妊娠期孕妇子宫内常见的“带子”多为:宫腔粘连带、不全纵隔、羊膜带、轮状胎盘、多胎间的羊膜分隔。这些疾病对于妊娠期的影响各不相同,程度也有轻重之分,很多超声医生在工作中经常面对一条“带子”心存疑虑,不知道如何诊断,今天由西北妇女儿童医院医学超声中心张喻为大家详细讲解。
宫腔粘连带多有相应的病史,比如:孕产史、宫腔操作手术、以及宫腔感染性疾病史,这些病史会使得孕妇在受孕前有宫腔的炎症而造成的局部粘连,在妊娠中晚期因为羊水无法通过粘连带,仅在粘连带周围绕行而形成的宫内带状回声。想象一下,当把两层粘在一起的膜撕开一部分的时候,两者之间会出现一个两侧边向内凹陷的类似🔺形,所以宫腔粘连带的基底部较宽,呈“人”字形。

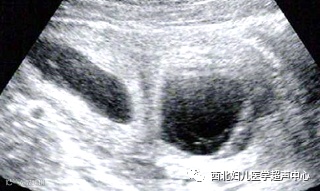
不全纵隔是一种子宫先天性发育畸形,它是两侧副中肾管部分为融合形成的。不全纵隔是一部分由宫底向宫腔延伸的肌性组织,将部分宫腔分为两部分,在妊娠后羊水绕过纵隔形成的宫内带状结构。因为纵隔为肌性组织,所以带状回声较宽、回声低,两侧基底与子宫肌层相连。


羊膜带是部分羊膜与绒毛膜分离,漂浮于羊水中形成的,是一条较为纤细的带状强回声,它的基底部是丿的形状。由于羊膜带会黏附于胎儿躯体任何部位,会对这些部位造成束缚、缠绕、压迫,使得胎儿相应部位的发育异常,这种现象被称为“羊膜束带综合征”,宫腔内羊膜带的诊断对胎儿的发育结局尤为重要。

轮状胎盘,可以理解为羊膜比绒毛膜面积大,因而在胎盘胎儿面形成的褶皱样结构突向羊膜腔。所以只需要超声医生仔细多切面搜查即会发现这种“带子”在某些切面上在胎盘胎儿面下呈现的是一个末端略称囊状的突起。

多胎间羊膜分隔,相对来说诊断起来较为简单,胎儿之间的带状分隔,根据基底部呈“人”形,还是“T形”,来诊断多胎的绒毛膜性。

总而言之,在诊断妊娠期宫内带状回声的时候,首先要观察带状回声基底部的形态,询问病史很重要,掌握正确的相关信息,会给诊断带来正确指导。正确的超声诊断可以更好地为临床医生诊疗带来帮助。
作者:张喻
来源:妇儿超声小点公众号

