DreamNeuro Pro
一站式脑疾病研究数据库平台
产品规格

在磁共振中心迈向数字化、自动化、标准化的今天,
为医院、研究所与成像中心
提供落地快、可拓展、即装即用的影像科研基础设施。
应用场景
MRI 中心数据标准化管理
自动接入 Siemens / GE / Philip / 联影 等品牌 MRI 数据。
自动去重、结构化、BIDS 化、同步入库。
满足国家科研数据管理规范与期刊要求。
多模态高性能分析平台
支持MRI全模态与 EEG 等模态的处理与分析工具链。
每日可完成数百例 MRI 数据的批处理,
支持磁共振中心日常高密度扫描任务。
科研团队的一站式工具平台
MRI 科研工作流的“中枢系统”。
支持科研中心、研究所、医院影像科多团队共享与协作。
功能特点
软硬件一体化交付
最快两周交付、开箱即用。
从系统安装、集群调试,到工具链与数据库初始化,全部预配置完成。
全流程覆盖,从采集到分析
从格式转换到全流程预处理,
从质量控制到结果输出,
每一步都精准、透明、自动化。
硬件横向扩展,算力随需增长
支持 CPU / GPU / 存储 / 节点的动态扩展,
从单机性能延伸到集群级别,规模可持续扩张。
软件能力模块化接入:一键完成分析
DreamNeuro 的一键分析,
从入库、校验,到处理、分析,
统一在同一套优雅而强大的流程中完成。
所有功能均可按需启用,像 App 一样扩展。
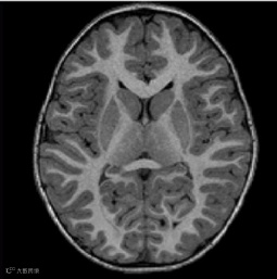
结构像分析
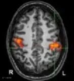
功能像分析
扩散像分析
服务保障
DreamNeuro 高性能集群不仅提供强大的算力与算法能力,更为科研团队提供全流程、高可靠的技术保障体系。
系统运维
提供持续监控、定期巡检与快速响应,
确保每一次预处理与训练都在最佳状态运行。
代码支持
科研路上,不再孤独,支持自定义代码的设计辅助和落地。
从 PIPELINE 搭建到多模态分析,DreamNeuro 始终与你并肩前行。
型号对比
|
DreamNeuro Lite |
DreamNeuro Air |
DreamNeuro Pro |
DreamNeuro Max |
|
64核 |
192核 |
320核 |
800核 |
|
256G内存 |
768G内存 |
1280G内存 |
2560G内存 |
|
100TB存储 |
200TB存储 |
700TB存储 |
1PB存储 |
|
10用户 |
20用户 |
50用户 |
80用户 |
|
小型课题组 |
大中型课题组 |
磁共振中心 |
多中心数据库 |

