

上世纪20年代,
棉签的问世,
其一大用处就是
用来清洁婴儿的耳朵。
如今,棉签几乎成了掏耳朵神器!
相信很多人都和今日哥一样,
耳朵痒了、洗完澡了,
拿跟棉签掏一掏!
但事实上,
这一个小小的举动背后,
却“暗藏杀机”。
前几天,
今日哥看到个新闻吓坏了,
就是拿棉签掏个耳朵
有人却因此付出惨痛代价!
颅内感染引发癫痫,
还有澳洲妹子差点丧命。。。

01
澳洲妈妈棉签掏耳朵,差点丧命!
38岁的澳洲妈妈Jasmine Small和其他很多人一样,
她也有
用棉签棒掏耳朵的习惯。

2016年底,她发现左耳听觉出了问题,有时根本
听不到任何声音,
这种情况大概持续了7、8个月后,情况开始慢慢恶化。
当她再用棉签掏耳朵时,左耳总是感觉很疼,

有时候还会有棕色的、难闻的液体流出,
甚至还有血丝。
意识到情况不妙,Small赶紧上医院检查。

一开始,医生也认为情况不严重,只是轻微感染,
给她开了些抗生素让她回家服用。
然而并没有什么效果。
2017年底,Small换了位耳鼻喉科专家后,才发现情况
已经非常严重。

医生非常严肃地告诉她,必须立即手术,
不然会有生命危险。
Small吓了一跳,只能推迟和丈夫的蜜月旅行。
CT扫描显示,Small的耳朵深处已被感染,
这里非常靠近她的大脑。

而这一切竟然都是由于
棉签上松散棉线引起,

更令人难以置信的是,
医生断定,耳朵里的这些小棉块已堆积了
长达五年之久!
很快,Small经历了一场大手术,
最终保住了性命,
但她的左耳已遭到
永久性损害,
接下来她还需要面临一系列恢复手术,
甚至佩戴助听器。
02
英国男子棉签掏耳朵引发癫痫...
因为用棉签掏耳朵,而引发感染的,可不仅仅只有Small一个。
最近一位英国男子的遭遇,引起了英国国民医疗系统部门的注意。

这位31岁的小伙五年前开始陆续出现
左侧耳痛,头痛等情况。
而今年,他经常恶心呕吐,甚至出现了短时间的意识不清。
经医生检查,他已患上了坏死性外耳炎。

这种疾病通常伴随着耳内流出黄或绿色有臭味的液体,
耳痛,耳痒以及听力丧失。
坏死性外耳炎常会波及到其他神经的正常运转,
严重还会造成大出血、脑膜炎、脑脓肿,脑软化等
严重威胁生命的情况。

随着时间推移,感染已蔓延至大脑,
从而引发了癫痫。
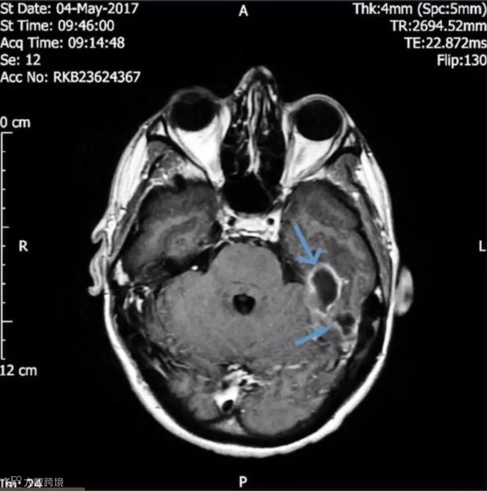
医学团队的CT扫描显示:他的头骨下靠近左耳道的位置有两块充满脓液的肿块,
再晚治疗情况就危险了。

