
Cover story:Under normal conditions, cells are in homeostasis. Upon the loss of integrin mediated cell-matrix contact, the structure of the focal adhesion complex, including 4.1N, is destroyed, exposing the FERM domain of 4.1N and accelerating the degradation of 14-3-3 through binding with the FERM domain. Functionally, this decrease in 14-3-3 accumulation promotes anoikis and reduces EMT. On the other hand, the loss of 4.1N activates ROCK signaling and leads entosis induced cell-death resistance. EMT enables cancer cells to acquire a migratory and invasive phenotype and allows them to leave the primary tumor; cell death resistance enables the survival of adherent cells in suspension; cancer cells adhere and proliferate in the new environment; the secondary tumor site can be formed.
“To live a meaningful life, be yourself and make yourself”: Haoyan Jen—a pioneer of China's environmental microbiology
Pan-coronavirus fusion inhibitors as the hope for today and tomorrow
Xinling Wang, Shuai Xia, Yun Zhu, Lu Lu, Shibo Jiang
Role of glycosylation in TGF-β signaling and epithelial-to-mesenchymal transition in cancer
Jing Zhang, Peter ten Dijke, Manfred Wuhrer, Tao Zhang

Loss of 4.1N in epithelial ovarian cancer results in EMT and matrix-detached cell death resistance
Dandan Wang, Letian Zhang, Ajin Hu, Yuxiang Wang, Yan Liu, Jing Yang, Ningning Du, Xiuli An, Congying Wu, Congrong Liu

Metformin inhibits pancreatic cancer metastasis caused by SMAD4 deficiency and consequent HNF4G upregulation
Chengcheng Wang, Taiping Zhang, Quan Liao, Menghua Dai, Junchao Guo, Xinyu Yang, Wen Tan, Dongxin Lin, Chen Wu, Yupei Zhao

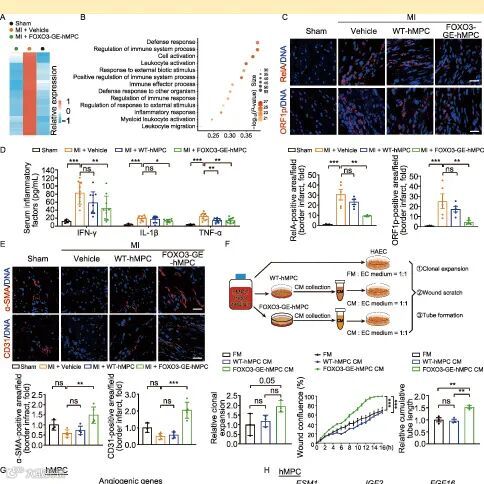
FOXO3-engineered human mesenchymal progenitor cells efficiently promote cardiac repair after myocardial infarction
Jinghui Lei, Si Wang, Wang Kang, Qun Chu, Zunpeng Liu, Liang Sun, Yun Ji, Concepcion Rodriguez Esteban, Yan Yao, Juan Carlos Izpisua Belmonte, Piu Chan, Guang-Hui Liu, Weiqi Zhang, Moshi Song, Jing Qu

Single-cell transcriptomics of cardiac progenitors reveals functional subpopulations and their cooperative crosstalk in cardiac repair
Lei Gao, Hongjie Zhang, Jingyi Cui, Lijuan Pei, Shiqi Huang, Yaning Mao, Zhongmin Liu, Ke Wei, Hongming Zhu


Contat us: protein_cell@biols.ac.cn