近日,思源智慧医疗技术团队运用3D打印技术,精准助力厦门大学附属心血管病医院血管外科团队,成功为一名“慢性血栓栓塞性肺动脉高压”患者顺利实施了肺动脉血栓内膜剥脱术。
这是一位33岁的男患者,十余年前曾有气胸曾行胸科手术,反复下肢静脉血栓,肺栓塞。长期活动后气促,长期口服利尿、抗凝、降肺压药物治疗。但患者服药不规律,此次入院前两月前开始出现气促,稍一活动即感气促明显,并未重视未诊治。入院两天前无明显诱因出现咯血,就诊于当地医院予药物对症治疗,行心脏彩超提示“右心房血栓 重度肺动脉肺栓塞待诊”,为进一步诊治,慕名来到厦心医院。
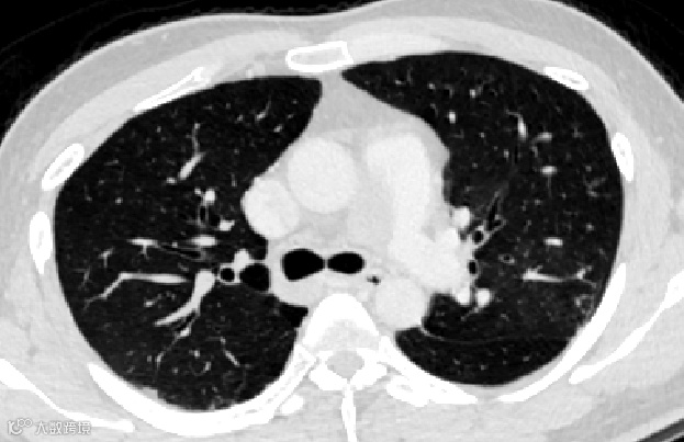
经ct评估,发现患者双肺多发肺动脉栓塞,右肺动脉干远端血栓形成并钙化、主肺动脉稍增宽、右心房血栓形成并钙化可能。针对患者情况,专家们进行多学科会诊,认为该患者情况复杂,建议实施开胸手术取出栓塞物。
考虑患者情况特殊,血栓分布较广,血管外科团队术前采用思源智慧医疗3D打印模型,观察血栓的分布情况,对手术进行规划。降低了手术时间,减少了手术风险,最终手术圆满成功!家属激动地说:“是厦心医院给了他第二次生命”。
思源智慧医疗术前肺动脉数字模型
思源智慧医疗术前肺动脉3D打印模型
手术中取出的栓塞物
强海峰主任介绍,肺动脉栓塞患者大多是由血液处于高凝状态或者血管内皮损伤、静脉血液淤滞等原因引起的。患者会表现出呼吸困难以及咳嗽、晕厥等症状。手术治疗可以在一侧或者双侧肺动脉中进行,根据栓塞不同类型,选择不同的手术方式,如双侧肺动脉均有栓子,即栓子累及主动脉,应在体循环下胸骨正中切开进行手术,进行血栓动脉内膜剥脱术。为取得术后良好的效果,需要仔细的解剖,因为血栓栓子完全与肺动脉紧密黏连,需要医生仔细分离找出分界线,极大部分使内膜保存完整,应谨慎手术。
专家简介
强海峰
厦门大学附属心血管病医院
副主任医师、博士,毕业于广东省心血管病研究所,现任医疗组长。
长期从事心脏大血管外科临床、科研教学工作,积累了丰富的临床经验。擅长微创胸腔镜下心脏瓣膜、房颤消融术,微创先天性心脏病手术;A型主动脉夹层急救外科手术以及支架植入及杂交技术;ECMO技术以及冠状动脉搭桥及其他心血管外科疾病。
担任国家微创心血管外科专业委员会全国委员、福建省胸心血管外科学会青年委员、海峡两岸医药卫生交流协会台海医学会心血管外科学组及福建省海峡医药卫生交流协会心血管外科分会学会理事、中国研究型医院学会体外生命支持与循环专业委员会委员、厦门市心外科分会常委。主持市级科研项目1项,参加国家级科研项目三项,获得厦门市科技局厦门市科技进步三等奖一项。
思源智慧医疗公众号
扫码关注我们

