
公司介绍
纳米纤维素领域超越韩国一流,与世界领先企业齐头并进的企业。集团以(株)亚洲纳米科技为中心,由亚洲纳米纤维素(株)与马来西亚沙巴州的Asia Nano Sdn.Bhd.构成,是一家纳米纤维素专业企业。纳米纤维素采用纳米技术,将天然高分子物质纤维素制成新概念物质,以北欧、北美、日本等部分发达国家为主,活跃开展此项研发。尤其是日本政府正在积极支持其研发及实现商务化。近期,韩国的部分大学和研究机关也在积极开展研究。
集团已开发并申请球形纳米纤维素专利,它不同于发达国家开发的棒型纳米纤维素,是一项固有的独家技术。
集团注重纳米纤维素的各种优点和价值,集中研发产品。结果,已注册大量专利、确保批量生产技术和批量生产设备。面对新高度的挑战,公司将致力发展纳米纤维素领域,超越韩国最高水平,与国际领先进企业齐头并进。
纳米纤维素化妆品

CNF在水分中分散稳定度高,因此能均一地分散化妆品的其他成分,接触皮肤后发挥较高的含水力,让化妆品的有效成分更加持久。
Natural Friend基于开发出的各类CNF,根据各种化妆品要求的特点调节CNF,让化妆品有效成分的作用更加持久。
被誉为化妆品业“理想材料”的CNF化妆品,获选《日经潮流》2016年预测热销商品第四名
公司开发 CNF 特点
天然物质、可再生
生物相容性
强力吸水率
高表面积和纵横比
高化学功能性
高尺寸稳定度
生物降解性
高热稳定性
其他
与其他成分的水分蒸发对比实验

公司开发球形 CNF的水分保有力
随时间经过的CNF水分减少实验结果显示,CNF比透明质酸和胶原蛋白更加优秀。
Natural Friend 纳米纤维素

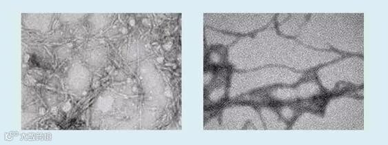
开发球形CNF、申请专利
开发球形CNF、申请专利
不同于现有棒型纳米纤维素的Natural Friend独家技术
调节棒型CNF与球形CNF的混合比率,可开发出各种产品
*摄影∶首尔大学NICEM TEM(透射电子显微镜)
纳米纤维素应用领域

纳米纤维素 & 纳米技术(Nanotechnology)
纳米技术(Nanotechnology)是在各类产业领域适用将物质缩至纳米(十亿分之一米)大小后产生新性质和现象的科学技术。
纤维素缩至纳米大小后呈现出比微米单位更加卓越的优点。
纤维素资源及概要

纤维素 & 纳米纤维素
纤维素是植物体细胞壁的主成分,作为一种天然的高分子物质,对人体无害,拥有多项特点和优点。
将纤维素制成十亿分之一的大小(10-9m), 即相当于发丝万分之一程度的纳米纤维素,可应用于多种领域。
Natural Friend使用清净地区——马来西亚沙巴州生长的特定植物作为原料而生产。
产品介绍
自然朋友水漾防晒精华霜

有效阻断UVA和UVB,保护肌肤免受紫外线伤害的防晒霜。柔软质地,无黏腻,有助于打造柔嫩肌肤。
水漾防晒精华霜可将水分和养分传递至树叶的自然秘诀——CNF(纳米纤维素)融入防晒霜中!
物理性防晒
UVA/UVB
形成VEIL
化学性防晒
分解UVA/UVB
水漾防晒精华霜 SPF50 PA++++全球首款采用“理想材料”CNF的防晒霜
理想材料化妆品
丰富水分
轻盈质地
无黏腻,清爽触感
采用“理想材料”CNF的化妆品被评选为“预测热销商品”!!
皮肤干燥/损伤/光老化
UV是罪魁祸首
吸干皮肤水分,令皮肤变得干涸
降低皮肤弹性
诱发黑斑、雀斑、瑕疵等,导致皮肤色素沉着
让皮肤变得黝黑、粗糙
四季必备
SPF50 & PA++++超强防晒效果!!!
还有水润触感和定妆效果以及抗皱、美白功能!!!

