来源:CSP2017GYN
宫颈腺癌包括几个组织学亚型,最常见的亚型是人乳头状瘤病毒相关的普通型腺癌。正常子宫颈腺体上皮向深层内陷并伴有次级分支,可形成复杂“隧道样”结构,因此早期宫颈癌的判断以及精确测量深度存在很大的争议。而这些判读直接影响着临床处理。为了避免误诊、过度治疗,现有观点提出以组织形态学为基础,采用“浸润方式”取代“传统的浸润深度”对宫颈腺癌进行分类。Park和Roma着重这一新的分类方法进行了综述(KJ Park & AA. Roma. Pattern basedclassification of endocervical adenocarcinoma:a review. Pathology, 2018, 50(2):134–140)。下面为该文的主要内容编译,与大家分享。
2013年Silva教授领导的多中心研究提出了宫颈内膜腺癌的ABC三种浸润模式,随后,2016年Rutgers等人扩展了形态学具体描述。重要的是,这个系统只适用于普通型HPV相关的宫颈内膜腺癌,而不适用他亚型(如胃型,透明细胞型,中肾型等)。A型浸润方式表现为肿瘤界限清楚的腺体成群分布,可有腺腔内复杂的乳头或筛状结构,但无细胞离散,无脉管侵犯。肿瘤腺体轮廓圆钝、可“推挤”至深部间质,位于中等大小的血管附近。B型浸润方式是在A型基础上,肿瘤基底部间质出现单个细胞/小细胞簇,伴促纤维性/炎性反应,这种浸润灶可以单发、多发或呈线性分布,但累加起来不应该超过5mm。C型浸润方式指肿瘤弥漫性浸润伴促纤维性/炎性反应,腺体可成角/小管状/迷路状,且常出现不完整/破碎的腺体(类似子宫内膜样癌的MELF模式),可具有黏液湖,可见实性生长方式。浸润深度与A/B/C浸润方式无关;淋巴血管浸润只见于B型或C型。
为区分A型和B型,要对整个肿瘤进行检查,因为有些破坏性浸润灶可能小于1mm。不确定时,可深切制片、仔细观察。B型和C型浸润的区别取决于定量和定性特征。当肿瘤没有表现出明显的C型浸润特征时,需设定B型浸润的上限和C型浸润的下限。以≥5mm(4×视野)的破坏性浸润为界,并包括以下一个或多个特征者,归为C型浸润腺癌:腺体融合,乳头状生长,混有肿瘤细胞的黏液湖形成,或实性生长。
迄今为止,所有病例中A型浸润的宫颈腺癌均为FIGO I期,无论肿瘤大小或浸润深度,未见有淋巴结转移或复发的病例。相比之下,C型浸润的肿瘤常出现在II期或以上,伴有淋巴结转移(22.5%),并伴有复发(19.7%)和死亡。有趣的是,所有B型浸润肿瘤都局限于I期,少数有淋巴结转移的病例都有淋巴脉管浸润。这一分类系统在确定治疗方案和判断预后方面的潜力不言而喻。其他独立研究也报告了类似的结果,浸润模式与临床生物学行为有很好的相关性。
区分AIS与早期浸润性腺癌,一直是个难题,但在这个分类系统中得到了解决。如前所述,原位腺癌和浸润性腺癌之间的区别可能极具挑战性。事实上,大约20%的病例无法确定。Parra-Herran等人的一项研究显示,区分AIS和浸润性腺癌,观察者间一致性很低(kappa值0.37),而AIS与A型肿瘤的一致性最差。鉴于A型肿瘤良好预后,用于AIS的保守治疗(如:锥切伴阴性切缘)可能也适用于A型浸润癌。一些作者已经提出,在不能明确区分AIS与浸润性腺癌的情况下,可以使用“非破坏性宫颈腺癌”的术语。
这一分类系统的广泛应用取决于病理医生对宫颈腺癌诊断的一致性、准确性和可重复性。Paquette等对四名专业经验水平不同的妇科病理医生进行了观察者间差异性评估,发现kappa值从一般到近乎完美(0.24-0.84),大多数在A/B/C三类系统中属于中到高度一致范围。他们还分析了两类系统(模式A和模式B/C的组合)的kappa值,结果适中。
