粪便移植可抑制小鼠胶质瘤生长,而胶质瘤患者粪便移植无此效果,核心差异正是 R. faecis 和 BA 水平。
-
生酮饮食可显著富集小鼠肠道内 A. muciniphila(丰度提升 3.7 倍),并以黏蛋白 - 2(Muc2)依赖方式促进 BA 生成 ——A. muciniphila 降解肠道黏液产生乙酸,进而支持 R. faecis 等菌群生成 BA; -
生酮饮食对胶质瘤的抑制作用依赖肠道菌群:抗生素耗竭菌群后,生酮饮食的抑癌效果完全消失,而补充 A. muciniphila、R. faecis 或 BA 可恢复其作用; -
改良版生酮饮食(添加菊粉)效果更优,可进一步提升 Muc2 表达和 BA 产量,肿瘤抑制率较传统生酮饮食提高 20%。
-
BA 单独处理可使胶质瘤小鼠生存期延长 50%,与生酮饮食联合使用时,生存期延长达 72%; -
与乙酰胆碱酯酶抑制剂等药物相比,BA 具有更高的血脑屏障穿透效率和更低的毒副作用; -
临床样本验证显示,生酮饮食干预后的胶质瘤患者,肠道 A. muciniphila 丰度和血清 BA 水平显著升高,且与肿瘤退缩程度正相关。
-
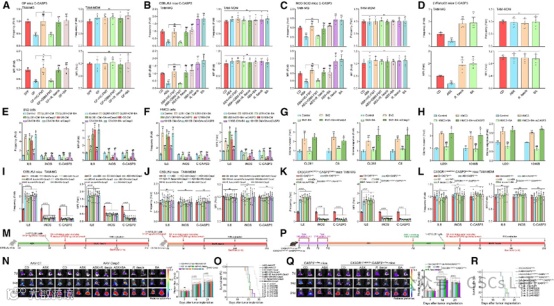
发现R. faecis 和 BA 是胶质瘤进展的关键调控因子,为临床诊断和预后提供了新标志物; -
揭示小胶质细胞caspase-3 是抑癌表型转化的核心开关,明确了 “菌群代谢物 - 免疫细胞” 的跨界调控通路; -
证实生酮饮食可通过重塑肠道菌群提升BA 水平,为胶质瘤治疗提供了无创、低成本的新策略。