提升水润感,摒除黏腻感
含50%的水分、低分子保湿剂、透明质酸以及15%的CNF,无黏腻,呈现丰富水润感
如补水精华爆发般,拥有水润高保湿精华使用感
植物性舒缓脂质体,皮肤刺激较低
不泛白、无脱妆!!提升妆容贴合力和持妆效果
无厚重感,轻盈质地
UVA、UVB复合吸收剂和高分子防晒剂的最优组合
采用皮克林乳液技术,清透阻断紫外线
抗皱、美白功效
含腺苷成分,有效改善皱纹
含烟酰胺成分,有效美白皮肤

产品详情
完美的紫外线防护技术(Perfect UV Shield)

Pickering Gel Emulsion技术
Pickering Gel Emulsion Technology
化学性防晒
纳米胶囊
物理性防晒
如同反光板,反射紫外线
形成紫外线防护层(UV Shield Veil)

精油、紫外线吸收剂
在皮肤上呈半透明啫喱状
无黏腻,持久维持丰富水润感
无泛白现象,清透阻断紫外线
形成紫外线防护膜并反射紫外线,防止紫外线渗透皮肤内,最大程度减少皮肤刺激。
纳米胶囊形成皮肤保护膜“Polimeric Gel Emulsifier”赋予 “水润触感”
“Polimeric Gel Emulsifier”,无黏腻,呈现丰富水润感
SPF50 & PA++++超强防晒效果
无厚重感,轻盈质地
如水分精华爆发般水润的高保湿防晒精华
令肌理变得柔滑&有效舒缓肌肤
产品特点
含有CNF(纳米纤维素)的
01.采用“PickeringGel Emulsion”技术,无黏腻感

质感柔软,涂抹感柔滑,妆前妆后,亦可轻松使用。

02.防晒啫喱型,纳米油乳剂

无黏腻,质地轻盈、水润、娇嫩,使用感高级。
03.物理性/化学性防晒最优组合

无油光、无脱妆,清爽水润的皮肤防晒护理产品。
含有CNF(纳米纤维素)的植物性舒缓脂质体
04.专为脆弱皮肤推出的优质、温和、细腻的独一无二的防晒产品。

什么是CNF(纳米纤维素) ?
CNF(纳米纤维素)是从植物中提取的天然葡萄糖Natural Friend公司是全球首家利用CNF(纳米纤维素)制造化妆品的企业纳米纤维素作为环保型自然主义天然材料,具备高效皮肤渗透力、高保湿力、持久力以及缓解皮肤问题等效果,并已获得验证。
为肌肤深层注入水分的渗透力
CNF厚度仅相当于人类头发丝的十万分之一为肌肤深层注入水分。
加强皮肤屏障,完美的保湿功能
CNF(纳米纤维素)天然保湿成分因拥有最优结构形态,易于渗透至因紫外线、环境污染、洁面等导致的干燥皮肤(真皮层)深层,能够活跃水分供应、加强皮肤屏障的同时,以吸水性和锁水性防止水分流失,呈现完美的保湿功效。

主要成分介绍
CNF

将生物技术和纤维素结合制成纳米,最大程度提升功效的物质,为纯葡萄糖天然高分子物质。
MULTI BSASM PLUS

由6种(牛蒡、紫苏籽、卡法椒、红花油、月见草油提取物)
天然植物提取成分构成
温和舒缓敏感、脆弱肌肤
透明质酸(HYALURONIC ACID)
采用Pickering Gel Emulsion技术,让水分渗透至
肌肤深层,拥有更优秀的保湿效果!
保湿泡沫洗面奶

