现场专家教授莅临海卓科赛医疗展位参观指导

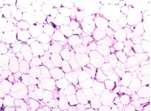
正常脂肪组织主要由大量群集的脂肪细胞构成
富贵包内纤维组织大量增生,相互包绕脂肪组织
面对体雕领域对更高安全性、更佳效果的迫切需求,海卓科赛医疗带来的海卓刀®水外科手术系统,凭借其核心原创技术,提供了破局方案。系统创新利用高速可控超微水射流产生的文丘里效应,能精准、柔和地剥离并同步抽吸清除“富贵包”内的致密纤维与脂肪组织,实现病源切除与即时清理的闭环操作。
· 海卓刀柔性精细双泵设计,具有优异的组织选择性。超低压无损剥离松软脆弱组织;高压强劲高效消融顽固纤维化组织。告别旋切刀无差别“暴力”切除,大幅减少术中出血;突破传统抽吸局限,有效处理传统方法束手无策的纤维化组织。得心应手,完美手术。
· 海卓刀水压控制精度是同类产品的8倍,这意味着术中动力输出极其稳定,医生操作更可控,能最大限度降低血管、神经误损伤风险,大幅提升手术安全性,效果更确切,患者满意度自然更高。
· 提供14档宽范围功率调节,档位数量多于同类产品(通常约10档)。更精细的分层能力,使海卓刀®能精准适配不同密度、特性的组织(从疏松脂肪到软骨组织),不仅适用于“富贵包”等复杂体雕,在身体多部位塑形及其他外科科室的适应症范围也显著拓宽。
· 全球首创直径仅4.7mm的精细刀头(比同类产品缩小30%),长度>12cm。切口更小,可达范围更广,实现超微创入路,减少组织损伤和术后痕迹。
· 可视化智能触摸大屏简化操作,缩短学习曲线;高端零间隙吻合工艺,契合医美领域对美学与品质的双重追求。
蒋笑博士基于严谨的循证医学研究,为海卓刀®的技术突破性提供了强有力支撑。研究对比了海卓刀®、传统气动抽吸和旋切刀抽吸三种术式治疗“富贵包”的效果:
——暨南大学附属第一医院 蒋笑博士
海卓刀®清除富贵包案例-术前术后对比
参考文献
[1] 王坚,朱雄增.软组织肿瘤病理学[M].北京:人民卫生出版社,2017.

