
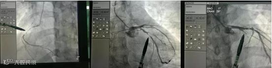
爬山散步,本应是一个不太激烈的运动,然而,年仅32岁的刘先生中途却突然剧烈胸痛,同行的朋友吓得立马将他送到附近医院—深圳市龙岗区人民医院,经检查,确诊为心肌梗死,不得不紧急进行心脏支架植入手术。他万万没想到,自己年富力强,居然因为心梗进了医院,而心梗的原因,竟然跟自己一个20多年的习惯有关。

原来,刘先生因工作原因,需要长期熬夜,作息时间也很不规律。当医生问到他是否有吸烟的习惯时,刘先生坦言:“我从小学三年级就开始吸烟了,吸烟史起码有20多年,每日要吸1-2包。”

由于长期吸烟,他的三支血管已“面目全非”,为预防术后发生急性心衰,医生还为他植入了IABP泵辅助治疗。
深圳市龙岗区人民医院胸痛中心黄战军主任提醒大家:“吸烟是引起心血管疾病的重要危险因素之一。不管是在国内还是国外,冠心病都位列吸烟致死疾病的前三位。”
吸烟可引起小动脉收缩,导致发生动脉硬化。,对已存在心血管疾病的患者来讲,吸烟就更加危险了,有时1支烟就可诱发心绞痛甚至心肌梗塞!
其实,刘先生并非特例。2019年1月22日国家心脑血管病联盟牵头发布的《中国中青年心脑血管健康白皮书》(以下简称“白皮书”)指出:我国心脑血管疾病年轻化趋势明显,20岁~29岁人的患病/高风险人群占比已经达到15.3%,30-39岁人群达到29%,40-49岁达到34.4%,且患病/高风险的中青年治疗状况并不理想,64.4%的人并未接受过医学治疗。

白皮书还对职场人工作压力、焦虑情况、疲倦、睡眠情况等多重因素进行了详细剖析,并在研究基础上提出了一系列有利于中青年心脑血管疾病防治的有效建议。

除了这些建议,小编也顺便介绍一下心梗的形成和发展机制及相关风险检测技术。心梗、脑梗属于动脉硬化性心血管疾病,是危害全球居民健康的首要疾病,也是中国居民健康的“1号杀手”。据国家心血管病中心统计,我国平均每5个死亡病例中,有2例死于心血管疾病,心血管疾病造成的死亡人数超越癌症、消化道、呼吸道等各类疾病,居各类疾病首位。
据统计,大部分动脉硬化性心血管患者都存在高血压、血脂异常、糖尿病、抽烟等一个或多个传统危险因子危险因子,但传统危险因子并不能解释所有的冠状动脉事件,这促使临床去寻找新的致病因子。
1999年,美国新英格兰医学杂志发表了一篇权威性的论文标题为:《动脉粥样硬化:一种炎性疾病》;2000年,在研究中贡献很大的二位专家,Frank D. Kolodgie 和 Renu Virmani,发表了合著的论文《冠心病猝死的教训》。

这两篇论文,具有划时代的意义,拉开了二十一世纪心脑梗风险预警的序幕, 炎症从此成为动脉粥样硬化发生和发展过程中的核心因素。

自二十一世纪以来,中美欧等世界各国对心梗、脑梗等动脉硬化性心血管疾病展开了深入研究,并将相关研究成果以专家建议、专家指南、临床实践指南等各种形式发布在权威杂志上。这些指南和建议指出,脂蛋白相关磷脂酶A2(Lp-PLA2)和髓过氧化物酶(MPO)是心脑梗的独立危险因子,能够有效预测发生心脑梗等心血管不良事件的风险;超敏C反应蛋白(hs-CRP)对预测心脑梗等心血管不良事件具有较高灵敏度,具有重要的辅助意义。


海格德生物是国内首家响应美国克利夫兰医学中心倡议,将脂蛋白相关磷脂酶A2和髓过氧化物酶联合起来,用于心血管不良事件预测的中国生物公司,也是国内第一家同时获得脂蛋白相关磷脂酶A2和髓过氧化物酶注册证的国家高新技术企业。海格德生物生产的心脑梗专项预警产品,特异性和灵敏度高,性能达到国际一流水平,能有效预警心梗和脑梗等心脑血管不良事件。
编辑:张银贵
美编:冯晓榆
编审:韩京平


