锂离子电池凭借其高能量密度、长寿命和无记忆效应等优点已被广泛地应用于各种便携式电子设备和动力装置。隔膜作为锂离子电池的重要组成部分,其主要作用是传输离子和隔离电子,这对电池的充放电性能及安全性至关重要。虽然至今商品化锂离子电池隔膜材料仍主要采用聚烯烃,但是这类隔膜的低表面能和强疏水性导致其与电解液之间较差的浸润性和较低的吸液率,从而使得其电导率不高。为了解决这些问题,基于贻贝仿生化学的表面改性技术已经广泛地应用于提高聚烯烃类隔膜的性能,并取得了巨大的成功。然而,聚多巴胺的沉积时间长,涂层在极性有机电解液中的稳定性差,并且被电解液洗脱的聚多巴胺颗粒会影响锂离子的迁移速率,这些问题都限制了贻贝仿生化学在电池隔膜领域中的发展。
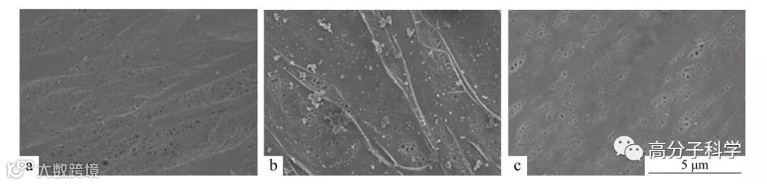
基于上述背景,浙江大学高分子系聚合物分离膜及其表界面工程课题组采用前期开发的聚多巴胺快速沉积方法,以CuSO4和H2O2作为氧化剂,制备了聚多巴胺涂层改性的聚丙烯电池隔膜,研究了其耐有机电解液性(图1)、热稳定性(图2)、表面润湿性和电解液吸收率(图3)以及涂层均匀性(图4),结果表明这些关键性的性能都优于传统聚多巴胺改性的隔膜。受益于隔膜性能的提升,CuSO4/H2O2氧化多巴胺改性的隔膜在5 C放电速率下的放电容量高达73.9 mAh·g-1 (图5),远高于传统聚多巴胺改性的隔膜,并展现出优异的循环性能。

图1. 不同方法制备聚多巴胺涂层改性隔膜的耐电解液性: (a) CuSO4/H2O2作为氧化剂; (b)空气氧化法

图2. 不同聚丙烯隔膜的热稳定性(150 °C): (a, b) 未改性的隔膜; (c, d) 空气氧化多巴胺改性的隔膜; (e, f) CuSO4/H2O2氧化多巴胺改性的隔膜

图3. 不同聚丙烯隔膜的电解液接触角: (a) 未改性的隔膜, (b) 空气氧化多巴胺改性的隔膜, (c) CuSO4/H2O2氧化多巴胺改性的隔膜; (d) 不同聚丙烯隔膜的电解液吸收率

图4. 不同聚丙烯隔膜的表面形貌: (a) 未改性的隔膜; (b) 空气氧化多巴胺改性的隔膜; (c) CuSO4/H2O2氧化多巴胺改性的隔膜

图5. 不同方法制备聚多巴胺涂层改性隔膜组装的电池在不同放电速率条件下的放电容量
张超博士是该论文的第一作者,伍广朋研究员和徐志康教授为通讯作者。该项工作得到国家自然科学基金(No. 21534009)和浙江省自然科学基金(No. LZ15E030001)的资助。
该工作即将发表于Chinese Journal of Polymer Science 2019年第10期 "The 100th Anniversary of the Birth of Prof. Shi-Lin Yang"专辑。
论文链接:
https://link.springer.com/article/10.1007/s10118-019-2310-4
相关进展:
免责声明:部分资料来源于网络,转载的目的在于传递更多信息及分享,并不意味着赞同其观点或证实其真实性,也不构成其他建议。仅提供交流平台,不为其版权负责。如涉及侵权,请联系我们及时修改或删除。邮箱:info@polymer.cn
关注高分子科学技术 👉
长按二维码关注
诚邀投稿
欢迎专家学者提供稿件(论文、项目介绍、新技术、学术交流、单位新闻、参会信息、招聘招生等)至info@polymer.cn,并请注明详细联系信息。高分子科技®会及时推送,并同时发布在中国聚合物网上。
欢迎加入微信群 为满足高分子产学研各界同仁的要求,陆续开通了包括高分子专家学者群在内的几十个专项交流群,也包括高分子产业技术、企业家、博士、研究生、媒体期刊会展协会等群,全覆盖高分子产业或领域。目前汇聚了国内外高校科研院所及企业研发中心的上万名顶尖的专家学者、技术人员及企业家。
申请入群,请先加审核微信号PolymerChina(或长按下方二维码),并请一定注明:高分子+姓名+单位+职称(或学位)+领域(或行业),否则不予受理,资格经过审核后入相关专业群。
点
这里“阅读原文”,查看更多

