作为传承前千年的美食,豆腐在餐桌上占据重要席位,近期研究表明,其在生物医学应用领域也表现出巨大潜力。豆腐中含有丰富的大豆蛋白和矿物质元素,制备过程中不引入任何有毒试剂,生物安全性良好。基于豆腐工艺开发的大豆蛋白组织工程支架具备豆腐良好的生物安全性,同时具备疏松多孔的内部结构和一定的力学性能;本文同时对比了大豆蛋白化学交联方法制备的大豆蛋白组织工程支架的性质,对它们进行了系统的研究,首次对豆腐支架在生物医学领域中应用进行了初步探索,以期开发豆腐的在生物医学领域的潜在价值。
Figure 1. Schematic illustration of developing tofu scaffolds and soybean protein scaffolds
近日,中山大学工学院生物医学工程学科吴钧课题组首次将传统的豆腐开发成组织工程支架,并对其在生物医学领域中的应用进行了初步探索。这是对食源性生物材料开发的又一次大胆尝试,他们以传统豆腐制备工艺为基础,在不引入有毒试剂的前提下将豆腐制备成可应用于组织工程的生物支架,有望在软组织创伤修复中发挥一定作用。本成果以Evaluation of tofu as potential tissue engineering scaffold 为题,吴钧教授、顾志鹏副研究员为通讯作者,黄骏博士为第一作者,中山大学工学院为第一单位,于2018年1月23日发表在材料学著名期刊《Journal of Materials Chemistry B》(DOI: 10.1039/C7TB02852K) 上。
该团队将传统豆腐制备工艺进行简单改良后应用于豆腐支架的开发,有效避免了有毒试剂的引入,极大的提升了材料的生物安全性;同时,对比了大豆蛋白化学交联方法制备的大豆蛋白组织工程支架的性质。研究表明,豆腐支架与化学交联方法制备的大豆蛋白支架具有相似的理化性能,且后期,豆腐支架表现出更佳的生物相容性,更有利于细胞的增殖和体内植入后血管的形成。
Figure 2. The simplified process of tofu scaffold preparation.
Figure 3. The water uptake ratios of tofu scaffolds and soybean protein scaffolds in 0.01 M PBS solution: (A) Tofu scaffolds. (B) Soybean protein scaffolds. Mean ± SD,n=3.
Figure 4. The stress–strain curves of tofu scaffolds and soybean protein scaffolds under wet conditions. There was no significant difference to the compression modulus of tofu scaffolds and soybean protein scaffolds. Mean ± SD, n = 3
Figure 5. The result of weight-loss ratio of soybean protein and tofu scaffold: (A) Tofu scaffold in 0.01 M PBS solution. (B) Tofu scaffold in 0.25% trypsin solution. (C) Soybean protein scaffold in 0.01 M PBS solution. (D) Soybean protein scaffold in 0.25% trypsin solution. Mean ± SD, n = 3.
Figure 6. Proliferation of NIH 3T3 cells after 7 days culture with the leaching solution of soybean protein and tofu scaffolds. *p < 0.05 (compared with the control at the same time), Mean ± SD, n = 3.
Figure 7. The morphology of 3T3 cells directly seeding in soybean protein and tofu scaffolds were analyzed by staining with rhodamine phalloidin and DAPI (A, B, C, D). Live/dead staining was carried out to verify the good biocompatibility of two scaffolds (E, F, G, H). (A&E): The morphology of 3T3 cells seeded in soybean protein scaffolds after cultivating 24 hours. (B&F): The morphology of 3T3 cells seeded in soybean protein scaffolds after cultivating 48 hours. (C&G): The morphology of 3T3 cells seeded in tofu scaffolds after cultivating 24 hours. (D&H): The morphology of 3T3 cells seeded in tofu scaffolds after cultivating 48 hours. The cell morphology is good after seeding in two types scaffolds directly, which were indicated by blue arrows. The dead cells are indicated by white arrows. Scales bar = 50 μm.
