
世界卫生组织指出,心血管疾病CVD是全球的头号死因:每年死于心血管疾病的人数多于其它任何病因。四分之三以上的心血管疾病死亡发生在低收入和中等收入国家。从1990年到2017年,中国缺血性心脏病粗死亡率(未标化年龄)上升了155.4%,年龄标化死亡率上升了20.6%。因此,高质量的临床前期研究和临床研究,对于制定心血管疾病CVD的预防和治疗策略至关重要。
随着多层螺旋CT技术的发展,特别是64MSCT和冠脉图像后处理技术的出现,实现了冠心病的快速无创性检查,并担负起了治疗前后的临床诊断、科学研究和病变随访等重要角色。


20年来,CREALIFE(北京思创贯宇科技开发有限公司)凭借医疗影像领域扎实的技术积淀,形成了完整的Anythink心脏影像解决方案系列。其高端影像后处理功能包括冠脉分析、冠脉钙化积分分析、心功能分析、TAVR分析等模块,辅助医生实现对心血管疾病从预防筛查、诊断、术前评估,到治疗后复查的一站式解决方案。

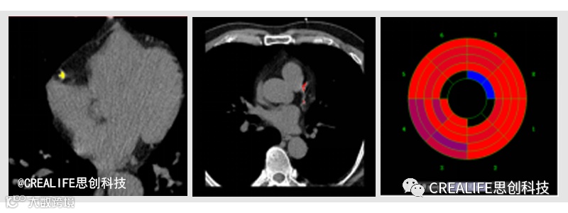
近年来,冠脉周围脂肪成像FAI技术引起心血管领域广大学者的关注,并成为研究热点。它是利用冠状动脉发炎后释放到血管周围脂肪组织的信号来抑制局部脂肪的形成,从而改变发炎的动脉血管周围脂肪成分,最终改变脂质对冠状动脉CTA衰减值的原理来实现。
为了更好地为临床医生赋能,实现临床和科研的进一步优化升级,思创科技再一次挑战智能冠脉周围脂肪分析(FAI)技术。此功能通过一键式智能操作,全方位展示血管周围脂肪分布情况,并且可对冠脉周围脂肪进行定量测量,自动分析计算得出脂肪分布衰减曲线、血管周围脂肪体积、曲线下面积等多项精准参数,从而指导临床早期识别并预防冠脉风险性疾病以及个性化药物治疗,最终实现提高心血管疾病患者救治率的目标。
ANYTHINK CT 冠脉周围脂肪成像技术,可有效赋能临床风险性疾病预测与学术界前瞻性科学研究,从而帮助科室在临床和科研两方面实现并行发展,占领医疗科技的制高点。
思创科技,以实际行动践行“全球领先 源自中国”的使命!


