COVER STORY: Presbycusis is a progressive and irreversible hearing impairment caused by cochlear aging. The risk of developing presbycusis increases rapidly after the age of 40. In this issue, Sun et al. (page number 180–201) established a comprehensive singlecell transcriptomic atlas of mouse cochlear aging at high temporal resolution. In the cover image, the snails in a running race represent the cochleas at different ages, because the shape and structure of the snail shell are similar to those of the cochlea. Plaques on the shell of the failing snail indicate damages to the cochlea due to aging, while the winning snail has HSP90AA1 on its shell, suggesting that activation of HSP90AA1 can alleviate ER stress-induced damages with age. Artwork by Yizhu Wang.
Recollection
Fan-lan Tai: a pioneer of plant pathology and mycology in China
Yejing Ge
Commentary
Determiners of cell fates: the tricarboxylic acid cycle versus the citrate-malate shuttle
Dong Guo, Haiyan He, Ying Meng, Shudi Luo, Zhimin Lu
Review
The engagement of histone lysine methyltransferases with nucleosomes: structural basis, regulatory mechanisms, and therapeutic implications
Yanjing Li, Kexue Ge, Tingting Li, Run Cai, Yong Chen
Research Articles
Single-cell transcriptomic atlas of mouse cochlear aging
Guoqiang Sun, Yandong Zheng, Xiaolong Fu, Weiqi Zhang, Jie Ren, Shuai Ma, Shuhui Sun, Xiaojuan He, Qiaoran Wang, Zhejun Ji, Fang Cheng, Kaowen Yan, Ziyi Liu, Juan Carlos Izpisua Belmonte, Jing Qu, Si Wang, Renjie Chai, Guang-Hui Liu
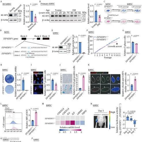
4E-BP1 counteracts human mesenchymal stem cell senescence via maintaining mitochondrial homeostasis
Yifang He, Qianzhao Ji, Zeming Wu, Yusheng Cai, Jian Yin, Yiyuan Zhang, Sheng Zhang, Xiaoqian Liu, Weiqi Zhang, Guang-Hui Liu, Si Wang, Moshi Song, Jing Qu
Letters
Gαi1/3 mediation of Akt-mTOR activation is important for RSPO3-induced angiogenesis
Gang Xu, Li-na Qi, Mei-qing Zhang, Xue-yun Li, Jin-long Chai, Zhi-qing Zhang, Xia Chen, Qian Wang, Ke-ran Li, Cong Cao
YME1L overexpression exerts pro-tumorigenic activity in glioma by promoting Gαi1 expression and Akt activation
Fang Liu, Gang Chen, Li-Na Zhou, Yin Wang, Zhi-qing Zhang, Xihu Qin, Cong Cao
Suppression of USP8 sensitizes cells to ferroptosis via SQSTM1/p62-mediated ferritinophagy
Lihong Liu, Birong Zheng, Manhui Luo, Jie Du, Fang Yang, Chuanxin Huang, Zengyi Ma, Chunmei Li, Deyin Guo, Hong Peng

