
本文章于2016年发表于《中国肿瘤》
由舜喜再生医学编辑整理
导读
宫颈癌的发生与 HPV感染关系密切,但原癌基因被激活和抑癌基因的失活在宫颈癌的发生、发展中亦起到重要作用。FHIT基因是一种抑癌基因,位于3P14.2区域,该基因跨越人类染色体脆性部位FRA3B,在细胞周期调节和凋亡中发挥作用。C-myc基因是一种可使细胞无限增殖、获永生化功能、促进细胞分裂的基因,与多种肿瘤的发生发展有关。研究发现FHIT、C-myc在多种肿瘤组织中呈异常表达,但两者在宫颈癌中相互作用的关系目前尚不明确。

研究内容
用免疫组化方法对宫颈癌组织中FHIT和C-myc的表达进行检测,并检测 HR-HPV感染,结合临床病理资料,探讨FHIT和C-myc在宫颈癌中的表达及与 HPV感染之间的关系,为宫颈癌的早期诊断提供实验室依据
研究方法
本研究资料取某医院 2012年1月至2015年9月手术切除及活检的宫颈组织石蜡包埋标本150例为研究对象。30例正常宫颈标本取自因子宫良性病变行子宫切除术的患者。
1、采用免疫组化SP法检测50例宫颈癌组织、70例宫颈上皮内瘤变(CIN)和30例正常宫颈组织中FHIT和C-myc 的表达情况,并分析其与宫颈癌临床病理特征的关系;
2、采用HC-II法检测HR-HPV感染情况。
研究结果
1、正常宫颈组织、CIN组及宫颈癌组中FHIT的阳性表达率分别为93.3%、67.1%、22%(P<0.05),C-mys的阳性表达率分别为16.7%、47.1%、76%(P<0.05);
2、FHIT 表达与FIGO分期、病理学分级相关(P<0.05),C-mys表达与FIGO分期相关(P<0.05)。
3、HR-HPV在正常宫颈组织、CIN 组及宫颈癌组中的感染率分别为3.33%、28.57%、84%。FHIT与C-myc的表达呈负相关(r=-0.622,P<0.05),FHIT表达与HR-HPV感染呈负相关,C-myc表达与HR-HPV感染呈正相关。

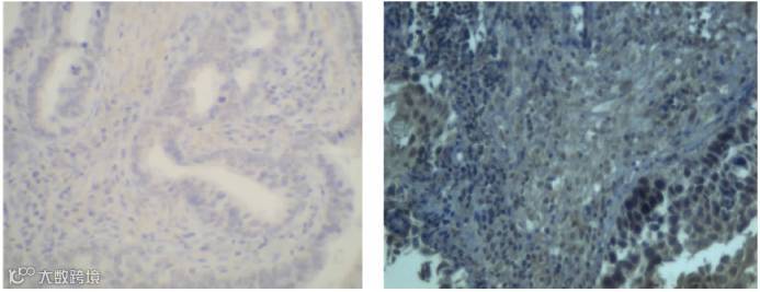
图1、FHIT基因在宫颈癌的表达(SP * 200)
图2、C-myc基因在宫颈癌的表达(SP * 200)
结果分析
联合检测FHIT、C-myc表达及HR-HPV感染情况,可能可为早期宫颈癌诊断提供参考依据。
舜喜再生医学
云南省干细胞库
微信:ynsxzsyx
科学让你重获新生
长按二维码关注

