骨刺是什么?
很多人都认为它们是像“刺”一样尖锐的东西,其实它们是光滑的,我们的骨头上是没有刺的,那些所谓的“骨刺(Bone spurs)”其实是骨赘(Osteophyte),也就是大家经常说的骨质增生(Hyperosteogeny)。骨质增生本身不是病,就像人衰老长白头发一样,是骨关节的正常生理反应。
绝大部分是人体骨关节处缓慢出现的一种退化现象,人体要生长、衰老,就不可避免地会出现骨质增生,只是早晚而已,主要变现为骨关节周围刺状或唇状的增生骨质。一般认为与年龄老化、损伤、肥胖超重、内分泌紊乱、骨细胞代谢异常、神经营养障碍、关节局部血运循环改变、关节不稳定等因素有关。

一般年龄越大退变越明显,所以老年人比年轻人发病率高;骨骼的长期劳损和坐姿不良也是导致骨质增生的重要原因,此类原因常常发生于学生、IT工作者、会计等。好发于活动较多,负重较大的关节,如颈腰椎、髋关节、膝关节和肘关节等,也可见于指间关节、跟骨等。

“骨刺”是机体自我修复而形成的额外的骨头,通常“骨刺”形成部位应对压力、牵拉、摩擦或压力持续很长一段时间后逐渐形成的。多是因为关节受损、病变后继发出现的,也就是说先有的病,后有的骨质增生。当骨质增生到一定程度,刺激局部组织,会导致关节活动受限,产生疼痛加重,肿胀症状。
比如说,膝关节骨质增生,是因为膝关节骨性关节炎(Osteoarthritis)或膝关节外伤后的创伤性关节炎(Traumatic arthritis)导致关节病变、损伤以后,关节为了建立新的稳定,继发出现了骨质增生。


颈腰椎骨质增生系在颈腰椎退变疾病(Cervical and lumbar degenerative diseases),如椎间盘突出、椎管狭窄、椎体失稳等后出现的。脊柱的“骨刺”可能会影响到神经,这种刺激或压迫可能导致肢体的疼痛、麻木。


指间(趾间)关节出现骨质增生,往往是因为指间关节骨性关节炎,指间关节的软骨变性和骨质肥大增生,形成近节指间关节的布夏尔氏结节(Bouchard's nodes)和远节指间关节的希伯登氏结节(Heberden's nodes)。


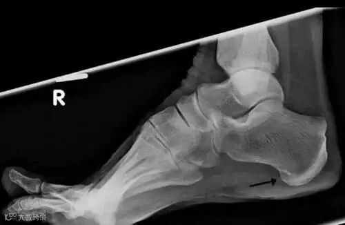
脚出现跖筋膜炎,没有及时治疗或持续慢性损伤,跟骨就可能出现“骨刺”(跖筋膜跟骨附着处的钙化)。

多数骨质增生出现在关节周边或韧带部位,并不引起人体疼痛、麻木等症状,是不需要治疗的。只有在一些重要部位,如椎体后缘及椎体小关节等处过度增生,并确实引起症状时,才可以称之为病,才需要相关治疗。
相当一部分人认为疼痛是因为骨质增生压迫了神经而造成的,这是一种不正确的观点,在此基础上采取的各种治疗也是不确切的。实际上多数骨关节疼痛先于骨质增生,或与骨质增生同步出现。骨关节疼痛并不是骨质增生惹的祸。这在临床治疗中也可得到了证实。比如:骨关节疼痛伴有骨质增生的患者,经保守治疗,疼痛消失后骨质增生依旧存在,而且没有任何减少。还有,许多中老年人都有不同程度的骨质增生,却没有什么疼痛。甚至有很多老年人骨质增生已经非常严重了,出现了关节僵硬,但并没有丝毫疼痛,这是骨质增生稳定了关节所致。
因此,把“骨刺”作为病来治疗是不必要的,骨质增生在人体内也不可能被药物软化、清除的。当然,我们并不说没有骨质增生压迫神经的可能性,只有临床证实且经保守治疗无效者,才可针对其进行手术治疗。
【温馨提示】图文信息,仅供大家参考,如有需要,请及时到正规医院就诊。
大连致海外洋咨询服务有限公司(大连致海外服)是一家提供海外医疗机构高端个性化体检;海外知名医院癌症医疗;海外私人定制旅游;海外留学生管家服务和对外投资、贸易交流的专业咨询服务公司。
垂询电话:400—9025—877
盘锦分公司地址:盘锦市兴隆台区惠宾大街党校小区6-6号
垂询电话:0427-7261939 15242753399(微信同步)
公司拥有一流的海内外员工团队和环境优雅的会所,并在日本东京设有分公司,公司业务范围目前已经涵盖日本、美国、加拿大等国,并与海外数家医疗机构签订了中国大陆地区的服务代理协议。
渠道客户经理郭祥:15542665408

