
来源 | 学术经纬(ID:Global_Academia)
睡眠几乎要占去一生中三分之一的时间。可想而知,充分的睡眠,一定对生理有着极为重要的意义。然而随着生活节奏的不断加快,熬夜加班已经成了许多人工作中的常态。想要美美睡上一觉,成了现代人的奢求。
然而许多研究都表明,睡眠不足对身体有着种种危害。本周在线发表于《自然》杂志上的一项研究,则在“危害清单”上又加上了一条:哈佛医学院与麻省总医院的科学家们发现,在实验小鼠中,如果睡眠不规律,会加速动脉粥样硬化的形成。

动脉粥样硬化是一种严重的疾病。在患者的动脉里,白细胞会侵入动脉壁,与胆固醇等物质接触后,引发炎症反应。这就会导致动脉出现斑块状结构,使动脉变得狭窄。严重时,它甚至会造成冠状动脉疾病,或是中风。这也难怪,动脉粥样硬化已经成为了发达国家的主要致死原因。
本研究里,科学家们想要了解睡眠与动脉粥样硬化之间的关系。他们使用了一种特殊的小鼠作为实验对象——它们天生就很容易出现动脉粥样硬化。
随后,研究人员们把这些小鼠分为了两组,一组是“碎片化睡眠组”。这组的小鼠在睡觉时,研究人员们会用一根小棍轻轻横扫笼子底部,把小鼠弄醒,人为造成小鼠睡眠的“碎片化”。另一组小鼠的睡眠则不受干扰,作为对照。

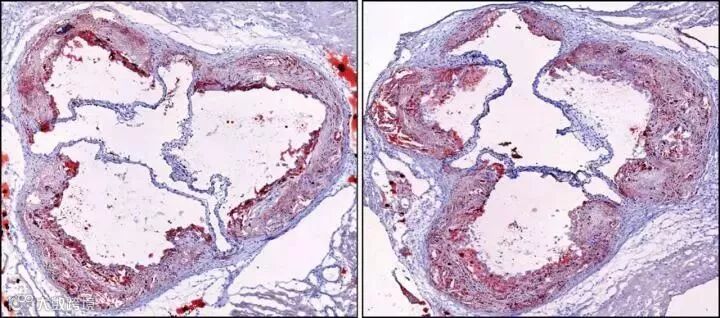
“碎片化睡眠组”的小鼠(右),出现了严重的动脉粥样硬化(图片来源:参考资料[3])
随后,研究人员们开始比对这两组小鼠的生理状况。他们发现相较对照组,“碎片化睡眠组”里的小鼠,动脉粥样硬化状况更为严重。相对应的,这些小鼠的骨髓,在生产白细胞方面也更为活跃,单核细胞和嗜中性粒细胞这两种白细胞的数量更多。
有趣的是,如果在小鼠清醒时用小棍进行横扫,两组小鼠间就不会有类似的差异。因此研究人员确认,这些生理上的区别,的确是由于睡眠被打断所带来的。
那么,睡眠不足,是怎么引起动脉粥样硬化的呢?研究人员们进一步在大脑中控制代谢反应的下丘脑里,寻找受睡眠质量调控的蛋白质。他们发现一种叫做下丘脑分泌素(hypocretin)的蛋白质在睡眠不规律的小鼠里,水平出现了显著下降。先前人们发现,下丘脑分泌素能够使人清醒。因此在缺觉的小鼠里,这种蛋白质水平出现下降,正是身体想要继续睡眠的信号,非常容易理解。
那么这种蛋白质,是否就是白细胞水平变化的元凶呢?为了回答这个问题,研究人员们又做了一系列巧妙的实验。首先,他们使用遗传学工具对小鼠进行基因改造,让它们无法表达下丘脑分泌素。果不其然,这些小鼠体内真的出现了更多的白细胞,动脉粥样硬化也变得更为频繁。其次,他们在睡眠受到干扰的小鼠体内,注射进了下丘脑分泌素。也正如研究人员们所预料的那样,小鼠的白细胞水平有所下降,动脉粥样硬化的严重程度也有所减轻。

本研究的图示(图片来源:参考资料[2])
这些实验结果清楚表明,在碎片化睡眠下,下丘脑分泌素的水平,在动脉粥样硬化的产生中,扮演了重要角色。
“我们找到了一种机制。这种机制里,大脑激素能控制骨髓里炎性细胞的生产,保护血管不受损伤,”本研究的通讯作者Filip Swirski教授说道:“这种抗炎机制受到了睡眠的调节。如果睡眠频繁被打断,或者睡眠质量很差,这种机制就会出问题。”
这项研究揭示了一个全新的机制,也给我们带来了更多健康上的洞见。《自然》的专题报道指出,我们也许需要重新审视过去的一些安眠药的安全性。如果安眠药的机制是抑制下丘脑分泌素受体,不知这些药物是否会引起心血管上的副作用。
此外,为了更好地揭示心血管疾病与睡眠疾病之间的关系,我们还需要更多的研究。但至少,我们知道了睡眠不足的又一个潜在危害。在这里,我们也呼吁一下各位读者朋友们注意劳逸结合。尽管这项小鼠研究结果能否在人体内得到重复尚无定论,但保证睡眠质量总是没有错的。
参考资料:
[1] Cameron S. McAlpine et al., (2019), Sleep modulates haematopoiesis and protects against atherosclerosis, Nature,
DOI: https://doi.org/10.1038/s41586-019-0948-2
[2] Alan R. Tall & Sanja Jelic (2019), How broken sleep harms blood vessels, Nature,
DOI: https://doi.org/10.1038/d41586-019-00393-6
[3] Study helps solve mystery of how sleep protects against heart disease, Retrieved February 13, 2019, from
https://www.eurekalert.org/pub_releases/2019-02/nhla-shs021219.php
免责声明:部分资料来源于网络,转载的目的在于传递更多信息及分享,并不意味着赞同其观点或证实其真实性,也不构成其他建议。仅提供交流平台,不为其版权负责。如涉及侵权,请联系我们及时修改或删除。邮箱:info@polymer.cn
关注高分子科学技术 👉
长按二维码关注
诚邀投稿
欢迎专家学者提供稿件(论文、项目介绍、新技术、学术交流、单位新闻、参会信息、招聘招生等)至info@polymer.cn,并请注明详细联系信息。高分子科技®会及时推送,并同时发布在中国聚合物网上。
欢迎加入微信群 为满足高分子产学研各界同仁的要求,陆续开通了包括高分子专家学者群在内的几十个专项交流群,也包括高分子产业技术、企业家、博士、研究生、媒体期刊会展协会等群,全覆盖高分子产业或领域。目前汇聚了国内外高校科研院所及企业研发中心的上万名顶尖的专家学者、技术人员及企业家。
申请入群,请先加审核微信号PolymerChina (或长按下方二维码),并请一定注明:高分子+姓名+单位+职称(或学位)+领域(或行业),否则不予受理,资格经过审核后入相关专业群。
点
这里“阅读原文”,查看更多