丰富柔软的细微泡沫,能够彻底清除代谢物,洁面后无紧绷感,是一款水润高保湿泡沫洗面奶。
保湿泡沫洗面奶
可将水分和养分传递至
树叶的自然秘诀——
CNF(纳米纤维素)融入洗面奶中!
保湿泡沫洗面奶
温和清除皮肤代谢物
并具备水润保湿感的高级洗面奶
保湿泡沫洗面奶
全球首款采用“理想材料”CNF的洗面奶
Natural Friend #保湿泡沫洗面奶

理想材料化妆品
双倍泡沫
细微泡沫,双重按摩
彻底清洁毛孔的完美泡沫洗面奶
采用“理想材料”CNF的化妆品被评选为“预测热销商品”!!
保湿泡沫洗面奶留住水润保湿感的高级补水洗面奶
复合双倍泡沫,温和清除毛孔内皮脂和污垢!!
保湿泡沫洗面奶
无需双重洁面,亦可彻底卸掉妆容
洁面后也无紧绷、无干涸,赋予面部闪耀光泽,具备高效渗透力和超保湿效果的CNF补水洗面奶!

什么是CNF(纳米纤维素) ?
CNF(纳米纤维素)是从植物中提取的天然葡萄糖
Natural Friend公司是全球首家利用CNF(纳米纤维素)制造化妆品的企业
纳米纤维素作为环保型自然主义天然材料,具备高效皮肤渗透力、高保湿力、持久力以及缓解皮肤问题等效果,并已获得验证。
为肌肤深层注入水分的渗透力,CNF厚度仅相当于人类头发丝的十万分之一,为肌肤深层注入水分。加强皮肤屏障,完美的保湿功能,CNF(纳米纤维素)天然保湿成分因拥有最优结构形态,易于渗透至因紫外线、环境污染、洁面等导致的干燥皮肤(真皮层)深层,能够活跃水分供应、加强皮肤屏障的同时,以吸水性和锁水性防止水分流失,呈现完美的保湿功效。
形成皮肤水分池
CNF吸收许多水分,形成水分池(Water Pool)呈现前所未有的持久保湿效果。改善敏感、脆弱肌肤的痘痘问题CNF不仅能够加强保湿效果,还能改善痘痘等皮肤问题。
产品详情
01. 含有纳米纤维素(CNF)的专业高级补水泡沫洗面奶

丰富温和的高密度泡沫。能够彻底清洁毛孔
02. 复合泡沫清洁技术

丰富大泡沫和细腻微泡沫结合,兼具清洁和按摩效果!!
03. 高保湿质地,洁面后无紧绷感

CNF补水洗面奶含30%的多元醇保湿剂和纳米乳液,有助于保持皮肤内的高保湿力,令洁面后的面部散发闪耀光泽
主要成分介绍
CNF将生物技术和纤维素结合制成纳米尺寸,最大程度提升功效的物质,
为纯葡萄糖天然高分子物质。
植物角鲨烷
天然角鲨烷能够形成薄膜,保护皮肤免受外部伤害,同时从洁面阶段起锁住水分。
月见草油的功效
有助于改善粗糙肌肤,抵御衰老,加强皮肤屏障,保护皮肤免受外部有害环境伤害。
功效
有效舒缓受刺激的肌肤,并形成保湿膜,洁面后也可令肌肤水润娇嫩。
水润靓肤提亮霜

拥有即刻亮肤效果,打造焕亮肌肤,且弹润水珠不断迸发出水分,令肌肤持久水润。
水润莹采亮肤霜
可将水分和养分传递至树叶的自然秘诀——CNF(纳米纤维素)融入洗面奶中!
只有#纳米纤维素,才可成就#CNF化妆品【美白抗皱双重功能性,加上超保湿效果】
高功能性亮肤霜和高保湿补水霜合二为一!!!
水润莹采亮肤霜
水珠润泽感 #完美贴合
持久控油补水霜
水润精华触感
CNF亮肤霜
水润莹采亮肤霜
全球首款采用“理想材料”CNF的亮肤霜
Natural Friend #水润莹采亮肤霜
理想材料化妆品
丰富水珠的水润保湿
兼具补水和亮肤功能
令肌肤柔滑健康

