大数跨境
0
0

打通肺癌早筛“最后一公里”,东软医疗能做什么?

打通肺癌早筛“最后一公里”,东软医疗能做什么? 东软医疗客户服务
2023-11-17
0
导读:从低剂量CT到AI软件,提供一站式肺部低剂量筛查整体解决方案

每年11月是“国际肺癌关注月”,11月17日是“国际肺癌日”,旨在呼吁世界各国重视肺癌的预防。



在我国,肺癌的发病率和死亡率在所有恶性肿瘤中均居首位。由于早期肺癌多无明显症状,大多数肺癌患者确诊时已是晚期,五年生存率仅为10%~20%。根据权威肺癌筛查指南,低剂量螺旋CT是目前发现早期肺癌最有效的手段,可使肺癌治疗的关口前移,大幅改善患者预后,将五年生存率提升至80%左右。

基层医院作为肺癌防治的“第一道防线”,如何提高CT筛查的安全性和可及性,提升影像学诊断水平和效率,已成为打通肺癌早筛“最后一公里”的核心问题。

为此,东软医疗整合先进的低剂量CT和AI筛查软件,推出了肺部低剂量筛查整体解决方案,助力肺癌早筛在基层加速落地。

▲东软医疗肺部低剂量筛查整体解决方案
         

首创60kV低剂量技术
一次DR的剂量,完成肺部CT扫描
           
当前,随着群众健康意识的不断增强,辐射剂量已成为影响肺癌筛查积极性的重要因素。
           
为进一步提升低剂量螺旋CT筛查的安全性,东软医疗在业内首创60kV超低管电压扫描, 从根本上大幅降低辐射剂量,并搭配O-Dose平台自动毫安技术,实现了微西弗辐射量级。只需90μSv(0.09mSv),也就是一次DR的剂量,即可完成肺部扫描。这对于需要定期复查的肺部结节患者十分友好。   

扫描条件:
60kV,100mAs;SFOV:Small;ED:0.09mSv
重建算法:ClearInfinity
           
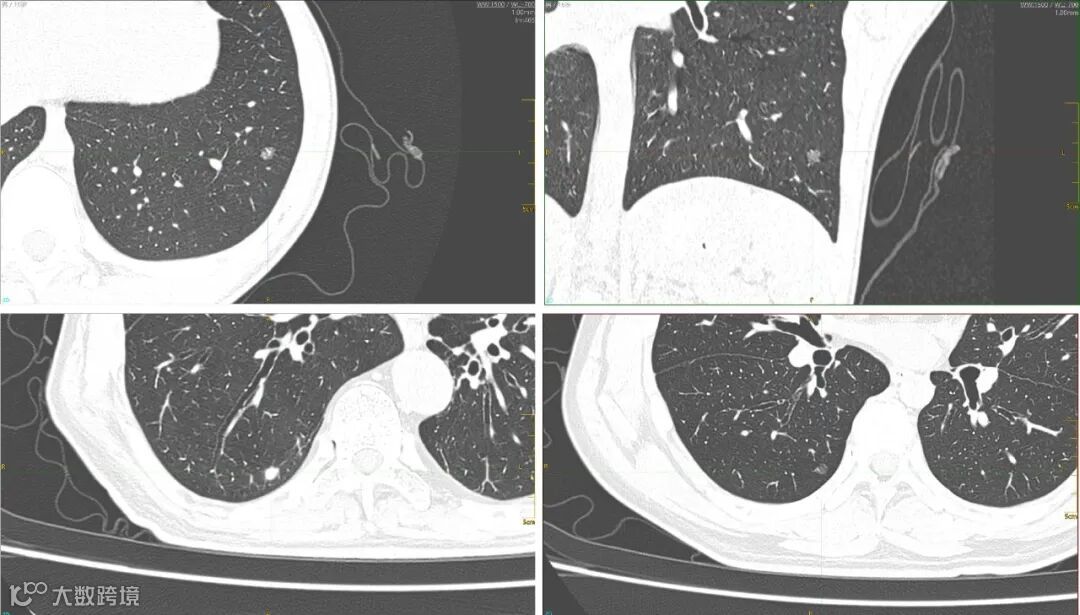
同时,针对较低剂量水平下可能造成的细节信息不够、诊断依据不足问题,东软医疗自主研发的CT深度学习重建算法ClearInfinity,可有效避免图像失真,保持原有的纹理信息,搭配1024x1024百万像素重建矩阵,能够4倍提高分辨率,更好地呈现出肺结节结构及边缘影像特征,有效提高微小肺结节的检出率。
          

肺结节高清显示:ClearInfinity深度学习重建+1024x1024百万像素重建矩阵

           
除提供16层-512层全系列低剂量CT外,东软医疗还开发出搭载5G、影像云和智能诊断技术的车载CT,方便深入偏远乡镇、社区、厂矿等基层地区开展筛查,提升肺癌早筛的可及性。

▲东软医疗车载CT

           
智慧胸AI解决方案
一次CT平扫,多病种智能检出
           
对每一位放射科医生来说,连续的、高强度的阅片工作都是一项不小的挑战。在胸部CT诊断中,仅一例肺癌筛查就有200-300层影像,每日几十、近百例的阅片量,难免会造成微小结节的漏诊。此外,肺癌筛查还需要对结节的形状、纹理等特征进行准确的良恶性判断,非常依赖医生的经验与水平,这也制约了基层医院的诊断能力。行业亟需一种新的工作模式,减轻医师压力,提高基层的病灶检出率。
           
东软医疗基于多款人工智能辅助分析软件,打造出智慧胸AI解决方案,囊括了全胸、全肺健康。基于一次胸部CT平扫,不仅能实现肺癌的智能筛查,还可同时完成对慢阻肺、肺炎、胸部骨折等多种胸部疾病的智能检出,真正做到“一扫多查,一查多筛”。   
           

智慧胸AI解决方案:肺结节AI、肺炎AI、骨折AI、慢阻肺筛查辅助软件

           
在肺癌智能筛查方面,东软医疗肺结节AI辅助分析软件能够自动、快速、不留遗漏地完成肺结节检出工作,并提供准确的性质分类、良恶性判断分析,大幅提升阅片与诊断准确率,让肺癌早筛更加精准高效。
           
防治肺癌,早筛先行。在中国分级诊疗体系不断完善的当下,东软医疗将依托先进的低剂量筛查整体解决方案,助力各级医院提升诊疗能力和智能化水平,为打通肺癌早筛“最后一公里”,贡献更大的自主“影像力”! 

【声明】内容源于网络
0
0
东软医疗客户服务
东软医疗是中国唯一由央企(通用技术集团)作为第一大股东的医学影像产品及解决方案提供商。依托央企平台坚实支撑,公司全力打造高端医疗装备“国家队”,铸就客户信赖之选,积极服务健康中国战略。
内容 144
粉丝 0
东软医疗客户服务 东软医疗是中国唯一由央企(通用技术集团)作为第一大股东的医学影像产品及解决方案提供商。依托央企平台坚实支撑,公司全力打造高端医疗装备“国家队”,铸就客户信赖之选,积极服务健康中国战略。
总阅读0
粉丝0
内容144