编者注:Triphibian doctor的观点不一定完全正确,希望在留言处有批评和讨论。
今天Triphibian doctor听一位医生的讲产前超声诊断单纯腭裂,感叹随着超声机器性能的提升,医生的诊断水平的提高,准确度已经很高,必要时还可以辅以核磁共振。
无论在国内或国外的产前超声指南里,单纯腭裂都未被列入常规检查,因此诊断率很低,国内外大部分报道的数据较低,甚至接近零,但也有极少数中心的数据显示较高的检出率。
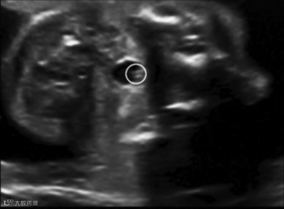
病例:孕妇32y,G2P1,孕20+周,无特殊家族史,常规排畸超声如下发现:


上唇线及牙槽骨连续
超声诊断:继发腭裂(软腭及硬腭裂)。
孕妇接受产前遗传咨询后做了羊水穿刺,染色体核型及CMA未见异常,决定继续妊娠。

足月顺产后证实单纯继发腭
(软腭及硬腭裂)
单纯腭裂在产前是否有发现的理由?
Triphibian doctor思考后的结果是在一定场景下需要:
1.高危人群,有唇腭裂家族史(父母之一唇腭裂,或唇腭裂患儿/胎儿生育史),要求排除唇腭裂及单纯腭裂,for reassurance,父母安心;
2.遗传学检测的结果提示有相关表型的可能,需要在超声上进一步寻找表型。如:产前意外发现22q11微缺失;
3.技术上需要掌握继发腭裂的超声诊断,在发现唇腭裂的情况,需要进一步明确程度,是否累及继发腭;
4.一些中心或超声医生在人群中做筛查,由于孤立的单纯腭裂在人群中发病率较低(唇腭裂发病率约0.1%,单纯腭裂0.04%),需要考虑技术难度,卫生经济学,最重要的是警惕假阳性。任何产前筛查和诊断技术,需要在有能力进行充分遗传咨询的前提下进行,不能唯超声技术论。
典型唇腭裂的发生规律
人类的上唇,腭部,最初都源于颈部的腮状结构,对腭部的成功拼接,起到决定性作用的关键时间,只有数小时左右。

人类胚胎9周时的口腔顶部
(图片来源于网络)
胚胎时期调控因素很多,精细而复杂。对于超声诊断,需要知道经典的唇腭裂发生有一个节点——最早融合点,它能帮助我们知道诊断思路,下面是一张简化的手工图:

继发腭的前部最早融合(节点)
最早融合点已经融合后,能出现的情况:
1.原发腭裂
(1)唇裂约占25%:单侧/双侧(左侧常见)。

(图片来源于网络)
(2)唇腭裂约占50%。其中单侧约75%,单侧约25%。

(图片来源于网络)
2.继发腭/单纯腭裂占25%(从后向前拉链式直到最早融合点)
(1)悬雍垂裂
(2)软腭裂
(3)软腭硬腭裂

(图片来源于网络)
最早融合点融合失败,可能出现:

(图片来源于网络)
典型的面裂极罕有下列情况出现:
1.无唇裂+牙槽骨裂
言下之意,如果你确定上唇和鼻部的冠状切面没问题的情况下,不一定需要获取牙槽骨的标准切面,因为不可能裂,获取牙槽骨切面只是双保险,也练习手法。
2.无软腭裂+有硬腭裂
单纯的继发腭裂是从后向前拉链式出现,最轻微的是悬雍垂裂,其次是软腭裂,最重累及硬腭裂。
3.有原发唇腭裂时,不会出现合并“无软腭裂+硬腭裂”
要不只是原发唇腭裂,要不一裂到底(因为最早融合点融合失败)。
如何排除继发腭裂?
1.悬雍垂正常可排除继发腭裂;(但超声观察相对困难)

正常 (呈“等号”)

异常(呈“双等号”)
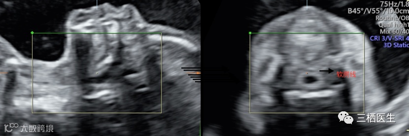
2.软腭线(如果软腭是好的,前面的硬腭也是好的)

