提到辐射,大家就如猛虎来袭,觉得十分可怕,甚至体检时也抵触做影像检查。
今天CC就来敲黑板!!!
辐
射
是
什
么
辐射是一种能量传递的形式,任何有温度的物体,都会放射出一定频率的电磁波,这种放射出的能量被称为辐射。辐射分非电离辐射和电离辐射两种。
影像检查会危害身体吗?
MRI属于非电离辐射,对身体无害。CT、X光属于电离辐射,但医疗影像检查的辐射值很低,不会危害身体。实际上,我们每时每刻都暴露在辐射内,因为自然界自带辐射,即天然本底辐射。一次X光检查,相当于坐飞机飞行2万公里(即大约相当于从北京到纽约来回飞行一趟所接受的辐射)。各类辐射有效计量预估如下图:
各项目辐射强度估算值对比图
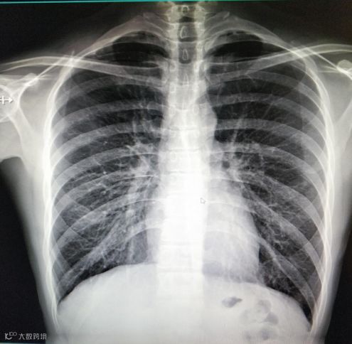
普通X线摄影
(X线扫描检查,摄于视源健康)
Ø 原理:X线摄影的是建立在人体组织之间有密度和厚度差别的基础上。X线透过人体时,这些不同的组织结构吸收X线的程度不同,最终在胶片上的X线量也会有差异,会形成深浅不一的影像。
Ø 在应用中,更像是把面包压扁了看。如同一片面包或一块棉花,看不到里面的纤维纹理,但用手压瘪了会清晰一些。
Ø 优点:操作简单、出片快,且费用低,在临床中应用最广泛。
Ø 缺点:受制于组织深浅的影像相互重叠,遇到复杂病情时,有时需要多次、多角度拍摄才能看清病灶。
CT(计算机断层扫描)
(西门子双光子CT,摄于视源健康)
Ø 原理:应用物体或人体对x线的选择性吸收,在使用探测器围绕人体的某一部位进行连续断面扫描、采集信息,然后形成图像。
Ø 在应用中,更像是将土豆切片,一层层去看。土豆片也就是断面扫描的层厚越薄,其成像会越多,越清晰。视源健康所采用的扫描层厚为1mm,远超国内3-7mm的普遍层厚。
Ø 优点:断层观察、图像清晰,可掌握更多信息。
Ø 缺点:费用高,且一次CT检查的辐射剂量高于单次X线检查。
MRI(核磁共振 )
西门子MAGNETOM Skyra3.0 超导型共振,摄于视源健康
Ø 原理:根据质子在不同化合物中的信号差异,以区分人体中不同组织器官。
Ø 优点:无电离辐射损伤;多序列,可多方位成像;成像参数多,有高度的软组织分辨能力,可无创观察心脏和大血管,且无骨伪影干扰。
Ø 缺点:相较前两者费用最高,且若人体内有某些金属物体可能导致无法检查。
X线、CT、MRI的选用
不同部位其观察的侧重点各异,选用的影像学检查方法优先顺序也有所差别。并不是越贵的检查,越适用。
骨骼外伤——粗看X光片,细看选CT
如果感觉骨头受到损伤,可优先选择X光照片,X光检查结果快速易得。
若需进一步观察损伤情况,可选择CT。MRI在骨皮髓质上的筛查效果不及X光片与CT。
但是,发生关节部位骨折、扭伤,如果怀疑同时存在韧带、关节囊、半月板等结构损伤,则首选MRI。
颈椎腰椎——首选MRI,CT次之
MRI能清晰观察椎间盘与相应的神经根及其它软组织,对于关节、肌肉、脂肪组织的检查,亦为首选。
但对于可能选择手术治疗的脊柱疾病,往往需要了解骨骼结构来设计配套的手术方案,这时CT检查也变得非常紧要。
胸部——粗看X光片,细看CT
对肺、胸膜下、近横膈区和纵膈旁的病变推荐使用胸部CT检查,CT特别是对于早期肺癌确诊有决定性意义。它能清晰显示组织器官,对X线不易显示的区域,如肺、胸膜下、近横膈区和纵膈旁的病变能显示清楚,准确性均优于常规X光胸片。
X光胸片常见于筛查有无肺纹理增多、肺部钙化等病状。
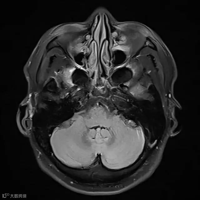
头部——MRI最佳,CT次之
用CT扫描颅底部时,该部位的骨结构会出现各种伪影,直接影响到对后颅凹脑组织的观察。
MRI筛查则无此类骨伪影干扰,能使后颅凹的解剖结构和病变观察更清晰。由于头部血管的分布广泛,无创了解其变窄、畸形等无感觉的中风潜在风险,用MRI来检查效果最佳。
MRI相对禁忌症:
①如有体内金属物(假牙、避孕环、金属植入物、术后金属夹)位于扫描范围者应慎重扫描,以防金属无运功或产热使病人受伤,金属物亦可产生伪影造成误诊
②昏迷、神智不清、精神异常、易发癫痫或心脏骤停、严重外伤、幽闭症患者、幼儿、极度不配合者应慎重
③孕妇及婴儿需经医生同意
MRI绝对禁忌症:
①身体内装有心脏起搏器和神经刺激器者严禁扫描
②体内存有动脉瘤夹、眼球内存有金属异物者严禁扫描
③高烧患者应禁止扫描
影像检查的若干困惑
X线、CT胸部检查时要“深吸一口气,屏住气”?
摄影中,吸气后屏气,目的是为了增加肺的含气量。增加对比度,可避免因呼吸或吞咽运动所产生的运动伪影对检查产生干扰。
检前医生会要求换衣服?
这是为了确保影像内无任何体外异物,因为任何一种异物的存在都会直接影响诊断结果。如:女性文胸的钢圈及后排扣、衣服上的珍珠配饰,会在影像中呈现该体检者的两上肺尖很多点点,会被误认为是结核的钙化;项链吊坠,会被认成纵隔病变等。这些伪影都极可能会造成误诊或漏诊。
放射科工作人员会致癌吗?
放射科工作人员会受到辐射照射,但鉴于辐射防护最优化的原则,放射科工作人员受到的辐射照射水平很低。
而且,辐射致癌的出现是归于辐射对人体损害的随机效应,致癌产生的概率(而非严重程度)与剂量成正比。
根据《电离辐射防护与辐射源安全基本标准》规定,辐射工作人员年剂量限值为20mSv/年。在实际工作中,许可证持有者和监管部门会采用剂量约束值(该值与天然本底辐射产生的年有效剂量2.4mSv/年相近)作为辐射工作人员年剂量的管理目标值。因此,一般状态下,放射科工作人员所受剂量不会超过管理目标值。
专业团队
本文由视源健康管理中心健康管理员杨一多撰写

