
聚醚醚酮(PEEK)具有与天然骨骼相似的弹性模量,已广泛应用于椎间融合器、人工骨等骨科植入物。然而,由于PEEK缺乏抗菌、促成骨等生物活性,导致其植入物周围感染和无菌性松动时常发生,严重影响手术效果和患者生活质量。目前,研究人员已经开发多种策略来提高PEEK的抗菌和促成骨功能,但强效抗菌能力往往会降低其生物相容性和成骨能力,不利于骨整合。因此,抗菌、促成骨等生物活性的智能集成仍然是一个巨大的挑战。
近日,中山大学附属第八医院沈慧勇教授团队联合中山大学化学学院吴丁财教授团队,构建了一种具有N-卤胺聚合物涂层的表面多孔PEEK(sp-PEEK-NCl),实现抗菌、抗炎、促成骨等功能的高效集成。体外实验证明,sp-PEEK-NCl对常见细菌、耐药菌和真菌均展示出良好的抗菌效果,能有效阻止微生物在骨植入物表面的附着与繁殖,防止植入物周围感染;sp-PEEK-NCl能够下调巨噬细胞向M1表型的极化,具有良好的抗炎功能,从而抑制植入物周围的无菌性炎症反应;sp-PEEK-NCl还具有良好的生物相容性和促成骨作用。值得指出的是,随着活性氯原子的消耗,sp-PEEK-NCl中的N-Cl基团(抗菌)转化为N-H基团(促成骨),其促成骨能力会进一步增强。经大鼠骨髓炎模型证实sp-PEEK-NCl在体内有菌环境中可显著减少感染性骨破坏,并促进新骨形成。这项工作通过动态化智能表面工程,实现植入物在植入初期高效抗菌,度过感染高峰期后高效促成骨,从而有效解决抗菌与促成骨之间的矛盾,为骨植入物的多功能集成设计提供了新思路。该成果以“Dynamical Integration of Antimicrobial, Anti-Inflammatory, and Pro-Osteogenic Activities on Polyetheretherketone via a Porous N-Halamine Polymeric Coating”为题发表在《Advanced Functional Materials》上(Adv. Funct. Mater. 2023, 2307286)。中山大学附属第八医院王子明博士研究生、唐友臣助理研究员和王鹏主任医师为论文共同第一作者,吴丁财教授、蔡兆鹏副主任医师和沈慧勇教授为共同通讯作者。该研究得到国家自然科学基金委、科学技术部和中山大学等单位支持。

图1 具有(a)抗生素涂层及(b)金属离子涂层的PEEK和(c)sp-PEEK-NCl植入物的应用示意图;(d)sp-PEEK-NCl的制备过程。

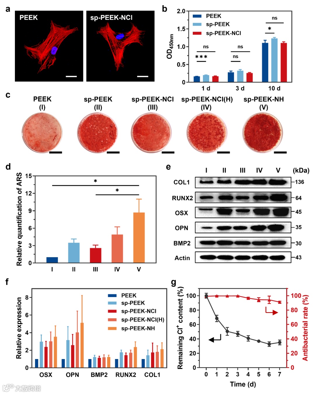
图2 sp-PEEK-NCl生物相容性及促成骨作用检测。(a-b)生物相容性评价;(c-f)sp-PEEK-NCl、活性氯消耗一半(sp-PEEK-NCl(H))及全部(sp-PEEK-NH)后的促成骨作用检测;(g)sp-PEEK-NCl在PBS溶液中不同天数时的剩余活性氯含量及相应抗菌率。

图3 大鼠骨髓炎模型检测sp-PEEK-NCl体内生物活性。(a)动物实验示意图;(b-e)影像学检测骨质破坏及新骨形成情况;(f-g)组织切片染色。
原文链接:
https://onlinelibrary.wiley.com/doi/10.1002/adfm.202307286
点击下方“阅读原文”可下载该篇论文。
相关进展
中山六院王辉团队和中山大学吴丁财团队 Adv. Mater.:研发出抗变形、防粘连、促愈合的新型腹壁组织修复材料
中山大学吴丁财教授课题组《Nat. Commun. 》:利用功能化多孔高分子隔膜显著改善锂金属电池的大电流循环稳定性和安全性
中山大学吴丁财教授课题组:具有优异环境化学可视化响应、超快速吸附以及简易再生功能的一体化多孔高分子吸附剂
高分子科技原创文章。欢迎个人转发和分享,刊物或媒体如需转载,请联系邮箱:info@polymer.cn
欢迎专家学者提供稿件(论文、项目介绍、新技术、学术交流、单位新闻、参会信息、招聘招生等)至info@polymer.cn,并请注明详细联系信息。高分子科技®会及时推送,并同时发布在中国聚合物网上。
欢迎加入微信群 为满足高分子产学研各界同仁的要求,陆续开通了包括高分子专家学者群在内的几十个专项交流群,也包括高分子产业技术、企业家、博士、研究生、媒体期刊会展协会等群,全覆盖高分子产业或领域。目前汇聚了国内外高校科研院所及企业研发中心的上万名顶尖的专家学者、技术人员及企业家。
申请入群,请先加审核微信号PolymerChina(或长按下方二维码),并请一定注明:高分子+姓名+单位+职称(或学位)+领域(或行业),否则不予受理,资格经过审核后入相关专业群。