患者,男,84岁,因“胸闷、活动后气喘3周”入院。既往史:高血压、心衰、房颤病史数十年,最高血压150/90mmHg;痛风病史数年;4年前行腰椎间盘突出手术;否认肝炎、结核病史;否认吸烟、饮酒史;否认药物食物过敏史;否认输血史、外伤史。体检:T36.5℃,P82bpm,R18bpm,Bp140/80mmHg。
CT:无特殊(继发性肺结核、肺气肿、肺大疱、心脏增大、主动脉及冠状动脉硬化、肝囊肿、胆囊结石、胆囊炎、腰椎固定术后改变)
血常规:血红蛋白97.1g/l(↓),红细胞3.17×109(↓)
肝肾功能电解质:肌酐112.3umol/l(↑),尿酸302umol/l(正常), NT-proBNP:1390pg/ml(正常)
心电图:心房颤动
患者胸前声窗差,未见结构明显异常。房颤拟行射频消融治疗,术前常规观察行经食道超声(TEE)排除左心耳血栓。
TEE图像如下:
图1:TEE示左心耳内未见异常光团回声
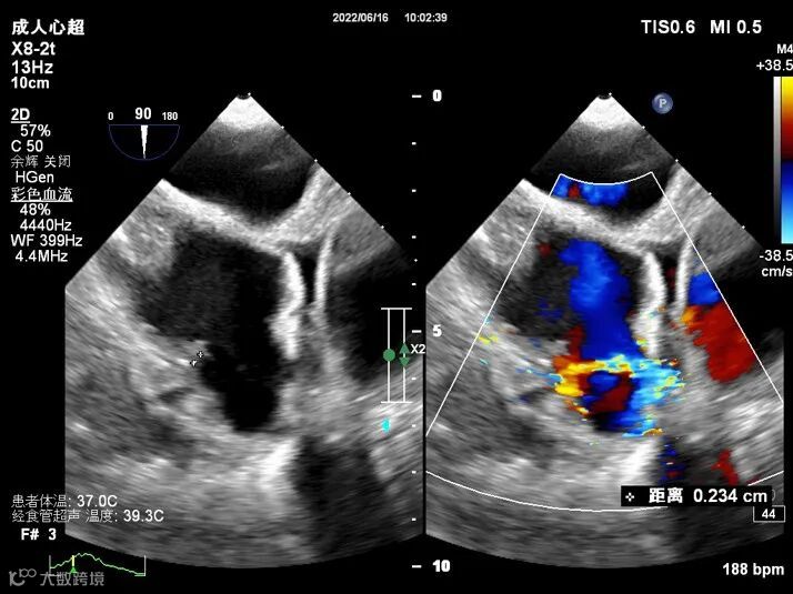
图2:CDFI示左心耳内可见湍流血流信号
因此寻找异常血流信号的来源与方向,以及原因
图3:稍调整探头后可显示异常血流信号为连续性,起自左心耳内侧壁达外侧壁后折返
图4:显示血流自冠状动脉瘘入左心耳处

图5-1图5-2:二维显示回旋支内径增宽(短轴及长轴),较宽处内径约0.5cm,未见瘤样扩张,管腔内未见异常回声。

图6:显示回旋支与左心耳之间可见一瘘口,宽约0.2cm。
超声提示:
左冠状动脉-左心耳瘘(回旋支)
冠状动脉瘘(CoronaryArtery Fistulas,CAF)为左、右冠脉主干或分支与心腔、大血管或其他血管之间存在异常交通,是罕见的冠状动脉异常,发病率约0.1%-0.2%,通常是在冠状动脉造影或无创心脏检查时偶然诊断。大多数CAF是先天性的,但也可在心内装置植入、心脏手术、心肌活检、胸部外伤后出现。大多数患者瘘管为单一的,20%的患者有起自2个或更多冠状动脉的瘘管。
胚胎发育初期窦状间隙与心腔和心外膜血管相通,心脏供血靠心肌中的窦状间隙。随着心肌发育生长将窦状间隙逐渐压缩为细小通道,成为心肌内冠状动脉及毛细血管网,若发育障碍,窦状间隙未退化而持续存在,则形成冠状动脉

