搜索
首页
大数快讯
大数活动
服务超市
文章专题
出海平台
流量密码
出海蓝图
产业赛道
物流仓储
跨境支付
选品策略
实操手册
报告
跨企查
百科
导航
知识体系
工具箱
更多
找货源
跨境招聘
DeepSeek
首页
>
涨姿势|CT、核磁、B超的区别,讲得太到位了!
>
0
0
涨姿势|CT、核磁、B超的区别,讲得太到位了!
迈迪思创
2016-10-17
2
导读:对于X线、CT、B超、核磁共振这些常用的影像学检查,很多人分不清楚。现在,我们把身体比作食物,告诉你这些检查如何发挥不同的作用。
点击蓝色字"迈迪思创" 轻松关注
对于X线、CT、B超、核磁共振这些常用的影像学检查,很多人分不清楚。现在,我们把身体比作食物,告诉你这些检查如何发挥不同的作用。
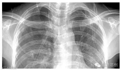
X光:像把面包压扁了看
X光会穿过人体,遇到被遮挡的部位,底片上不会曝光,洗片后这个部位就是白色的。
就像一片面包或一块棉花,看不到里面的纤维纹理,但用手压瘪了会清晰一些。X光最大缺点是受制于深浅组织的影像相互重叠和隐藏,有时需要多次多
角度
拍摄X光片。
CT:像把面包切片看
CT的检查原理是X光会分层穿过人体,之后通过电脑计算后二次成像,就像把一片面包切成片来看。优点是可以分层看,经计算后可以显示出更多的组织信息。
B超:像挑西瓜前敲一敲
B超的原理是用超声波穿透人体,当声波遇到人体组织时会产生反射波,通过计算反射波成像。就像挑西瓜一样,边敲边看显示病灶情况。
核磁共振:摇一摇再看
核磁共振机使用较强大的磁场,使人体中所有水分子磁场的磁力线方向一致,这时核磁共振机的磁场突然消失,身体中水分子的磁力线方向,突然恢复到原来随意排列的状态。简单说就相当于用手摇一摇,让水分子振动起来,再平静下来,感受一下里面的振动。所以,核磁共振(MRI)也被戏说为是摇摇看的检查。
四种影像方式分别应用于何种检查?
就诊时,医生常会开各种各样的影像学检查单:超声、CT、核磁……不少患者会质疑医生故意开高价检查单。其实,医生是依据不同病情选不同影像检查的。
1、外伤骨头——粗看X光片、细看CT
各种外伤,如果怀疑伤到了骨头,优先选择X光照片,检查结果快速易得。若要进一步观察,可以选择CT。超声、核磁对于骨皮髓质等看不大清,一般不选择。
2、颈椎腰椎——最佳选核磁、次选CT
颈椎病、腰椎间盘突出等椎间盘疾病需要观察椎间盘与相应的神经根,要想更好观察这些软组织,最优选择就是核磁。同样,对于关节、肌肉、脂肪组织检查,核磁也是首选。
3、胸部——粗看X光片,细看CT
X光胸片可粗略检查心脏、主动脉、肺、胸膜、肋骨等,可以检查有无肺纹理增多、肺部钙化点、主动脉结钙化等。
胸部CT检查显示出的结构更清晰,对胸部病变检出敏感性和显示病变的准确性均优于常规X光胸片,特别是对于早期肺癌确诊有决定性意义。但是,CT检查的辐射剂量高于X光。核磁对于肺部疾病的诊断,应用非常有限。
4、腹部盆腔——除肠道外,一般超声都能查
腹腔器官受呼吸影响较大,进而影响到CT、核磁成像,而超声不会因此受影响。同时,超声对肝脏、脾脏、胰腺、肾脏、盆腔脏器等诊断准确率较高。
但是,超声受气体干扰很大,对于肠道等含气较多的器官,超声诊断准确率会降低。
5、心脏——排除冠心病用CT,看心功能用超声
常规的心脏结构与功能检查,心脏彩超所提供的信息已经较为充分,又简单易行。
用CT可检查冠状动脉,但冠脉CT检查辐射量较大,不适合作为常规体检。核磁虽无电磁辐射,但对冠状动脉的观察不及CT。心脏核磁则是评价心脏结构和功能的“金标准”。
联系方式
电话:400-161-8881
传真:010-87383819
网址:www.medicalstrong.com
地址:
北京
市
朝阳
区弘燕南一路富华弘燕大厦8030
微信号:迈迪思创
ID:medicalstrong
【声明】内容源于网络
0
0
迈迪思创
迈迪思创是医疗器械、体外诊断试剂法规咨询综合服务提供商(CRO+CDMO),可以为全球医疗器械客户提供注册检测、临床试验研究、临床评价、质量管理体系、委托研发、技术成果转化、样品与商业委托生产等中国NMPA上市前的一站式解决方案。
内容
2127
粉丝
0
关注
在线咨询
迈迪思创
迈迪思创是医疗器械、体外诊断试剂法规咨询综合服务提供商(CRO+CDMO),可以为全球医疗器械客户提供注册检测、临床试验研究、临床评价、质量管理体系、委托研发、技术成果转化、样品与商业委托生产等中国NMPA上市前的一站式解决方案。
总阅读
300
粉丝
0
内容
2.1k
在线咨询
关注