COVER STORY:RNA binding protein LIN28A is mainly localized in the nucleolus in early embryo development, and it can reside in a complex containing NCL and TRIM28 to repress Dux and promote rRNA expression. Meanwhile, LIN28 binds to small nucleolar RNAs and rRNA to maintain nucleolar integrity, and its loss leads to ribosomal stress and activation of p53 which in turn binds to and activates 2C transcription factor Dux. LIN28 is a crucial factor to bridge two adjacent processes after ZGA: on one hand, LIN28 shuts down the 2-cell/4-cell program, and on the other hand, LIN28 promotes a pro-proliferation and anabolic program and a shift away from the 2C-like state with a metabolically inactive and translationally inert program.
Recollection
Chia Chi Wang and his research on Protozoology
Ting Shi, Lei Fu
Review
Therapeutic cell engineering: designing programmable synthetic genetic circuits in mammalian cells
Maysam Mansouri, Martin Fussenegger
Research Articles
LIN28 coordinately promotes nucleolar/ribosomal functions and represses the 2C-like transcriptional program in pluripotent stem cells
Zhen Sun, Hua Yu, Jing Zhao, Tianyu Tan, Hongru Pan, Yuqing Zhu, Lang Chen, Cheng Zhang, Li Zhang, Anhua Lei, Yuyan Xu, Xianju Bi, Xin Huang, Bo Gao, Longfei Wang, Cristina Correia, Ming Chen, Qiming Sun, Yu Feng, Li Shen, Hao Wu, Jianlong Wang, Xiaohua Shen, George Q. Daley, Hu Li, Jin Zhang
Genomic and transcriptomic analysis unveils population evolution and development of pesticide resistance in fall armyworm Spodoptera frugiperda
Furong Gui, Tianming Lan, Yue Zhao, Wei Guo, Yang Dong, Dongming Fang, Huan Liu, Haimeng Li, Hongli Wang, Ruoshi Hao, Xiaofang Cheng, Yahong Li, Pengcheng Yang, Sunil Kumar Sahu, Yaping Chen, Le Cheng, Shuqi He, Ping Liu, Guangyi Fan, Haorong Lu, Guohai Hu, Wei Dong, Bin Chen, Yuan Jiang, Yongwei Zhang, Hanhong Xu, Fei Lin, Bernard Slippers, Alisa Postma, Matthew Jackson, Birhan Addisie Abate, Kassahun Tesfaye, Aschalew Lemma Demie, Meseret Destaw Bayeleygne, Dawit Tesfaye Degefu, Feng Chen, Paul K. Kuria, Zachary M. Kinyua, Tong-Xian Liu, Huanming Yang, Fangneng Huang, Xin Liu, Jun Sheng, Le Kang
Letters
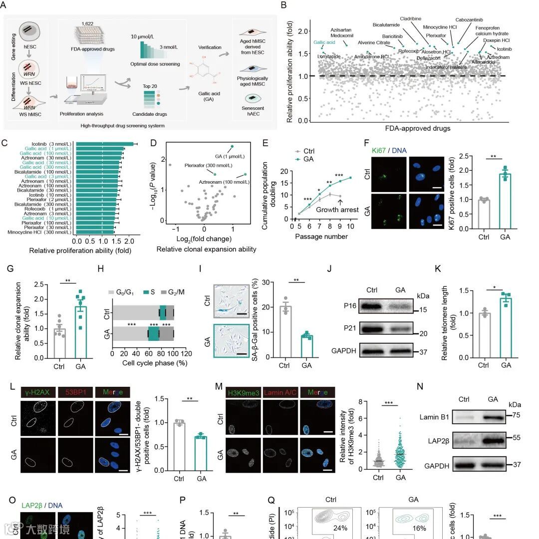
Large-scale chemical screen identifies Gallic acid as a geroprotector for human stem cells
Hezhen Shan, Lingling Geng, Xiaoyu Jiang, Moshi Song, Jianxun Wang, Zunpeng Liu, Xiao Zhuo, Zeming Wu, Jianli Hu, Zhejun Ji, Si Wang, Piu Chan, Jing Qu, Weiqi Zhang, Guang-Hui Liu
Single-cell RNA sequencing reveals B cell-T cell interactions in vascular adventitia of hyperhomocysteinemia-accelerated atherosclerosis
Xiaolong Ma, Jiacheng Deng, Lulu Han, Yuwei Song, Yutong Miao, Xing Du, Guohui Dang, Dongmin Yang, Bitao Zhong, Changtao Jiang, Wei Kong, Qingbo Xu, Juan Feng, Xian Wang
Contat us: protein_cell@biols.ac.cn
Scan and Follow Us