图7:瘘管起源:右冠(52%);引流部位:主要为右心系统,其中PA:28%,RV:27%,RA:22%;LA:5%-6%,在CAF中较罕见(尽管一些文献中统计右室多见,可能与瘘入肺动脉常被漏诊有关)
冠状动脉扩张、增粗或扭曲,或形成冠状动脉瘤
因瘘管粗细、引流部位及合并畸形而不同。多数情况下分流量小,多无影响。瘘口大、注入心腔压力低(如右心系统),则分流量大,可产生明显血流动力学改变。(1)心肌缺血:冠状动脉瘘尤其是主干瘘,长时间的冠状动脉血液分流且血流不经过心肌毛细血管而直接进入心脏,使远端冠状动脉血流量锐减,可引起“窃血现象”,重者可产生心肌缺血的症状或心电图改变。(2)加重循环系统工作负荷:由于瘘道的分流可增加左、右心负荷,导致心腔扩大和心肌肥厚及肺动脉高压。(3)瘘引起近端冠状动脉血流增加,损伤内膜,诱发动脉粥样硬化、瘤样扩张、感染性心内膜炎等病理改变。(4)扩张迂曲的冠状动脉还易形成附壁血栓、瘘管破裂等。这些改变会随着患者年龄的增长而逐渐加重。
冠状动脉瘘有多种分类。不同形式的分类通常考虑以下变量:起源血管、起源段(SakakibaraA 型与SakakibaraB 型)、终止部位(冠状动脉血管瘘与冠状动脉心腔瘘)、瘘管形态(简单与复杂瘘管)、瘘管数量(单个与多个)等。SakakibaraA 型描述了起源于原生血管近端三分之一的瘘管,而SakakibaraB型描述了起源超过近端三分之一或原生血管延续的瘘管。具有近端瘘管的动脉倾向于扩张;具有远端瘘管的动脉通常更曲折,因此提高了导管治疗的难度。终止于诸如冠状窦(CS)、肺动脉(PA)、肺静脉(PV)、支气管血管、腔静脉或其他静脉的大血管的瘘管称为冠状动脉血管瘘。如果它终止于四个心腔之一,则它被称为冠状动脉心腔瘘。瘘管的形态对其分类至关重要。如果瘘管起源于单个血管并具有单个末端,则为简单的。复杂瘘管的特点是丛状变异。将不供给瘘管的冠状动脉最大直径作为参考直径,瘘管直径分别为参考直径<1、1至2或>2倍,CAF可分为小型、中型或大型,小型CAF可能会自发关闭随着时间的推移,而较大的CAF可能需要外科手术或介入手术闭合。
在解剖上,Ogden等人根据其引流入心房的路径,将其分为三型:I型、II型、III型,冠状动脉瘘走行错综复杂,此分型可帮助我们理解其的走行。I型(图8):路径最短,冠脉发出后即与心房相连接。II型(图9):路径较长,瘘管走行于二尖瓣、三尖瓣之间,在远端瘘入心房。III型(图10):路径较长,瘘管于房室瓣外侧绕行,在远端瘘入心房。



以上为图8-10
临床症状:75%是临床无症状的。婴儿可有烦躁不安、出汗等,成人一般有活动后心悸、憋喘、胸闷、胸痛等症状。
体征:不同类型的冠状动脉瘘患者体征不同。多数冠状动脉瘘患者可在心前区听到连续性杂音,并伴局部震颤或收缩期和舒张期双期杂音(类似动脉导管未闭)。
超声表现:
1、因血流量增加瘘的一侧冠状动脉扩张。
2、彩色多普勒显示瘘入的心腔或肺动脉内有异常血流信号。
3、瘘管较大时,容量负荷增加,相对应的心腔扩大。
5、部分患者可出现冠状动脉瘤。
6、瘘入左室的分流仅见于舒张期,表现为舒张期湍流频谱。瘘入其他部位的分流可取得连续性频谱;
观察要点:
1、冠状动脉瘘的起源,病变冠状动脉主干增宽,可视长度明显增加,受累腔室大小相应改变
2、冠状动脉瘘的走形及管腔:血管走形多复杂多变,标准切面难以显示,需不断改变探头角度及方位,追踪显示。因易合并感染性心内膜炎及血栓形成,故需观察管腔内有无异常回声。
3、冠状动脉的瘘口:找到瘘口是关键,瘘口可单发或多发(异常血流束起始部宽度约为瘘口直径)。
CAF的管理原则取决于患者是否有症状以及诊断时的年龄。尽管很少见,但无症状的小CAF患者可能会自发闭合。大多数这些病例在2岁之前儿童中,CAF引流到右心室。
美国心脏病学会和美国心脏协会提倡每3至5年通过超声心动图密切监测无症状的小CAF患者;无论是否存在因心律失常、心肌缺血或梗塞和心室扩张而引起的症状,都应关闭大的CAF。
在儿童中,即使是非常小的CAF也需要密切随访,因为这些可能会随着年龄的增长而发展。一些学者建议在5岁后闭合临床上明显的CAF,以避免在以后的生活中出现冠状动脉偷窃现象和严重的心脏并发症。
出现在冠状动脉近端的CAF更容易形成动脉瘤,早期治疗可以防止破裂,因此诊断很重要。在CAF患者中,无论CAF的类型和大小,所有动脉瘤患者都需要预防感染性心内膜炎。
文案:黄文英;编辑:王霜;审核:王斌