完整的软腭线
3.软腭如果异常,再往前看硬腭线,由此确定单纯腭裂的程度。

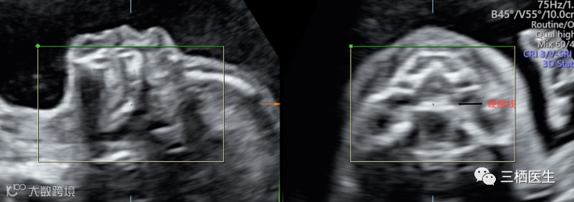
完整的硬腭线
下图可见硬腭线回声中断:
上述几个切面,最容易扫描的是硬腭线,常常作为筛查严重单纯腭裂的平面。
平时的筛查中,胎儿面朝探头时我们会常规扫查牙槽骨,此时略微倾斜探头即能找到硬腭线,继而软腭线,最后悬雍垂。
(悬雍垂看不到也就罢了,目标是发现较重的腭裂。)
需要注意:上述的方法都是筛查,确认需要在矢状切面直接观察。胎儿的理想姿态:面向探头,后仰,张嘴,软腭硬腭尽收眼底!
如果实在无法确认,宁愿漏过,而不要创造疾病。MRI可能是好的辅助诊断方法,需要积累经验。
遗传因素
家族中存在微小病变—仔细询问家族史并对父母进行详细的口腔检查对于评估再发风险是非常必要的。已有家族型唇腭裂和腭裂为常染色体显性遗传和性连锁隐性遗传的报道。
其中最显著的是常染色体显性遗传的唇瘘综合征(Van der Woude综合征)。此综合征可表现为唇瘘、唇腭裂或腭裂。
在表现为单纯性唇裂的个体中,1%-2%个体的唇腭裂由显性遗传的Van der Woude综合征所致。其他微小型病变包括黏膜下腭裂或悬雍垂裂,两者的再发率都高于多因素遗传的单纯性唇腭裂或腭裂。
综合征的表现:
1.染色体22q11缺失(腭裂) — 伴染色体22q11.2缺失的DiGeorge综合征除腭裂以外的其他一系列表现有关,包括:圆锥动脉干畸形、胸腺发育不全,低钙血症等。虽然大多数病例提示新的微缺失,但在多达15%的病例中为遗传。若家族中有圆锥动脉干畸形和/或腭裂的散发病例,需进一步评估22q11染色体的微缺失。
2.口-面-指(趾)综合征,Ⅰ型(唇腭裂) — 这是一种罕见的X连锁显性遗传综合征。其患者的男女比例偏差大及女性患者家族中流产率高,提示该病对男性具有致死性。女性患者的表现多变且轻微,包括系带增生、舌裂、唇中裂、腭裂和指(趾)畸形。X染色体上OFD1基因编码的蛋白质是中心体核心成份,此基因的突变形式多样,无论在散发病例还是家族性病例中都没有特定规律。
3.Treacher-Collins综合征(腭裂) — 此综合征为常染色体显性遗传,具有特征性面部结构,包括睑裂歪斜、小颌畸形、耳发育不良和耳聋。智力发育正常。受累个体可能有各种不同的表现型。
已知该综合征中最常发生突变的基因是TCOF1,且这种突变似乎可增加神经褶融合前的细胞死亡。虽然许多病例都为新发,但是当家族中有耳聋、耳畸形或腭裂的成员,应进一步考虑该综合征的可能。
4.Stickler综合征(腭裂) — 遗传性关节眼病,是一种常染色体显性遗传病,特征为面部扁平、近视和脊椎骨骺发育不良。也可发生硬腭和/或软腭裂,以及悬雍垂裂。
产前诊断
1.入侵性产前诊断是否需要?
答案:是!
发现孤立唇腭裂/单纯腭裂的胎儿尽管合并染色体异常的机会较低,但由于超声检查其他器官畸形的能力有限,故建议仍需要进行入侵性产前诊断。穿刺标本送检:
(1)染色体核型
(2)染色体微小重排(aCGH /SNP array /CNV-seq)
(3)特定情况下进行单基因检测。
2.无创DNA可以吗?
答案:不够!
3.扩展性无创DNA(NIPT plus)可以吗?
答案:数据不足,目前暂不推荐。
总的来说,合并其他结构异常的胎儿合并染色体异常的机会较大,孤立的唇腭裂绝大部分预后好,及时得到整体治疗后,社会适应能力很好。
再发风险
有家族史或既往生育过唇腭裂孩子/胎儿的父母,最希望了解下一胎的再发风险,或患者本人的生育风险。下面是无法确定综合征类型或孟德尔遗传方式多遗传风险:
|
与先症者关系 |
唇腭裂 % |
单纯腭裂 % |
|
一个受累同胞 |
4 |
1.8 |
|
两个受累同胞 |
10 |
8 |
|
同胞和受累父母 |
10 |
|
|
子女 |
4.3 |
|
|
二级亲属 |
0.6 |
|
|
一般人群 |
0.1 |
0.04 |
产后处理和治疗
新生儿的处理必须重视喂养和气道管理。
先天性腭裂的孩子需要长期的综合护理,包括外科、牙科和言语病理学。
腭裂修复的时间是有争议的,从出生后不久到6岁不等。反对早期修复的争论主要在于抑制面部生长,而反对晚期修复主要在于对语言能力抑制方面。
目前大多数颌面外科医生关注的是9到18个月之间的某个时期进行的修复类型。由于缺乏长期疗效和结果的证据,每个外科医生选择的腭修复技术和时机在很大程度上取决于外科医生的训练、舒适度和偏好。
2007年一项针对306名美国颌面外科医生的调查显示,85%的外科医生在患者6至12个月大时进行腭裂手术。有证据表明,儿童在7岁后腭修复效果欠佳,因为重要的语言能力阶段有所错过。
展望未来
在推进唇腭裂研究中有五个关键的主题:
1.监测腭裂的发生机制(能力构建);
2.严重程度的详细表型(生物学);
3.了解遗传和环境危险因素(一级预防);
4.获得早期发现和多学科治疗(临床服务);
5.了解有腭裂儿童的家庭中复发的预测因素和可能的干预措施(二级预防)。
三栖医生观点:每个孩子来之不易,不过度诊断,不轻言放弃。珍惜并关爱他们!
题图来源:网络
参考文献:
1.Poirsier C, Besseau-Ayasse J, Schluth-Bolard C, et al. A French multicenter study of over 700 patients with 22q11 deletions diagnosed using FISH or aCGH. Eur J Hum Genet. 2016;24(6):844. Epub 2015 Oct 28.
2.Romio L, Fry AM, Winyard PJ, Malcolm S, Woolf AS, Feather SA. OFD1 is a centrosomal/basal body protein expressed during mesenchymal-epithelial transition in human nephrogenesis. J Am Soc Nephrol. 2004;15(10):2556.
3.Dixon J, Brakebusch C, Fässler R, Dixon MJ. Increased levels of apoptosis in the prefusion neural folds underlie the craniofacial disorder, Treacher Collins syndrome. Hum Mol Genet. 2000;9(10):1473.

