

在提升手术质量的征途上
每一步前进都离不开标准化的规范
为持续推动中国瓣膜病治疗水平的发展,以绵薄之力助推心脏瓣膜介入技术标准化的进程,思创小伙伴们再度集结。这一次,随瓣膜培训中心来到郑州,在中原瑰宝荟萃之地与业界诸位大咖聚首,共同见证河南省心脏瓣膜病介入中心联盟的成立,并全力配合支持TAVR手术技术的标准化推广。
凭借Anythink 在术前分析上的绝对性优势,思创团队结合真实病例,带领现场百余名学员进行实操演练,在中原大地共同探索更加高效精准的瓣膜介入诊疗标准。
中原会师
共谱瓣膜介入标准化新篇章
中原会师,高手云集。本次培训课程阵容豪华,汇聚国内诸位顶尖专家,引入多个复杂、真实病例分享,课程内容更加丰富多样。
看 现场精彩传书👇
左滑 更多现场精彩内容
复旦大学附属中山医院周达新教授在以全国瓣膜中心建设情况&TAVR历史和现状为主题的报告中,与大家一起回顾了TAVR发展的历程;河南省胸科医院杨鹏伟教授以丰富的临床经验分享了如何做好一台经导管主动脉瓣置换手术;阜外华中心血管病医院刘煜昊教授进一步解读了中国复杂二叶瓣患者挑战和应对策略;河南省胸科医院王磊主任更在会中同思创团队一起引领现场学员共同使用Anythink TAVR分析软件进行分步有序的操作实践。
值得一提的是,复旦大学附属中山医院葛均波院士、 浙江大学医学院附属第二医院王建安院士等诸位重量级人物均共同参与,与河南省胸科医院党委书记袁义强,院长杨继峰、王平凡等各位领导一起主持了河南省介入工作委员会的成立,让瓣膜介入诊疗标准在中原大地谱写新篇章。
术前分析
Anythink TAVR得青睐
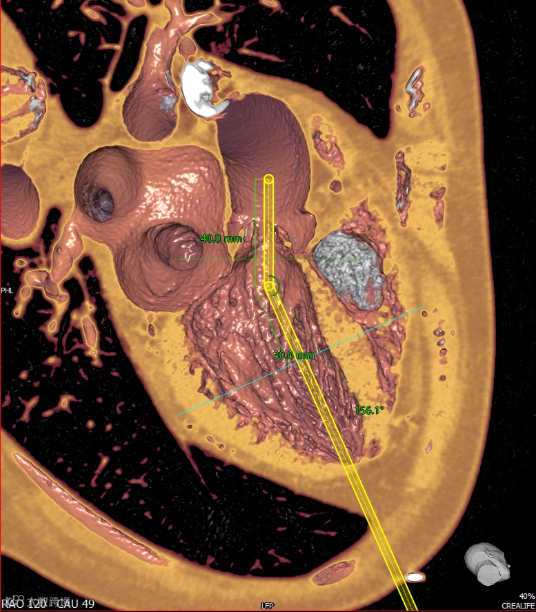
会上,来自复旦大学附属中山医院的陈莎莎教授从多个精彩病例入手,对TAVR CT分析的关键步骤从入路评估、球囊扩张角度、跨瓣角度、瓣膜选择和释放角度到基于术前CT评估的手术策略呈上精彩讲解,并同步展示了思创Anythink TAVR软件在影像表现上如何辅助临床寻找最佳投射角度的精准。
事实上,莎莎老师在日常工作中早已对Anythink TAVR的使用得心应手,并曾真诚分享过自己喜欢使用该系统的原因。
陈莎莎
复旦大学附属中山医院心内科,医学博士
同济大学、德国图宾根大学医学院联合培养博士
主要从事结构性心脏病,包括心脏瓣膜病、先天性心脏病和肺动脉高压的介入诊疗
思创Anythink TAVR 软件几近秒级三维渲染重建,可自动确认冠窦方位,显示与术中匹配的DSA角度,迅速找到三维释放角度
它的智能化计算方式可以自动确认瓣环手术所有数据,有效节省工作量;MPR等多种图像重建联动显示也可以辅助医生更便捷地找到冠脉开口高度,提示冠脉风险
对于TAVR手术初学者而言,Anythink TAVR软件可以全流程自动完成术前所有手术数据测量,且不必担心忘记测量值,能够精准给出术前方案规划
互通互联
从结构心到介入全景
拥有国内首家自主知识产权的思创结构性心脏病分析系统不仅涵盖TAVR、LAAO、TMVR、EVAR、TEVAR等手术的全流程影像解决方案,更是思创团队专为介入学科打造,助推临床数智化介入中心建设的整体解决方案环节之一。它可与思创心脏及血管介入学科数字全景工作平台(CV-NET)互联互通,实现标准化数据及影像管理,将术前、术中以及术后的影像与临床数据进行标准化结构化整合,并传输至CV-NET平台,形成完整的智能介入中心临床解决方案,辅助医生进行真实世界数据分析,让标准化数据互通互联,结构化病例赋能科研,从而真正全面优化运营流程,完善临床决策支持,提升手术效率和救治成功率。

河南省卫生健康委员会副主任路修德在会上表示:作为人口大省,河南省对于完善以心血管疾病为重点的重大疾病诊治流程,提高诊疗标准化发展对于民生问题意义重大。
为让瓣膜病诊疗标准能如生根河南一般在全国各地开花,思创团队的小伙伴们已再次整装待发,初心不改,行而不辍,正朝着下一站,出发!



