是的,各位,
今天小编给大家介绍一下
几种常见纤维显微镜下的形态。
常见天然纤维有
棉、羊毛、兔毛、桑蚕丝、亚麻、苎麻等,
化学纤维有
锦纶、腈纶、聚酯纤维、氨纶、粘纤等。
而我们实验员是如何进行观看的呢?
接下来给大家看个短片:
以上就是纤维成分显微镜法的操作方法,
接下来我们来具体看下一些成分的形态吧:
棉
纵面形态:扁平带状,稍有天然转曲。
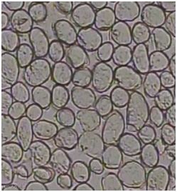
横截面形态:有中腔,呈不规则的腰圆形。
棉纵向形态
棉横截面形态
羊毛
纵面形态:表面粗糙,有鳞片。
横截面形态:圆形或近似圆形(或椭圆形)。
羊毛纵向形态
羊毛横截面形态
兔毛
纵面形态:鳞片较小,与纤维纵向呈倾斜状,髓腔有单列、双列、多列。
横截面形态:圆形、近似圆形或不规则四边形,有髓腔。
兔毛纵向形态
兔毛横截面形态
桑蚕丝
纵面形态:有光泽,纤维直径及形态有差异。
横截面形态:三角形或多边形,角是圆的。
桑蚕丝纵向形态
桑蚕丝
横截面形态
亚麻
纵面形态:纤维较细,有竹状横截。
横截面形态:多边形,有中腔。
亚麻纵向形态
亚麻横截面形态
苎麻
纵面形态:纤维较粗,有长形条纹及竹状横截。
横截面形态:腰圆形,有中腔。
苎麻纵向形态
苎麻横截面形态
锦纶
纵面形态:表面光滑,有小黑点。
横截面形态:圆形或近似圆形及各种异形截面。
锦纶纵向形态
锦纶横截面形态
腈纶
纵面形态:表面光滑,有沟槽和(或)条纹。
横截面形态:圆形,哑铃状或叶状。
腈纶纵向形态
腈纶横截面形态
粘纤
纵面形态:表面平滑,有清晰条纹。
横截面形态:锯齿形。
粘纤纵向形态
粘纤横截面形态
聚酯纤维
纵面形态:表面平滑,有的有小黑点。
横截面形态:圆形或近似圆形及各种异形截面。
聚酯纤维
纵向形态
聚酯纤维
横截面形态
氨纶
纵面形态:表面平滑,有些呈骨形条纹。
横截面形态:圆形或近似圆形。
氨纶纵向形态
以上就是我们这期的内容了,
各位还喜欢吗?
如果对你有所帮助,
欢迎各位转发吖!
咱们下期见啦!
供稿:中纺联检(泉州)
---------------------------------
如果喜欢,请点击右上角“...”
将这篇文章发送给朋友/分享到朋友圈
您可以直接搜索微信公众账号“中纺联检”
或通过以下方式添加关注


