据日本政策投资银行报告统计,2016年外国人赴日体检人数达33万人,预计到2020年,外国人赴日医疗体检的潜在需求为43万人次。其中,仅以体检为目的的中国游客每年将超过31万人次。 那这么多人都选择去日本做体检,日本的体检好在哪里呢?究竟都检查什么呢?今天,就带着大家一起看看日本高端体检的热门项目!?
---1---
核磁共振MRI

核磁共振是最新医学影像技术,可以拍摄出高精度的MRI画像,针对于以往不容易检查的人体部位成像诊断。
尤其对脑部、子宫、卵巢、前列腺等实质器官和心脏大血管有绝佳的诊断功能。
其原理是利用是磁场成像,没有放射性,不需注射造影剂、对人体无不良影响,非常安全。
头部MRI/MRA
可检查出无症状性的脑埂塞,脑萎缩,脑动脉瘤,脑血管狭窄等病变的早期风险。
•适用人群:中老年人群,肥胖、糖尿病、高血压患者等。
•推荐周期:首次检查结果若无脑动脉瘤,建议每3年检查1次 。
骨盆MRI
检查子宫附件的情况、子宫肿瘤、卵巢癌。
•适用人群:有妇科肿瘤家族史,B超检查有疑似子宫附件肿块者,及40岁以上的健康女性。
•推荐周期:建议每2年检查1次。
---2---
上消化道内窥镜检查
对于上消化道内(食道、胃、十二指肠)的各类疾病,内窥镜是最直接有效的一种检查方式,尤其是早期微小肿瘤,胃镜检查可以及时发现病灶并做活检。
目前日本体检中的胃镜检查基本都已经采用鼻腔进入式设备,相比于国内的口腔进入式 胃镜软管直径细2/3左右(比小拇指还略细一点,大概只有不到6mm),鼻腔进入有效的避开咽喉敏感处,减少容易产生的呕吐感。
胃镜检查
•适用人群:胃肠不适,饮食不规律不健康人群,及40岁以上的健康人群。
•推荐周期:建议每2年检查1次。

---3---
肿瘤标志物和癌症风险检测

当身体存在癌症病灶时,在血液和尿液中会出现健康时几乎不会出现的特殊蛋白质、酶、激素。这些特殊物质被称为肿瘤标志物。
肿瘤标志物以其敏感性高的特点,能在早期检测出肿瘤患者。在体检时只需要采血,通过高精度的提纯,来检测血液中的肿瘤标志物的含量。
肿瘤标志物
•适用人群:有癌症家族病史的人群,长期接触致癌物质人群,严重污染厂矿企业的从业者,身体出现了“癌症信 号”人群,及40岁以上健康人群。
•推荐周期:建议每年检查。
---4---
乳房钼靶摄影

乳腺钼靶检查是通过软X光来检测是否存在乳腺的相关病灶,可以检测出医生触摸不到的乳房肿块,是目前筛查乳腺癌最常用的方法。也是女性参加日本体检的常规检查项目。
钼靶照相是软X线,射线剂量非常微弱,辐射小,非常安全。
而对于年轻女性,乳腺可能比较质密,更适合做乳腺B超声波检查。
乳腺钼靶摄影
•适用人群:直系亲属患有乳腺癌的人群,45岁以后健康女性。
•推荐周期:建议45岁以上的女性每年检查。
---5---
人乳头瘤病毒HPV

通过取宫颈细胞组织培养等方法,高精度检测人乳头瘤病毒,检查宫颈癌风险。
大部份感染HPV的女性都没有任何疼痛感和病症,无法根据身体的预警信号采取及时的治疗措施,而如果HPV病毒没能及时清理导致长时间的持续 HPV 感染,便有机会发展成子宫颈癌。
宫颈癌的发病率仅次于乳腺癌。
HPV检查
•适用人群:25岁以上的已婚女性。
•推荐周期:建议每年检查1次。
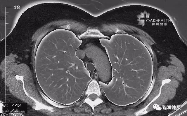
---6--- 电子计算机断层扫描

电子计算机断层扫描CT,是利用精准的射线与灵敏度极高的探测器一同围绕人体的某一部位做断面扫描,可以分层观察人体组织,图像清晰。
可用于中枢神经系统,大脑,心脏及大血管、肝脏、肺、脊柱、腹部以及盆腔的检查。
尤其是胸、腹器官的诊断更优于其他影响检查。
胸部CT
相比胸部X光射线,胸部CT则更清晰,准确性更好,特别是对于肺部微小结节、肿块。主要用于发现早期肺癌、肺部纵膈肿瘤、肺结核、肺炎、肺气肿、气胸和支气管炎等疾病。
•适用人群:吸烟人群,长期在空气不良环境下工作和生活的人群,40岁以后健康人群。
•推荐周期:建议每年检查1次。
腹部CT
通过64排螺旋式CT对上下腹部进行断层扫描,主要检查肝脏、胆囊、胰腺、脾脏、肾脏等早期肿瘤癌症和其他相关疾病,检查男性前列腺、女性子宫和卵巢早期癌症和其他疾病。
•适用人群:腹腔、盆腔有相关疾病的人群,50岁以后健康人群。
•推荐周期:建议每2年检查1次。
---7---
PET-CT
PET-CT 是确诊肿瘤和癌症后,进一步检查癌细胞是否全身转移的先进方法,在确定手术或其他治疗方案时,可作为比较理想的参考依据。但需静脉注射药剂,全身放射扫描,辐射量较大且价格偏高。不少机构会极力推荐客户PET-CT,并声称“没有PET-CT的体检不叫精密体检”。
建议在橡树健康体检顾问的指导下进行选择。
•适用人群:有家族病史的高危人群,癌症确诊患者的复查。
•推荐周期:建议每2~3年检查1次。
大连致海外洋咨询服务有限公司(大连致海外服)是一家提供海外医疗机构高端个性化体检;海外知名医院癌症医疗;海外私人定制旅游;海外留学生管家服务和对外投资、贸易交流的专业咨询服务公司。
公司网址:http://www.zhihaiwaifu.com
垂询电话:400—9025—877
盘锦分公司地址:盘锦市兴隆台区惠宾大街党校小区6-6号
垂询电话:0427-7261939 15242753399(微信同步)
公司拥有一流的海内外员工团队和环境优雅的会所,并在日本东京设有分公司,公司业务范围目前已经涵盖日本、美国、加拿大等国,并与海外数家医疗机构签订了中国大陆地区的服务代理协议。
渠道大客户负责人孙爱辉:15541125777
渠道客户经理郭祥:15104090678

