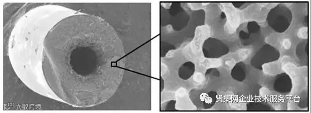
2019年11月18日,日本东丽公司宣布:该公司已经创造出世界上第一种具有纳米级连续孔结构的多孔碳纤维。东丽公司将其出色的聚合物技术、碳纤维技术以及水处理技术和其他分离膜技术相结合,创造出了连续孔结构的多孔碳纤维。


她,被称为贵族材料!价格不菲,一寸千金,她就是材料界的“黑马”碳纤维。碳纤维兼具碳材料强抗拉力和纤维柔软可加工性两大特征,碳纤维是一种的力学性能优异的新材料。
关于碳纤维的起源最早可追溯到19世纪60年代。1860年,英国人斯旺将细长的绳状纸片制取碳丝,并将其作为灯丝制造白炽灯,但使用寿命不长。后来斯旺将其专利卖给了美国发明家爱迪生,爱迪生通过改进,用纤维素纺丝后制成碳丝作为灯丝,制成了实用化的白炽灯,并在世界范围内推广,这是人类历史上首次使用碳纤维丝。

早期的碳纤维没有结构强度、易碎、实用性差,1910年,爱迪生使用钨丝代替碳丝作为发光材料,使得白炽灯的使用寿命进一步延长。从此,人类历史上首次商业化使用碳纤维的历程暂时终止了,但是人们发现碳纤维密度小、强度高、耐氧化等特点是以往的材料所不能比拟的,因此人们不断探索碳纤维的新用途,并用各种方法来制造碳纤维,然而,这些努力都未能把碳纤维性能提高到令人满意的程度,所以一直没有实用。
21世纪其复合材料主要是以碳纤维为增强材料,以树脂,金属、陶瓷等作为基体材料,经过复合制成的结构或功能材料。碳纤维由聚丙烯腈(PAN)(或沥青、粘胶)等有机母体纤维采用高温分解法在1000摄氏度以上高温的惰性气体下碳化(其结果是去除除碳以外绝大多数元素)制成的,是一种含碳量在95%以上的无机高分子纤维。


碳纤维 CFRP 的强度要明显高于玻璃纤维 GFRP
碳纤维具有更高的强度,更轻的重量,所以说碳纤维可以称为新材料之王。正因为这种优点,碳纤维增强复合材料(CFRP)在加工过程中,基体和纤维存在较为复杂的内部相互作用,使其物理特性与金属有较大区别,CFRP密度远小于金属,而强度大于绝大部分金属。
因为 CFRP 的不均匀性,在加工过程中往往会出现纤维拉出或基质纤维的脱离;CFRP 具有较高的耐热性和耐磨性,使其在加工过程中对设备的要求较高,因此生产过程中产生大量切削热对设备磨损较为严重。
现在由于碳纤维的应用领域不断扩展,要求也越来越细腻,对材料适用性做出要求,对CFRP 的质量要求也越来越苛刻,也致使加工成本上浮。
现阶段存在的关键技术难题
所有的复合材料包括炭纤维都有一个致命弱点----没有一套标准的强度计算公式,各向异性严重。
碳纤维复合材料应用壁垒重重,作为先进复合材料中的一种,它无法像传统金属材料那样被单一、整体性地利用(这也是其优势所在),它必须根据实际应用需求不断调整复合材料的组成与比例,在制品的制造和成型过程中,细节化的技术参数也对成品的各项性能产生重要影响。在碳纤维复合材料的各项性能中,耐高温性可谓是世界性的难题。但是,它并非无法逾越。

碳纤维的制作
碳纤维板在固化成型后,为了精度要求或装配需要,还要进行切削、钻孔等后加工。在切削工艺参数、切割深度等相同条件下,选择不同材料、尺寸、形状的刀具和钻头,效果上有很大差异,与此同时,刀具和钻头的力度、方向、时间和温度等因素也会影响到加工的结果。
后加工过程中,尽量选择带金刚石涂层的锋利刀具和整体硬质合金的钻头,刀具和钻头本身的耐磨性决定了加工的质量和工具的使用寿命。如果刀具和钻头不够锋利或者使用不当,不仅会加速磨损,提高产品的加工成本,更会造成板材损伤,影响板材的形状、尺寸以及板材上孔、槽等加工部位尺寸的稳定性,严重时会造成材料出现层状撕裂,甚至是块状崩落,导致整块板材的报废。
在对碳纤维板材进行钻孔时,转速越快效果越好。钻头的选择上,PCD8面刃钻头独特的钻尖设计较适合碳纤维板材,能更好地穿透碳纤维板材,降低分层的风险性。
对较厚的碳纤维板材进行切割时,建议采用左、右螺旋刃设计的双刃压迫式铣刀,这种锋利的切削刃同时具有上切和下切的螺旋梢,切削时平衡刀具上下轴向力,确保将切削力合力指向材料的内侧,以获得稳定的切削条件,可抑制材料分层现象的产生。“菠萝刃”镂铣刀的上切、下切菱型刃设计也能有效切断碳纤维板材,其较深的排屑槽在切削加工过程中能够通过切屑的排出带走大量的切削热,避免损伤碳纤维板材的性能。(来源:直观机械学)
搞碳纤维离不开纺织科技,可是国人在近二十年里对纺织科技和产业的误解和轻视却是极其严重的,因为很多人都认为纺织是夕阳行业,却不理解任何产业都有高端和低端之分。反观碳纤维技术,我们和日、美的差距巨大,这已严重制约了国家在航空、航天、国防、汽车和其他众多工业领域的发展。
由于碳纤维及其复合材料优异的综合性能及高附加值,是适应宇航、航空、原子能等尖端工业发展的需要而研制开发的一种新材料。碳纤维及碳纤维复合材料已在军事及民用工业的各个领域取得广泛应用,从航天、航空、汽车、电子、机械、化工、轻纺等民用工业到运动器材和休闲用品等。
碳纤维的回收利用
关于回收和环保的问题,国内已经有复合材料用的可降解树脂,就是预浸布中的浸料,可回收后通过降解处理,重新利用纤维制作强度和刚性要求不是特别高的配件。但是由于碳纤维的特性,填埋一百年都不能降解,需要接近太阳的温度才能火花。
碳纤维回收技术分为机械法、化学法以及热解法三大类。目前这个全世界的研究还是很广泛的,回收推进工作也是近几年的热点。
碳纤维的缺点
碳纤维材料有一大缺点就是其可塑性差,发生碰撞后就无法修复。另外碳纤维复合材料的基体树脂的耐久性不如金属材料,时间久了就会出现发脆,变色等现象。复合材料透明性差,难以进行内部检查。碳纤维材料对人力成本的需求大,加工生产效率不高,加工时需要进行复杂的应力计算。
工业级碳纤维的价格
目前工业级碳纤维价格一般为10-25美元/kg,以用于汽车工业的50k大丝束碳纤维落地价为例(图2),不同国家生产成本不同,主要原材料和设备成本基本不变,能源、劳动力和其他成本成为影响产品价格差异的关键因素,总体而言,目前汽车行业用工业级碳纤维成本从大约15-17美元/公斤。

