牙齿重度磨耗:欧洲治疗指南共识
Severe Tooth Wear: European Consensus Statement on Management Guidelines
原载 牙科粘接杂志-The journal of adhesive dentistry, 19(2), 111–119. (英文)杨洋 译;谭建国 审





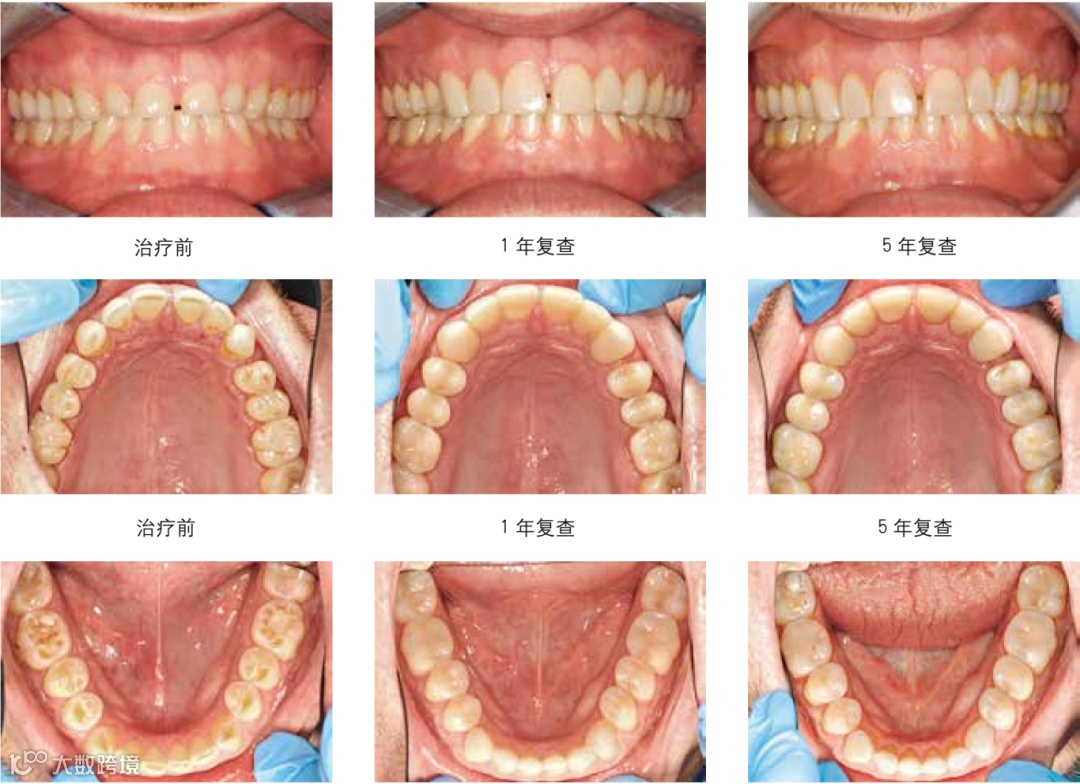
图5 牙齿重度磨耗患者进行的间接法复合树脂修复。治疗前后的情况。医师:Dr.Daniel Edelhoff教授

