In recently years, AI and Intelligent medical science have become a hot topic in medical field and spreading across the whole society. The high-technologies including AI, robot, big data, deep learning, block chain, AR/VR, 3D Printing and so on, are integrating deeply with each part of Medical Field and are influencing and accelerating the reform and reconstruction of the whole industry.

As the global professional technology innovation displays platform of Health Care Field, CMEF will be held at National Exhibition and Convention Center (Shanghai) on May 14-17th, 2019. With the theme of Intelligent Reconstruction of the Future, this conference aims at using Intelligent Technology as core driving force, exploring new opportunities in medical field and opening future gate of health tech at the time of technology revolving and reconstructuring. In this conference, Konfoong Bio will join hands with Intel delivering a keynote speech-SOLVE: AI for Healthcare China at the forum of Intel® AI for Healthcare in CMEF 2019.

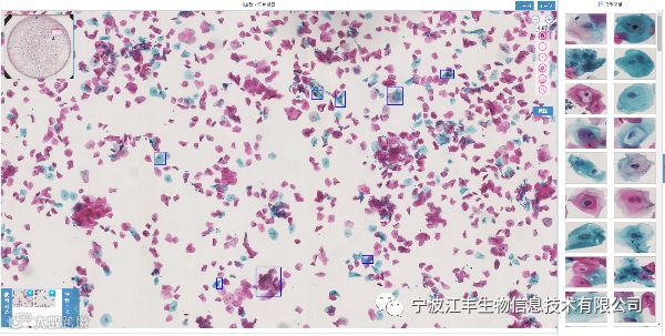
It is considered that 2017 ought to be the first year of AI application. Since then, pattern of “AI + Medical” is developing rapidly and draws more and more attention around the world. Through traditional cervical cancer screening, pathologists need to read the slides with 5000-10000 cells (cells need to be observed one by one) through microscope. One pathologist is restricted to reading only 100 slides per day.

Due to the fatigue and uneven level of pathologists, the perceived sensitivity is only 65% on average, which leads to false-negative and false-positive result.

(Cervical Cancer Liquid-based Cytology Auxiliary Screening System of Konfoong Bio)
As the leading enterprise in digital pathology, the Cervical Cancer Liquid-based Cytology Auxiliary Screening System, independently researched and developed by Konfoong Bio, can realize CTC cervical cytological screen examination and cervical cytological auxiliary diagnosis. The system can screen slides day and night and screening one slide by only 40s, it greatly promotes the efficiency of screening and the accuracy of cervical cell classification can be up to 99%.

At the forum of Intel® AI for Healthcare in CMEF 2019, Mr. Gui Kun, the vice-president of Konfoong Bio, will deliver a speech-Cervical Cancer Screening : Deep Learning Solution Base on the Framework of Intel Caffe. The speech will be delivered at Special Performance-Breakthrough: China Intelligent Healthcare- Innovation, at Room 204 form 16:30-16:50. We cordially invite you to attend this speech!
Konfoong Bioinformation Tech Co., Ltd. will participate in CMEF with a various of Independent-R&D equipment, and we sincerely welcome you to visit our booth (4.1*05).
Booth Information |
|
Meeting Information |
Time: May 15th, 2019(Wednesday) Location: National Exhibition and Convention Center (Shanghai) No. 333 Songze Avenue, Qingpu District, Shanghai (Gate 5 and 6 of Xujing East Station of Line 2)
|
Warm Tip
The sponsor regards May 14-15th as Pre-registration day, so the first two days of the exhibition are only open to pre-registered visitors who registered before 17:00 on May 13th, and the visitor pre-registration channel will close at 17:00 on May 13th.
To ensure the experience of the visitors, the visitors’ badge only allows 5 times’ entries and exits per day.
Pre-registration Web: http://t.cn/Eo0sbHt