令黯沉肤色即显焕亮,丰富水分迸发,内含高分子发酵复合体& 透明质酸成分,无紧绷感,为肌肤温和补充水分的CNF亮肤霜
如原始肌肤般,打造自然高贵肌肤,20%水溶性保湿剂,0%软化油技术和维生素B3衍生物具备血流改善效果,不仅能够即刻提亮肤色,还能使肌肤重拾原有活力.抗皱和美白功能性产品,从根源改善肌肤状态柔润精油涂层微粒

持久水润的补水霜效果
无紧绷感,为肌肤温和补充水分
易于补充肌肤水分的温和乳霜质地,无脱妆,可自然提亮肤色的CNF亮肤霜
自然提亮肤色,更兼具美白和抗皱效果!!!
演绎素颜般的自然美肌
相比厚重质地,更加轻薄的妆前隔离霜
相比人为的水光效果,呈现自然光彩
纳米纤维素CNF亮肤霜

什么是CNF(纳米纤维素) ?
CNF(纳米纤维素)是从植物中提取的天然葡萄糖,Natural Friend公司是全球首家利用CNF(纳米纤维素)制造化妆品的企业纳米纤维素作为环保型自然主义天然材料,具备高效皮肤渗透力、高保湿力、持久力以及缓解皮肤问题等效果,并已获得验证。
为肌肤深层注入水分的渗透力
CNF厚度仅相当于人类头发丝的十万分之一为肌肤深层注入水分。
加强皮肤屏障,完美的保湿功能
CNF(纳米纤维素)天然保湿成分因拥有最优结构形态,易于渗透至因紫外线、环境污染、洁面等导致的干燥皮肤(真皮层)深层,能够活跃水分供应、加强皮肤屏障的同时,以吸水性和锁水性防止水分流失,呈现完美的保湿功效。

亮点一
自然肌肤
水润莹采亮肤霜
唤醒肌肤焕亮光彩的乳霜质地
呈现如原始肌肤般的水润自然肌肤
令肌肤持久保持自然状态。
亮点二
10%软化油
无油感、无油腻
带来水润使用感
可清爽渗透肌肤的亮肤霜。
亮点三
水滴型,20%保湿剂
散发光彩的“补水亮肤霜”
CNF亮肤霜呈现自然隐约光彩,如补水霜般拥有惊人的
水润保湿效果,能够自然贴合肌肤。
亮点四
硅油型
无黏腻的水嫩触感
在夜幕下也可令肌肤散发焕亮光彩的亮肤霜。

主要成分介绍
CNF
将生物技术和纤维素结合制成纳米,
最大程度提升功效的物质,
为纯葡萄糖天然高分子物质。
牛蒡根提取物
活跃皮肤新陈代谢,赋予皮肤活力,
抑制毛孔中的皮脂生成,
有助于健康呵护毛孔。
紫苏籽提取物
健康呵护肌肤
让肌理变得柔滑
帮助打造娇嫩且富有活力的肌肤。
卡法椒叶/根/茎提取物
为肌肤注入丰富水分
增添水润感,赋予高保湿效果。
低分子&高分子透明质酸复合体
透明质酸复合体能够将水分传递至肌肤深层,水润呵护肌肤。
创新型氨基酸衍生物
Cell Pump功能能够将水分吸进皮肤细胞内,为因工作与压力变得干涸的细胞补充水分。保护肌肤免受外部环境伤害
天然蘑菇的力量,β-葡聚糖形成皮肤的天然保护膜有效护理皮肤问题及炎症。
感兴趣的企业,快快联系我吧!
联系人:李成姬
电 话:158-4115-8719
邮 件:kotra_dlc@163.com
微 信:



