服务:一天半拼效率和质量,十个月看用心和价值,看客户如何为东软医疗服务点赞?
汝州市人民医院CT室主任张丽伟
“128精睿CT8月29日到达,我们医院开机(典礼)要在9月1号进行。满打满算3天时间,其间还要进行旧设备拆除。时间紧、任务重,东软服务团队没有讲任何条件,他们有条不紊、齐心协力、加班加点,仅用了一天半时间完成了安装调试,提前递交了满意的答卷。设备在使用的过程中,工程师们定期电话回访,来医院走访,还通过远程服务平台进行支持维护,帮助解决平时设备操作和诊断中的不少疑惑。这些服务让我们不但满意,而且还很感动。”
“为东软医疗的服务工程师点赞,为128精睿CT点赞,为东软医疗点赞!”
2015年8月29日7:30,搬运设备和清理现场
2015年8月29日11:30,设备间和操作间两组分别忙碌开了
2015年8月29日16:38,设备间、扫描间安装完毕;安装调试结束
2015年8月30日8:30,安全使用知识和日常操作培训
创新:价值在客户端实现,看帅哥医生如何为NeuViz 128精睿CT点赞?
汝州市人民医院CT室医生张鹏举
“128精睿CT在我院运行十个多月了,设备一直运行很稳定。它扫描速度非常快,辐射剂量小,图像质量高。原来设备发现不了的微小病变,用全新的128以后,1毫米以下的极小病变也清晰可见。截止目前我们一共做了 149例CTA,成功率为99.3%;有202例冠脉,成功率为98.1%,腹部增强280多例,成功率为100%。它的AVW后处理软件功能非常强大,操作起来也非常的便捷,血管自动提取,辅助分析,提高了我们诊断的准确率,而且也节省了时间。我们一共诊断了6400例阳性病变,为我们临床医生的治疗方案提供了充分有效的信息。”
“我为东软医疗的服务工程师点赞,为我们的东软医疗点赞!”
服务创新双剑合璧,128精睿CT临床表现让人由衷点赞!
颅骨三维成像,颅骨修补术后
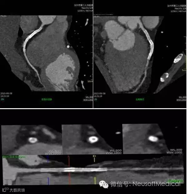
左:主动脉狭窄 右:左侧冠状动脉多发钙化斑
右冠状动脉金属支架置入术后复查,支架内管腔显示清晰
左:双下肢CTA造影,清晰显示左侧股动脉远端重度狭窄
右:正常下肢动脉CTA造影

