1、成果简介
传统不锈钢氧化皮酸洗主要采用混合酸(如HF+HNO3)长时间浸泡方式,尽管酸洗成本低,但NOx化合物酸雾污染极大、不锈钢酸洗损失率较高,同时废酸处理极为麻烦。
项目开发的新型低损、环保、无酸清洗工艺,不含硝酸、氢氟酸等物质,可在室温下于30-60min内完成线材、管材的清洗工作,表面光洁,无过酸、欠酸现象。整个酸洗过程无任何污染物排放,废水处理也更为简便。
2、成熟程度和所需建设条件
本项目已完成厂内试验,结果表明清洗效果与传统酸洗工艺无区别,所开发的新型低损、环保无酸清洗工艺,可在现有酸洗工序上实现,无需任何改扩建。


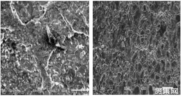
处理前后效果对比
3、技术指标
常温下,可在30~60min内完成管材、线材整体酸洗(下图),钢损失率为 0.6~0.9%,远低于混合酸洗的2~3%。

不锈钢氧化皮无酸清洗前后电镜图
4、社会经济效益分析
尽管水洗工艺成本较传统混合酸洗高50~100元/t,但传统不锈钢酸洗损失率达到2~3%,每酸洗不锈钢将损失300元/t左右。因此新工艺相比现有混合酸洗工艺而言,实际增加收益100元/t。按企业不锈钢5万吨/年计,则应用新工艺后可带来超过500万元/年的效益。
此外混合酸洗工艺中产生大量有毒、有害的NOx化合物酸雾,对环境造成极大地影响,并严重损害工人的身心健康;而硝酸、氢氟酸均属于有毒、有害、强腐蚀性物质,其运输、存储、使用均存在严重安全隐患。新水洗液和无酸清洗工艺则完全避免了上述问题,因而社会经济效益显著。
5、合作方式
合作开发、受托开发。
点击阅读原文,查看项目更多信息。
更多技术成果,请关注微信公众号:贤集网企业技术服务平台