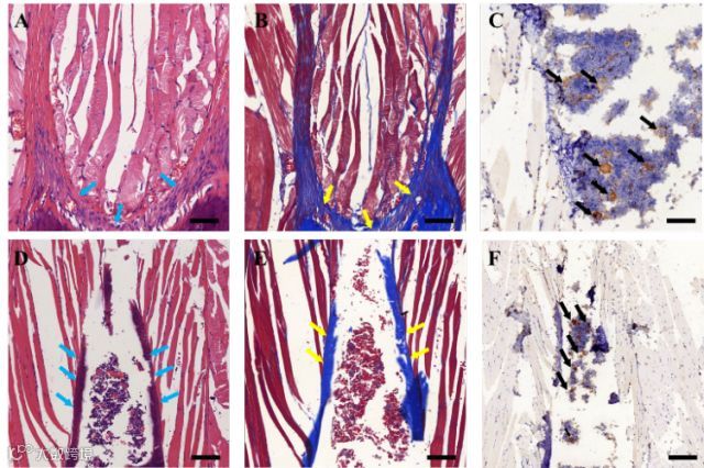
Figure 8. The results of histology evaluation implanting tofu scaffolds (A, B and C) and soybean protein scaffolds (D, E and F) after 7 days. (A & D): HE stained section of the scaffold with surrounding tissues. Tofu scaffolds part was indicated by blue arrows and good biological integration with the surrounding tissues of implantation site was observed, which represented good biocompatibility of tofu scaffolds; (B & E): Masson staining displayed obvious collagen deposition in tofu scaffold part, indicated by yellow arrows; (C & F): CD31 staining was carried out to evaluate the neovascularization. The brown spots, indicated by black arrows, represented the angiogenesis in tofu scaffolds. Many minute vessels had grown out. Scale bar = 100 μm.
本文作者以传统豆腐制备工艺为基础,将豆腐开发成组织工程支架。研究表明,豆腐支架与化学交联大豆蛋白支架具有相似的理化性能;细胞实验和动物实验表明,豆腐支架具有良好的生物相容性,适合细胞的生长和植入体内后小血管的生成。
论文链接:
Evaluation of tofu as potential tissue engineering scaffold(J. Mater. Chem. B, 2018, DOI: 10.1039/C7TB02852K.)
http://pubs.rsc.org/en/content/articlelanding/2018/tb/c7tb02852k#!divAbstract
课题组介绍:
课题组负责人吴钧教授是中山大学工学院生物医学工程学科博士生导师,2015年中组部青年千人计划获得者。于南京大学,美国纽约州立石溪大学获得学士及硕士学位,2010于美国康奈尔大学生物医学工程系获博士学位;2010-2015年于美国哈佛大学医学院及麻省理工学院Omid Farokhzad 及Robert Langer实验室从事博士后研究。研究领域涉及可降解生物材料,药物输送,组织工程及纳米医学等前沿邻域,集中于含氨基酸材料的生物医学应用。课题组负责人已发表SCI论文超过68篇,其中第一作者及通讯作者28篇,总引用次数超过3800次。
课题组以新型生物材料,纳米医学和再生医学为主要研究方向。纳米医学方向主要是开发新型生物可降解,生物安全的高分子功能聚合物,构建多功能高载药纳米缓控释药物输送体系,重点在肿瘤治疗,心血管疾病及口服给药中的应用。再生医学方向主要是利用新型功能材料,结合纳米技术与干细胞技术,构建新型支架材料,用于组织再生及修复。诚邀有志之士加入我们,有意者可发信至邮箱:wujun29@mail.sysu.edu.cn。课题组网页: http://wulab.bme.sysu.edu.cn/
高分子科技原创文章。欢迎个人转发和分享,刊物或媒体如需转载,请联系邮箱:info@polymer.cn
关注高分子科学技术 👉
长按二维码关注
诚邀投稿
欢迎专家学者提供稿件(论文、项目介绍、新技术、学术交流、单位新闻、参会信息、招聘招生等)至info@polymer.cn,并请注明详细联系信息。高分子科技®会及时推送,并同时发布在中国聚合物网上。
欢迎加入微信群 为满足高分子产学研各界同仁的要求,陆续开通了包括高分子专家学者群在内的几十个专项交流群,也包括高分子产业技术、企业家、博士、研究生、媒体期刊会展协会等群,全覆盖高分子产业或领域。目前汇聚了国内外高校科研院所及企业研发中心的上万名顶尖的专家学者、技术人员及企业家。
申请入群,请先加审核微信号PolymerChina
(或长按下方二维码),并请一定注明:高分子+姓名+单位+职称(或学位)+领域(或行业),否则不予受理,资格经过审核后入相关专业群。