Parra-Herran等人报道,比较具有不同经验、专业知识和培训背景的九位病理医师的观察者间差异性,所有一致性中等(k=0.65);区分非破坏性(AIS和A型)与破坏性(B型和C型)癌也表现出良好的一致性(k=0.62)。分析切除前活检、锥切/LEEP标本和子宫切除术/宫颈切除术标本的浸润模式分类的一致性,比较切除(锥切/LEEP和根治性切除)标本中最浅表的2mm区域到整个肿瘤的模式,假设任何活检都是从最浅表的区域取样,那么活检与切除标本的浸润模式分类有极好的相关性(95.7%),锥切/LEEP标本与切除标本也有极好的相关性(92.8%)。然而,实际上最初活检标本和整个肿瘤切除标本之间存在显著差异性(37.5%)。有差异的病例,主要是活检没有取到切除标本中破坏性间质浸润。有一半的活检(8/16)呈非破坏性A型腺癌,只有2例在最终检查时仍为A型。在6例不符的情况下,尽管有复杂性腺体和外生型的乳头状生长,并没有满足破坏性浸润的定量标准 (>5毫米或超出一个4倍视野),因此被归类为A型。切除标本中,腺体融合和其他破坏性浸润明显。相比之下,活检中的C型与切除标本完全一致,因为术前已经满足确诊C型的最低标准。
迄今,在已有的研究报道中,基于浸润模式的肿瘤分类似乎相当一致,A型占12-21%,B型17-36%,C型43-71%。在Paquette和Parra-Herran的研究中,当比较非破坏性(A型)和破坏性(B型和C型)模式时,组间观察者的一致性最好。两级系统比A/B/C三级系统在组内和组间观察者均有更好的一致性。但即便是破坏性(B型和C型)浸润模式,患者预后也不尽相同,因此为了加强肿瘤分类系统的预后价值,有必要明确更多的预测生物学行为的特征。
众所周知,淋巴血管浸润有助于确定子宫颈癌的预后。在一项宫颈鳞癌和腺癌的研究中,淋巴血管侵犯的存在与死亡率密切相关,而肿瘤分级、浸润深度和肿瘤大小则没有影响。然而,最近的一项研究评估浸润方式C型肿瘤淋巴血管浸润的重要性,单因素分析,而不是多变量分析,显示:肿瘤大小、水平播散和淋巴结状态与预后显著相关,而浸润深度、淋巴血管侵犯与淋巴结受累结果与预后无关。但这项研究专门针对127例C型浸润肿瘤,可能导致结果的明显差异。大多数(88%)没有淋巴血管浸润或淋巴结受累的病例,均无瘤生存。同样比例(82%)的有淋巴血管浸润但淋巴结阴性的病例预后也很好,只有45%的患者出现淋巴结转移,且39%死于疾病。数据表明,淋巴结转移是C型浸润性肿瘤侵袭性行为的一个重要预测因子,根据淋巴血管侵犯和淋巴结状态将其分成亚组,可作为指导C型肿瘤患者治疗的辅助工具。另有研究根据不同的生长方式把189例C型浸润肿瘤进一步分为:弥漫性破坏性、融合、广泛的线性破坏性、带状淋巴细胞浸润、实性和微乳头。几乎一半(44%)的肿瘤包含混合形态,而生长方式单纯的肿瘤主要包括弥漫破坏性(17%)、广泛的线性破坏性(14%)和融合 (12%)。其他的生长方式只有不到5%。所有微乳头生长的肿瘤患者都有淋巴结转移,而广泛的线性破坏性生长则没有淋巴结转移。肿瘤呈弥漫性破坏性生长患者(44%)复发,而带状淋巴细胞浸润的肿瘤患者则无复发。

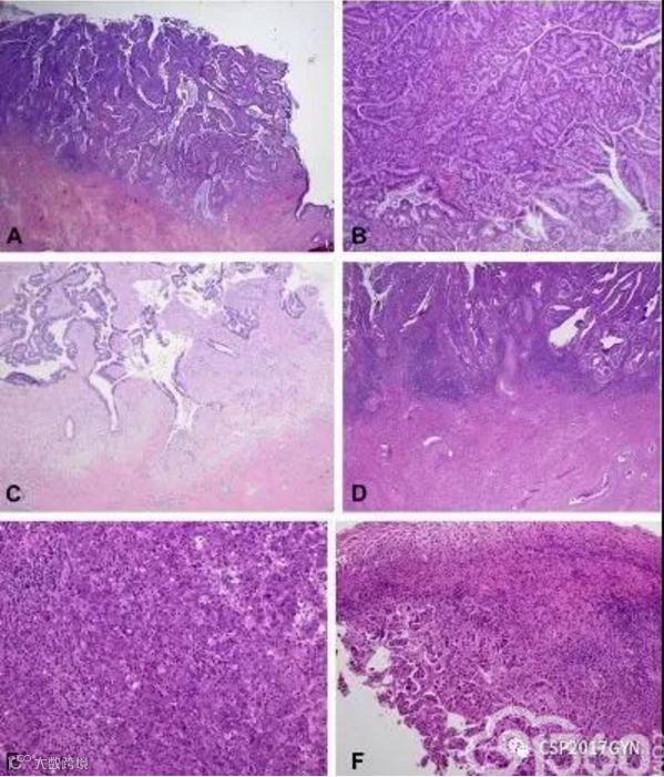
C型腺癌形态学亚型(A)弥漫性破坏;(B)融合性生长;(C)广泛线性破坏(>5 mm);(D)带状淋巴细胞浸润;(E)实性生长;(F)微乳头。
C型腺癌浸润深度能否为独立预后因素尚不清楚。Alvarado-Cabrero等研究显示,在189例C型病例中,浸润深度每增加1mm,死于疾病的风险就增加11%,而Roma等人报告,浸润深度与同一组患者(127名)的预后无关。这一差异表明,基于病例选择的局限性,尚难判断浸润深度的重要性,因此有待进一步研究。但这些研究均支持把C型浸润性癌分成亚组。若将此分类方法与FIGO分期结合,或许可对患者采取更恰当的治疗方式(避免过度治疗)并协助预测预后。
宫颈腺癌浸润的判断是个难题,这种以形态学为基础,用“浸润方式”来分类的文献报道不多,认识尚不充足。这篇综述认为对普通型宫颈腺癌进行分类的新方法已被证明可用于切除术(锥切/LEEP、子宫切除术、宫颈切除术)标本。活检标本不理想,活检显示非破坏性时,与实际情况有一定差别。有人建议组织活检发现破坏性侵犯时,可以根据淋巴血管侵犯、淋巴结状况对标准治疗方式进行进一步分类。相比之下,活检呈非破坏性浸润模式时,建议LEEP/锥切,以更好地确定真正的浸润模式。如果完全切除并证明为非破坏性浸润,患者无需进一步治疗,避免了根治性治疗的并发症。如果有破坏性浸润的成分,再行进一步手术。
声明:文献编译纯属学习交流,无任何商业目的。

