夏日炎炎,许多人在空调房里一待就是一整天,不曾想凉意中也隐藏着致命危险。
出现白肺,严重呼吸衰竭
近日,77岁高阿姨连续吹了一周空调,突发高烧39.0℃,伴有头痛、肌肉酸痛,严重的咳嗽咳痰。起初,她以为是吹感冒了,自己吃了点感冒药,但过了两三天病情并未好转,反而愈发严重,出现呼吸困难等症状。
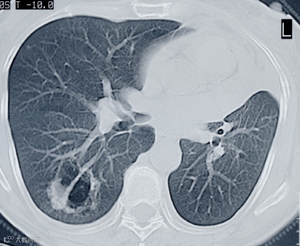
高阿姨就诊发现,她的右肺已出现大面积白色影像,几乎占据一半肺部。血液检测提示,氧合指数只有一百多,属于严重的呼吸衰竭状况。
什么是军团菌?
军团菌特别喜欢在水里和潮湿的环境中生长,在家可通过空调、热水器等设备排出的水雾传播,被人吸入后会引发呼吸道感染。这种肺炎病情发展快,死亡率也较高,尤其是免疫力差的人更容易中招。
军团菌侵入人体大约2-10天后发病。临床症状包括高热、咳嗽、咳痰、呼吸困难等非特异性呼吸道症状,以及头痛、肌痛、腹泻、恶心、呕吐、横纹肌溶解、急性肾功能损害等多种肺外表现,严重者可导致休克甚至死亡。
空调一定要定期清洁
如何远离军团菌肺炎?
给空调 “做体检”定期清洁空调是关键!平时定期清洗滤网,使用空调频率高的时节,每个季度请专业人员上门清洗。开空调时,每隔2—3小时要开窗通风15—20分钟,让室内空气保持新鲜。
不管是家里还是公共场所,都要保持自然通风和机械通风良好,加强室内空气流通,这样能降低空气中军团菌气溶胶的浓度。
最后提醒大家,启用空调前,别忘先清洗,空调深度清洗可以有效去除内部积灰,140℃高温有效灭菌,定期清洗空调还能提高能效,更加节能省电。平时使用时应勤通风,勿贪凉。一旦出现发烧、咳嗽、胸痛等症状请及时就医,切勿忽视。
e帮手服务
微信号丨ebangshou
扫码关注丨官方客服


