大数跨境
0
0

栖时光 | 一个产科医生的超声进阶之路

栖时光 | 一个产科医生的超声进阶之路 astraia胎儿医学软件
2021-03-22
0

李达 /达叔

中山大学八年制博士,产科医生,业余时间学习产科超声,一年余。


曾经有句很唬人的话:看到超声机Sub下的Menu是不是很想死?

高端超声机的子菜单,像盗梦空间,层层穿透梦境,里面没有坚硬的陀螺,而是逻辑严密的矩阵,化为图像之美,容你游弋天地,饮马江湖……

当然大部分人(包括Dr. Yang)的现实是:
  1. 厂家应用医生设置好的条件;

  2. “一键优化”。


而达叔乐在其中,机器调节、参数设置、导入新文献数据并生成曲线,把很多科班超声医生搞得七晕八素,又仰慕不已。

大部分超声医生往往面对海量的病人,执业之初即是冲锋陷阵实操打硬仗,边打边学。

达叔practice的机会有限,基本是粮草先行,把超声理论、解剖、胎儿病理生理和遗传学基础弄清楚,用那颗在产科一线摸爬滚打多年的沧桑的心,品味母胎医学之精妙。

达叔在公众号文章《为何需要选择正确的胎儿生长参数》录制了如何设置超声机器的胎儿生长参数,这次达叔录制了一个应用容积数据后处理的方法,解决无法通过常规扫查完成的NT测量

并非新颖的方法,仅仅Mark一下作为产科医生的超声进阶之路。

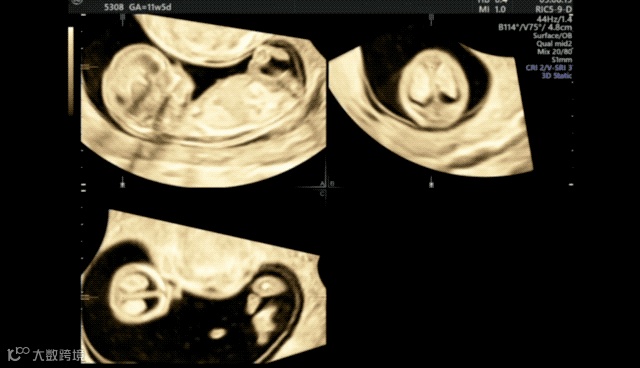
容积数据来源:中山大学附属第六医院超声科
机器:GE Voluson E10

大家在看完视频后,最大的疑问可能是:容积数据测量NT靠谱吗?这个问题,其实已经有大量的研究论证过。目前的研究表明:在良好的容积数据中获取的NT、头臀长等数据,与二维超声获取的数据,没有统计学差异。


视频分解

在经腹部检查时,有时受胎儿体位、子宫位置、腹壁脂肪等多种因素影响,难以获得理想的切面,这个时候就可以考虑经阴道超声来测量NT。

经阴道探查

但是,超声探头在阴道内活动度有限,要获取理想的切面,对胎儿位置要求很高,而很显然,这是我们无法控制的。经阴道超声测量NT有一些小技巧,比如调整容积探头的β-view角度可以获得更理想的切面,但总的来讲,这些技巧对操作熟练度要求仍然很高。

但阴道探头频率高分辨率高,获得的容积数据也同样具有更多的细节,这使得利用容积数据获取标准切面成为可能。这个视频就教大家如何处理容积图像。

1



先在这个切面上获取容积数据,这里有一个小细节,胎儿任何的活动都可能使容积数据分辨率大大下降,所以一方面采集图像要在胎儿静息时,另一方面可以嘱咐孕妇在图像采集时屏住呼吸。

2



在超声机菜单上选取muti-plane、四幅画面,获得这张图。muti-plane多平面模式不同于render渲染模式,渲染模式下选择单幅画面只会显示3维图像,多平面模式就可以单独放大abc平面。

3



加载VCI,选择1mm层厚。VCI是容积对比成像,可以改善图像质量。

4


A平面是胎儿矢状切面,B平面是胎儿横切面,c平面是胎儿冠状切面。单纯旋转a切面很难获取标准正中矢状切面的,我们需要借助bc平面,只要bc平面标准了,a平面也自然是标准了。所以bc平面要选择能够快速识别是否标准的标志物,这里我选择了大脑镰,目标是b平面上大脑镰绝对垂直、c平面上大脑镰绝对平行,这样我们的a平面就是胎儿正中矢状切面了


适当放大图像,在a 平面移动观察点,让b平面容易辨认

5



在b平面移动观察点,让c平面容易辨认,注意b平面的观察点要放在大脑镰上,这样当b平面垂直后,才能在a平面上显示的是正中矢状切面。

6



在点选a平面情况下,旋转xy轴,让bc平面达到我们预期的位置,就可以看到a平面已经基本显示出正中矢状切面了。

7



微调后,我们在菜单内选择a平面-单幅图像,放大,就可以测量头臀长。

8




接着继续放大a平面,使胎儿头胸部占据整个画面,微调后显示NT的两条线,降低增益,完成NT测量就可以了。

9




接着我们还可以进一步处理容积数据,获得我们想要观察的其他平面,这里以鼻后三角为例。

选择双幅画面,a平面为胎儿正中矢状切面,观察点设置在胎儿鼻骨位置,旋转a平面,可以在b平面获取胎儿面部冠状切面,显示鼻后三角平面。

除了上述方法,也可以使用诸如omniview自由解剖获取想要观察的切面。

题图来源:网络

编辑:林静 刘璐




跨越产科+超声+遗传,连接医生和患者

循证是我们与不确定性对话的基础



【声明】内容源于网络
0
0
astraia胎儿医学软件
领先的产前诊断及胎儿医学影像数据管理软件
内容 108
粉丝 0
astraia胎儿医学软件 领先的产前诊断及胎儿医学影像数据管理软件
总阅读61
粉丝0
内容108