近日,思源智慧医疗科技利用三维重建技术助力福建医科大学附属第二医院神经外科团队为一例颅骨缺损患者个性化定制康复护具。
病例资料
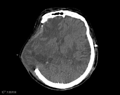
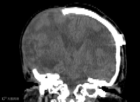
患者,女,66岁,右侧颅骨缺损
患者脑CT检查
对于颅骨缺损患者术后的康复,对脑组织的保护是十分重要的。传统的护具采用头盔式佩戴,难以实现对不同患者个性化的保护,并且造价高昂且佩戴不舒适,在炎热的夏天给患者带来极大的痛苦。
考虑患者的情况,神经外科团队决定采用思源智慧医疗3D打印康复护具,为患者提供个性化的保护方案。减少了患者二次受伤的风险,同时也满足了佩戴舒适的要求。
最终,患者顺利康复出院!家属激动地说:“非常感谢二院神经外科为她定制的护具,让她有了个舒适的夏天!”
福建医科大学附属第二医院
神经外科
福建医科大学附属第二医院神经外科开展于1969年,是泉州市最早创建的神经外科专业学科,经过五十年不懈的努力、发展、壮大,目前已建设成为设备先进,技术力量雄厚,人才梯队合理、专业结构较齐全,有较明显的专科特色,在医疗、教学、科研三位一体的综合性学科,是闽西南地区一流的神经外科治疗中心之一。
近年科研快速发展,形成了脑胶质瘤、脑血管病、颅脑损伤等多个稳定的研究方向,科室已结及在研各级课题32项,其中省部级及以上课题18项,累计科研经费近400万元,发表SCI文章35篇,国内核心期刊50余篇。
科室承担福建医科大学及泉州医高专的教学任务,拥有神经外科显微实验室一个,2016年成为国家神经外科住院医师规范化培训基地,是天坛医院神经病学联盟单位。
全科医护人员本着“诚心诚意为病人服务”的宗旨为广大患者提供优质的医疗服务。
思源智慧医疗科技