为有效消除感染,医生进一步寻找着致病的根源。
终于在脑成像的帮助下他们发现男子的
耳道中有一个异物。
经过鉴定,导致严重感染的东西是
一小撮棉花。

原来,这位小伙洗完澡后,有用棉签清理耳道的习惯。
但从没想过会造成这样的后果。
小伙的主治医生表示,癫痫发作可能由
感染产生的毒性
或者对大脑的压力引起。

幸亏救治及时,否则后果不堪设想!
其实,相比耳勺等东西,
用棉签掏耳朵,看似保险,但效果可能适得其反。

棉签会把耳屎推向耳朵深处,
推到你再也掏不到的地方。

由此就会造成真菌、细菌、病毒等在外耳道累积起来,
从而导致疼痛和感染。

比如株洲的张先生,半年来耳朵疼,几乎听不到外面的声音。

到了医院,医生发现,
他的耳道里有团深色异物,已经堵住了耳道。

就是它!
长3.5厘米的“耳屎”。

由于长期用棉签掏耳屎,
大量的耳屎被推向耳道深处,从而引起堆积。

据CNN报道,
美国每天大约有34多名儿童,
每年有12,500名18岁以下儿童及青少年,
因为用棉签清理耳朵导致受伤被送进医院。

在就诊的儿童中,
40%因为觉得耳朵里面有异物,
35%因为耳朵出血,17%耳朵痛。
经医生诊断,
25%的儿童骨膜破裂,医学上称为鼓膜穿孔;约23%的软组织受伤。

这都是在家中用棉签清洁耳朵惹的祸!
03
频繁掏耳朵甚至或致癌!
其实我们常说的耳屎,就是耳垢,
它并不是脏东西,
只是耳朵分泌的物质。
它的存在是有必要的,有抗菌保护耳道的功能,
如果全部清理干净反倒会造成伤害。

正常情况下,耳屎会在你说话、吃饭、打呵欠时,
随着下颌运动
自动被排出。

也就是说,
即便不掏它也可能自己出来了,
你还费那劲、冒那么大险干嘛!

耳朵非常敏感、脆弱,掏的时候稍微不注意,
就可能导致听力下降、耳朵感染,甚至还可能
引发永久性的伤害。

更可怕的是,长期掏耳朵,
还可能诱发
外耳道乳头状瘤
或耵聍腺癌。

虽然乳头状瘤属于良性肿瘤,
但手术切除后极易复发,多次复发极有可能
转变为恶性肿瘤。

因为我们的外耳道皮肤比较薄,如果反复地用比较硬的东西去掏它的话,
可能会破坏外耳道的皮肤,破坏外耳道的屏障,这就有可能会
导致有害细菌在里面生长,
引起外耳道的炎症。

如果多次的机械刺激、掏破耳朵,外耳道不断地在修复,
经历这样反复破坏和修复的过程中,有些细胞可能就会
出现一系列恶性的变化。
曾有媒体报道,一个武汉婆婆老是觉得耳朵痒,
一天不掏都受不了,
30年频繁掏耳朵的后果是
引发癌变,
患上外耳道鳞状细胞癌。

医生为患者实施手术切除了整个外耳道,术后患耳的听力
很可能没有了,
后期还需要放疗。
04
那我们该如何正确地“掏耳朵”呢?
既然棉签不能用,那我们该如何正确地“掏耳朵”呢?
这里哥教大家几个办法。
1、首先,可以滴几滴加热到了人体体温的白醋,外用酒精和白水的混合液体,自己用注射器进行冲洗。

2、其次,有时候,你的耳道皮肤干燥的话会导致额外的耳屎积聚在耳道中,
这时候可以给耳朵滴一滴矿物油,帮助滋润耳朵。
这就跟给身体皮肤擦润肤液一样。

3、如果你耳膜有损伤或者以往做过任何耳朵方面的手术,以上选择请全部略过。
你只需简单使用毛巾清洗下你的外耳道就可以了。

4、如果你是属于天生耳屎比较多的人,或者出现了耳屎堵住耳道的情况,可以到医院处理。
耳鼻喉科医生会在额镜直视的情况下,
用专业的工具将耳屎取出。

所以说掏耳虽舒服,
下手需谨慎啊!
自己以后不要
再用棉签掏耳朵的同时,
作为家长,
更是不能随便给孩子掏耳朵哦!
如果耳内确实经常有异物
或者耵聍分泌过多的情况,
建议先到医院做检查,
由医生判断是否需要治疗。
不要等到出现更重的病情才去医治,
以免听力受损。



